症例詳細
Case detail
インビザライン矯正とインプラント補綴 深い咬み合わせと奥歯の欠損治療
- 患者様
- 30代男性
- 矯正装置
- インビザライン
- 治療期間
- 2年
- 治療回数
- 10-30回
- 治療計画
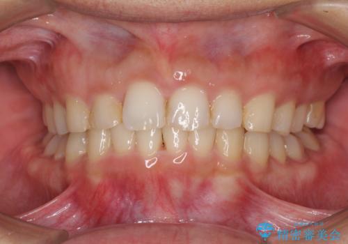
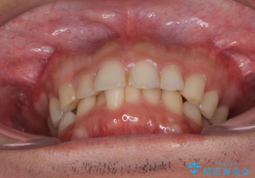
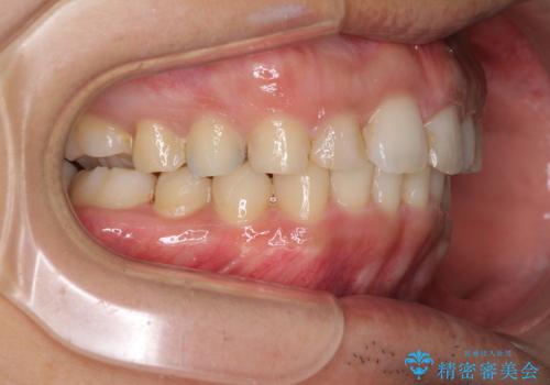
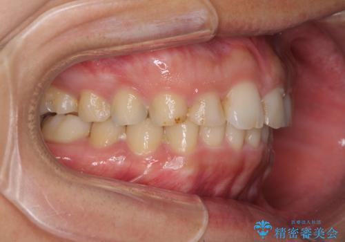
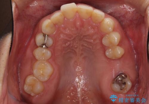
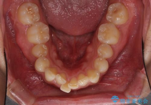
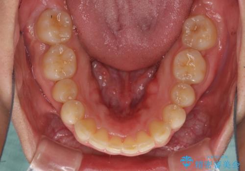
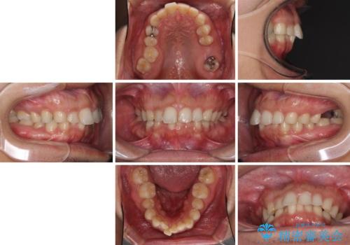
- 深い咬み合わせと前歯のデコボコ、奥歯の欠損を気にして来院された患者様です。
歯列矯正はインビザラインを使用し、矯正治療中の適切な時期に奥歯の欠損部位にインプラントを埋入することとしました。
- 費用(概算)
- 治療費の目安: 130万円費用は治療当時の料金となります
治療について
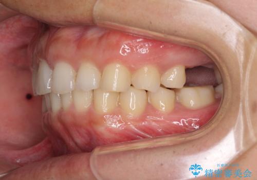
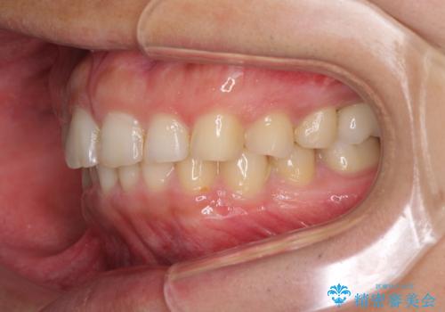
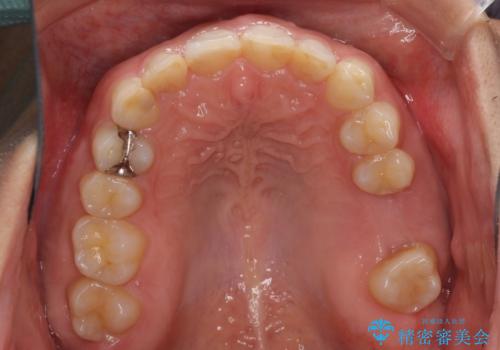
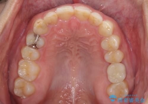
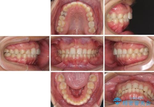
矯正治療とインプラント治療を同じ歯科医師が担当することで、通常見られるような複数医院を行き来する煩雑さや、複数担当医の見解の違いによる治療の遅滞といった煩わしさは一切なく、スムーズに治療を進めることができました。
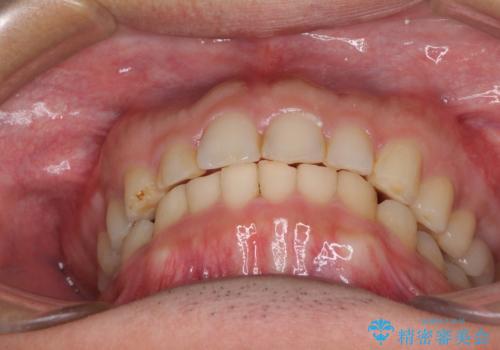
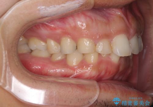
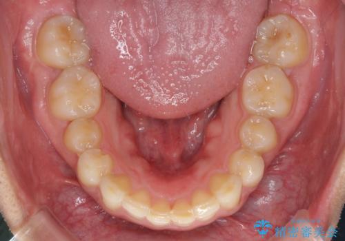
安定して咬めるようになり、患者様には大変満足していただきました。
マウスピース矯正の注意事項(リスク・副作用など)
- 口腔内・歯並びの状態によっては対応できない場合があります
- マウスピース型矯正装置の長時間装着(1日20時間以上)が必須です
- 治療計画通りに進めるためには、患者様の意志が重要になります
- 矯正治療後の保定が不十分だと後戻り(元の位置に戻ろうとする動き)をします
- 薬機法対象外の矯正歯科装置のため医薬品副作用被害救済制度の対象外となる場合があります
- 自費診療(保険適用外)となります
インプラント治療の注意事項(リスク・副作用など)
- 外科手術のため、術後に痛みや腫れ、違和感を伴います
- メンテナンスを怠ったり喫煙により、お口の中に大きな悪影響を及ぼすインプラント周囲炎等にかかる可能性があります
- 糖尿病、肝硬変、心臓病等の場合、インプラント治療ができない可能性があります
- 高血圧、貧血・不整脈等の場合、インプラント治療後に治癒不全を招く可能性があります
- 自費診療(保険適用外治療)となります
セラミック治療の注意事項(リスク・副作用など)
- 天然歯を削ります
- 硬い素材は天然歯を傷つけてしまう場合があります
- かみ合わせや歯ぎしりが強すぎる方はセラミックが割れてしまう可能性があります
- 自費診療(保険適用外治療)となります
当サイトの内容、テキスト、画像等の無断転載、複製、複写、盗用を固く禁じます。





































