症例詳細
Case detail
前歯の歯並びとクラウンを改善 インビザラインとオールセラミック
治療症例の内容
- 患者様
- 30代男性
- 矯正装置
- インビザライン
- 治療期間
- 2年2ヶ月
- 治療回数
- 10-30回
- 治療計画
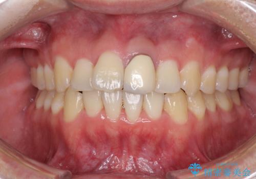
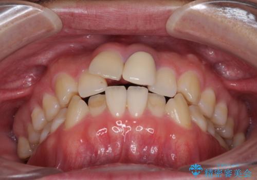
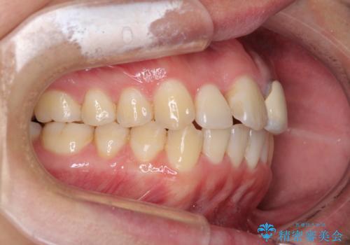
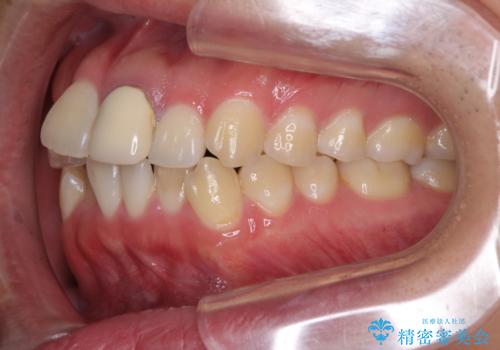
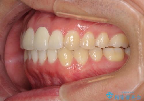
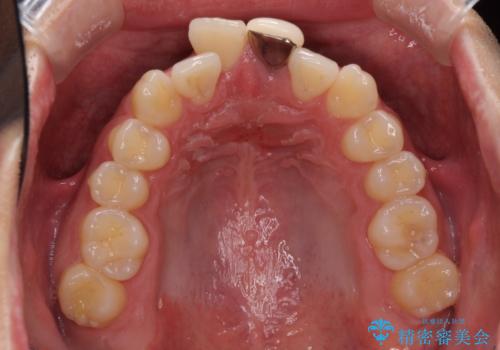
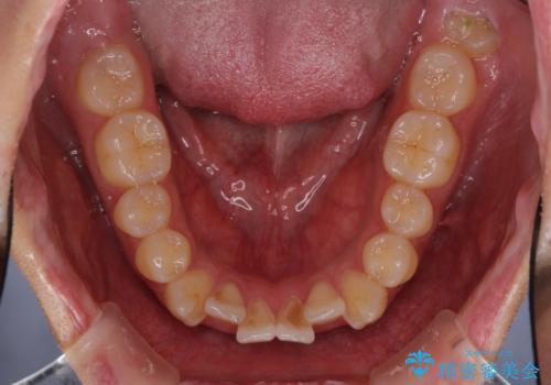
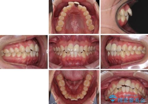
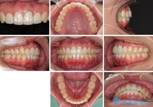
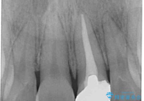
- 前歯の歯並びと不自然な色をした前歯のクラウンを気にして来院された患者様です。
上下前歯の歯列不正はインビザラインにより歯列を整え、その後に、前歯をオーダーメイドタイプのオールセラミッククラウンにて補綴治療することとしました。
- 費用(概算)
- 治療費の目安: 95万円費用は治療当時の料金となります
治療について
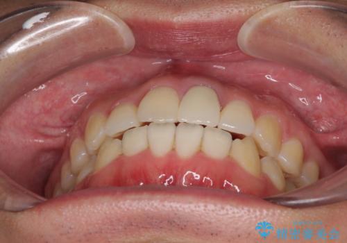
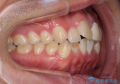
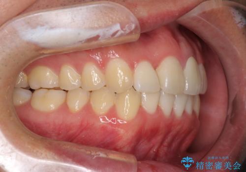
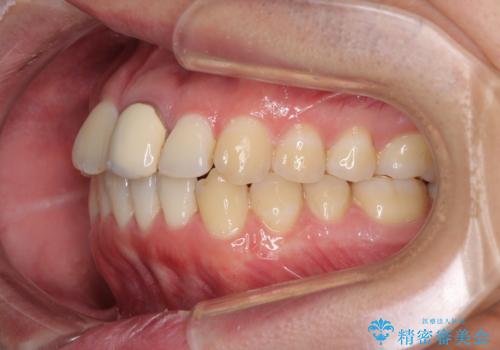
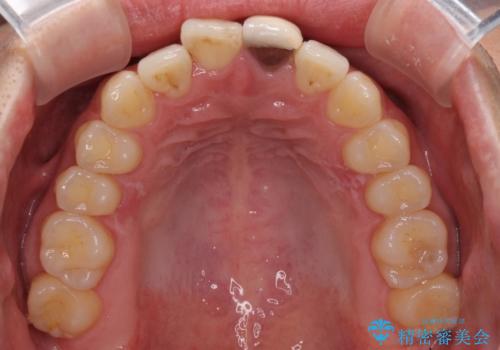
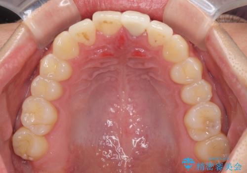
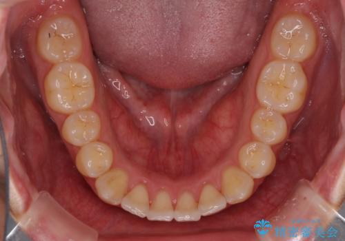
初診時には、歯並びを整えることのみを検討されていましたが、歯列が整うにつれて不自然な色合いが気になるようになり、矯正治療を行ってから補綴治療をする計画を受け入れてくださいました。
口元の印象が明るく変わり、患者様には大変満足していただきました。
マウスピース矯正の注意事項(リスク・副作用など)
- 口腔内・歯並びの状態によっては対応できない場合があります
- マウスピース型矯正装置の長時間装着(1日20時間以上)が必須です
- 治療計画通りに進めるためには、患者様の意志が重要になります
- 矯正治療後の保定が不十分だと後戻り(元の位置に戻ろうとする動き)をします
- 薬機法対象外の矯正歯科装置のため医薬品副作用被害救済制度の対象外となる場合があります
- 自費診療(保険適用外)となります
セラミック治療の注意事項(リスク・副作用など)
- 天然歯を削ります
- 硬い素材は天然歯を傷つけてしまう場合があります
- かみ合わせや歯ぎしりが強すぎる方はセラミックが割れてしまう可能性があります
- 自費診療(保険適用外治療)となります
当サイトの内容、テキスト、画像等の無断転載、複製、複写、盗用を固く禁じます。






























