症例詳細
Case detail
セラミックと矯正を併用してきれいな前歯へ
治療症例の内容
- 患者様
- 40代女性
- 治療期間
- 1年6ヶ月
- 治療回数
- 10-30回
- 治療計画
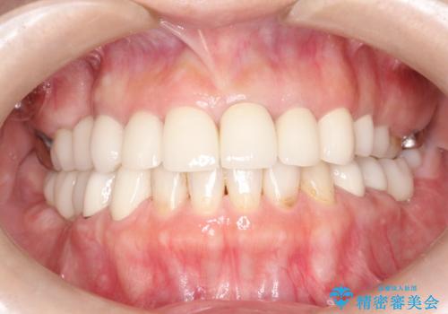
- 全体的な治療と、見た目をきれいにしたとのご希望で来院されました。
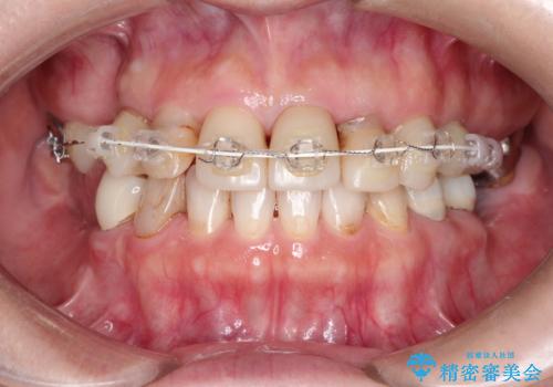
上顎の前歯はガタガタがあり、過去に治療した歯はつぎはぎのようになっており、審美的に周囲と調和がとれていない状態でした。
治療計画としては
①仮歯を装着
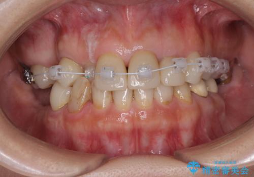
②矯正治療
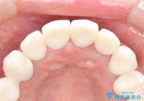
③セラミック装着
の順で行いました。
- 費用(概算)
- 約125万円(上顎前歯のセラミックと矯正費用)費用は治療当時の料金となります
治療について
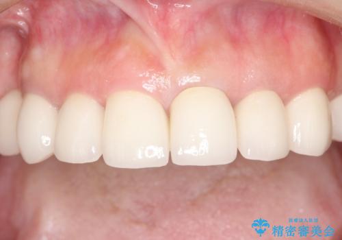
セラミックのかぶせ物だけで、歯並びまで変えようとするのには限界があります。
今回矯正治療で歯並びを整えた後に、セラミックを装着することにより、審美的・機能的に優れた仕上がりにすることができました。
セラミック治療の注意事項(リスク・副作用など)
- 天然歯を削ります
- 硬い素材は天然歯を傷つけてしまう場合があります
- かみ合わせや歯ぎしりが強すぎる方はセラミックが割れてしまう可能性があります
- 自費診療(保険適用外治療)となります
ワイヤー矯正の注意事項(リスク・副作用など)
- 治療中は違和感や痛みが起こることがあります
- 症状により、抜歯が必要な場合があります
- 治療中は歯磨きがしにくくなるため、虫歯や歯周病になりやすくなります
- 矯正治療後の保定が不十分だと後戻り(元の位置に戻ろうとする動き)をします
- 自費診療(保険適用外)となります
当サイトの内容、テキスト、画像等の無断転載、複製、複写、盗用を固く禁じます。
















