症例詳細
Case detail
矮小歯 インビザラインとセラミックで美しく
- 患者様
- 20代女性
- 矯正装置
- インビザライン
- 治療期間
- 1年
- 治療回数
- 10-30回
- 治療計画
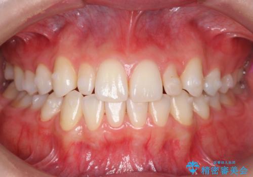
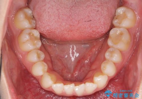
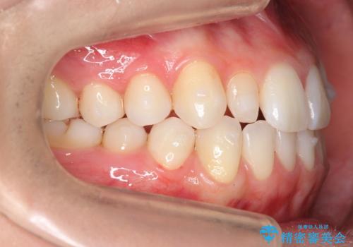
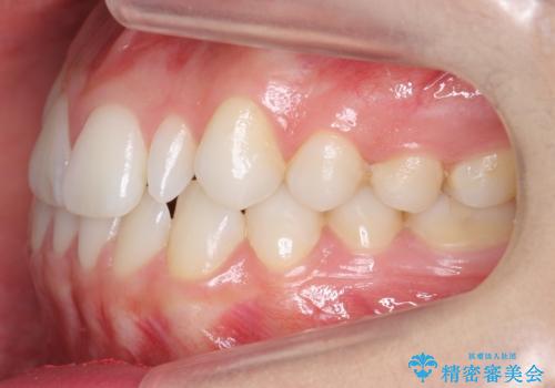
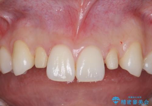
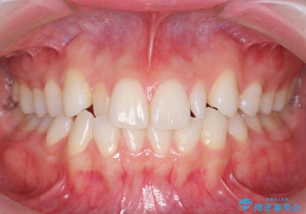
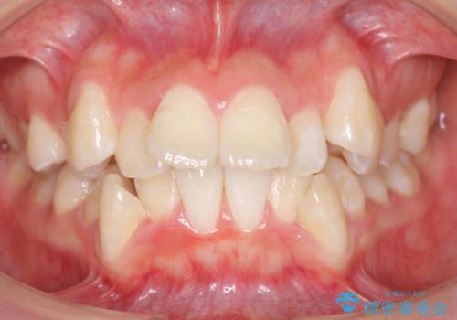
- 前歯のがたつきと小さな歯の形を治したいと来院。
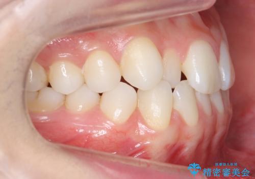
前から2番目の歯が小さく、細くとがった形になっていました。
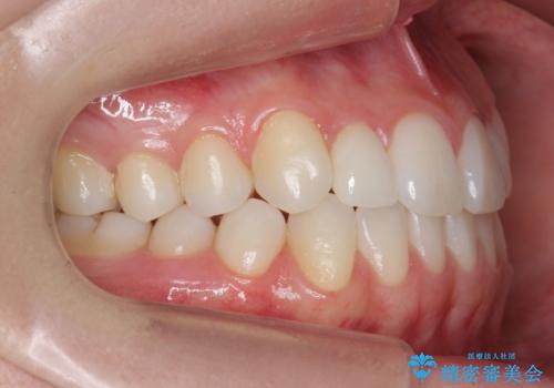
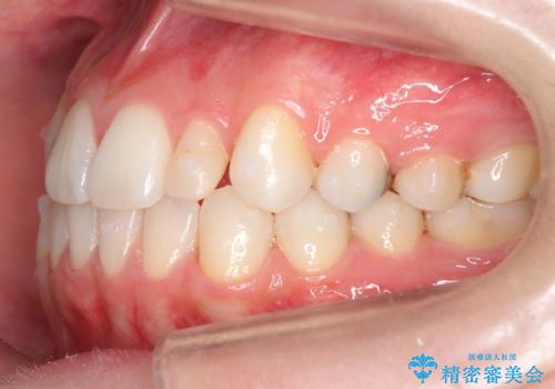
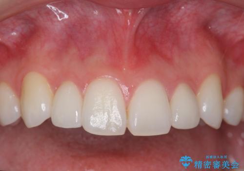
大きくしようにも、幅が少ない上に、また、内側に入ってしまっているため、矯正治療で前歯を並べてからセラミックでかぶせることにしました。
いきなりセラミックでかぶせるよりも手間をかけた分、自然な仕上がりになっています。
- 費用(概算)
- 113万円(インビザライン:85万円 前歯セラミック:28万円[ジルコニアクラウンスペシャル 13万円x2本 仮歯1万円x2本])費用は治療当時の料金となります
治療について
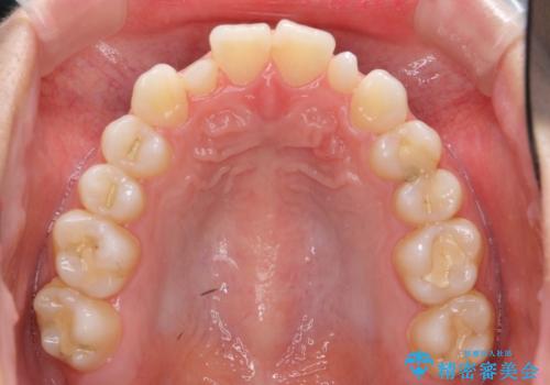
先に矯正治療をすることで、下の前歯を内側に入れることができ、上の歯のセラミックの幅や厚みを取ることができました。
セラミック治療の注意事項(リスク・副作用など)
- 天然歯を削ります
- 硬い素材は天然歯を傷つけてしまう場合があります
- かみ合わせや歯ぎしりが強すぎる方はセラミックが割れてしまう可能性があります
- 自費診療(保険適用外治療)となります
マウスピース矯正の注意事項(リスク・副作用など)
- 口腔内・歯並びの状態によっては対応できない場合があります
- マウスピース型矯正装置の長時間装着(1日20時間以上)が必須です
- 治療計画通りに進めるためには、患者様の意志が重要になります
- 矯正治療後の保定が不十分だと後戻り(元の位置に戻ろうとする動き)をします
- 薬機法対象外の矯正歯科装置のため医薬品副作用被害救済制度の対象外となる場合があります
- 自費診療(保険適用外)となります
当サイトの内容、テキスト、画像等の無断転載、複製、複写、盗用を固く禁じます。

























