症例詳細
Case detail
部分矯正を含む 歯周病治療 (再生治療・歯周ポケット除去・MTM・連結補綴)
- 患者様
- 50代女性
- 治療期間
- 1年6ヶ月
- 治療回数
- 10-30回
- 治療計画
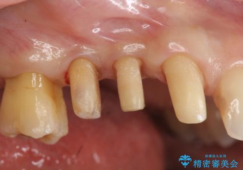
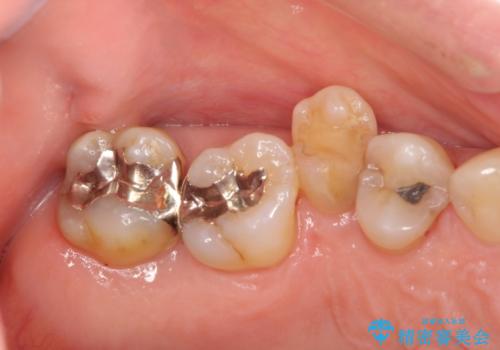
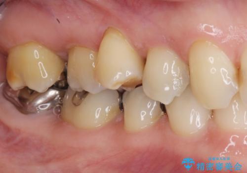
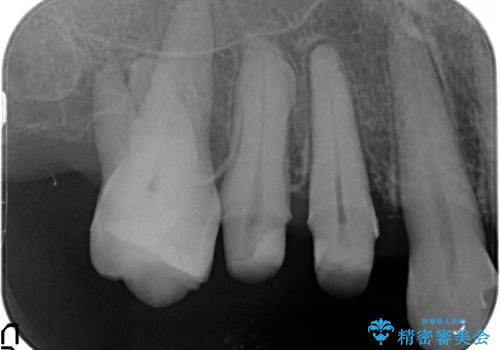
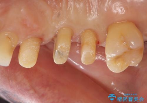
- 歯のぐらつき、歯周病の検査を希望され来院されました。
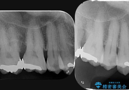
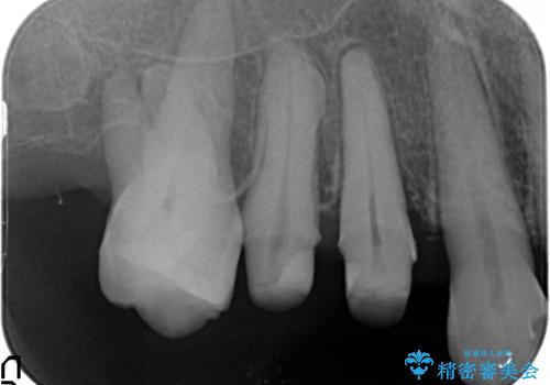
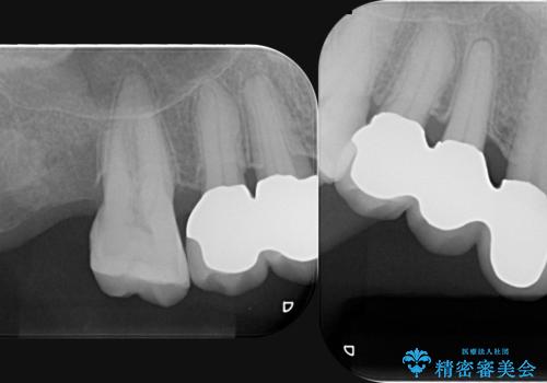
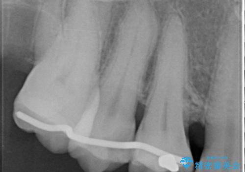
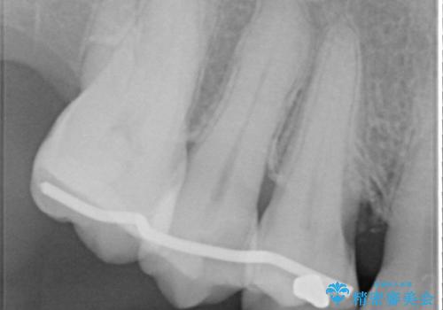
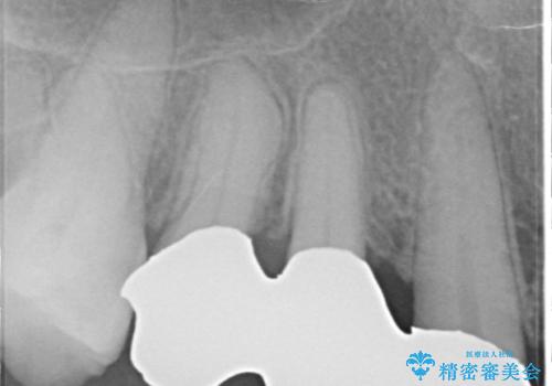
検査の結果、強い歯ぎしりによる歯の周囲の骨の吸収が認められたため歯槽骨の再生・歯周ポケットの除去・力に対抗する連結補綴・補綴前処置としての小矯正を計画します。
- 費用(概算)
- 75万円(仮歯・メタルボンドクラウン×3・再生療法・小矯正・歯周ポケット除去手術)費用は治療当時の料金となります
連結補綴について
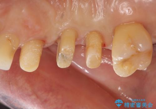
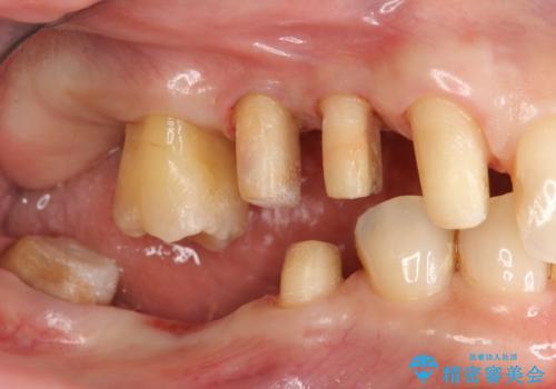
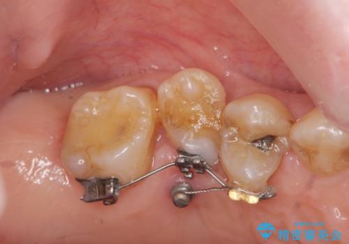
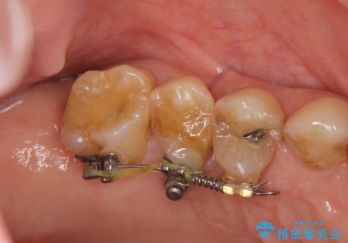
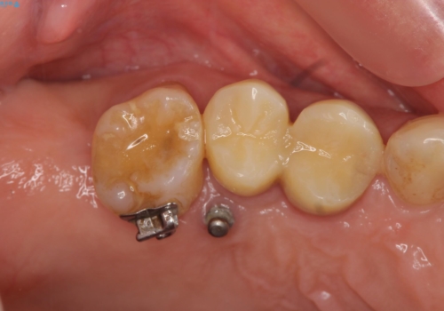
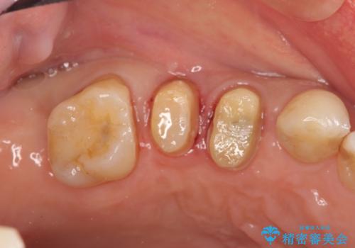
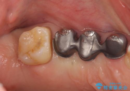
特定の歯に強く力がかかりまた歯周病により臨床歯根が短くなっているような場合、歯の動揺を抑えるため連結補綴が検討されます。
歯の動揺が続くとより周囲の骨を失い最終的には歯を喪失してしまう可能性が高くなってしまうためです。
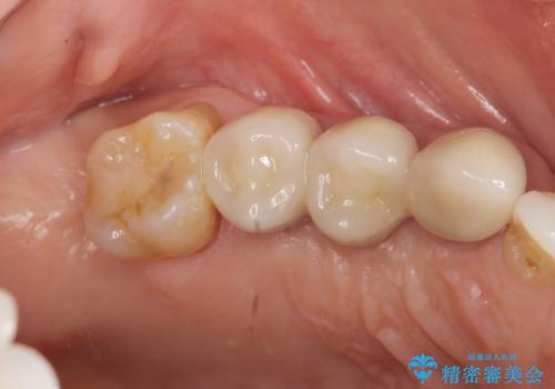
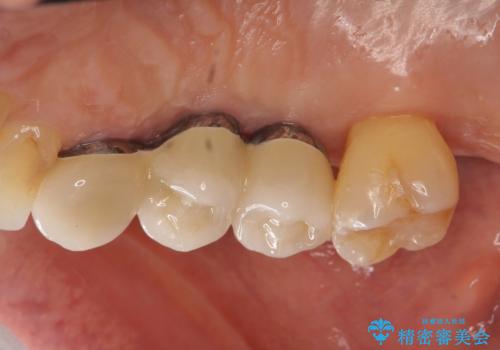
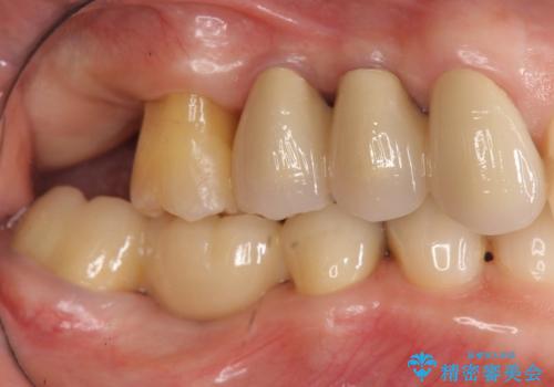
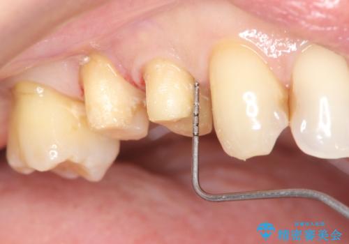
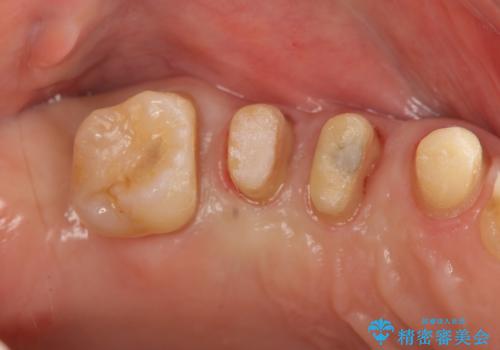
今回連結補綴を行うにあたり、歯周病の問題を解決するために再生療法・歯周ポケット除去手術を、またより歯の神経を保存し力に対抗できる環境を整えるために小矯正を行い精度の高いメタルボンドクラウンを製作することができました。
歯周病治療の注意事項(リスク・副作用など)
- 外科手術のため、術後に痛みや腫れ、違和感を伴います
- 歯周組織再生治療は患者様の状態によって術後の経過が異なります(見た目が改善しない場合もあります)
- 歯周組織再生治療は自費診療(保険適用外)となります
当サイトの内容、テキスト、画像等の無断転載、複製、複写、盗用を固く禁じます。























































