症例詳細
Case detail
どんなに歯を磨いても治らない 重度歯周病患者の治療
- 患者様
- 50代女性
- 治療期間
- 4年2ヶ月
- 治療回数
- 30回以上
- 治療計画
- どこの歯医者に相談に行っても、歯磨き指導しかされず、悪化の一途をたどっているとのことで来院された患者様です。
 初診時には治していくことを約束できないと判断して治療をお断りしましたが、何とかして欲しいという強いご要望により治療を進めていくこととしました。
 歯科恐怖症であることと、開口量が小さい(口があまり開かない)ため、外科処置の際には必ず静脈内鎮静法によりリラックスした状態で治療を行うこととしました。
 プラークコントロールは大変良好であったので、極力抜歯を避けた治療となるように進めていくこととしました。
- 費用(概算)
- 治療費の目安: 450万円費用は治療当時の料金となります
治療について
「4年はかかります」とお伝えした通り、4年間の治療期間を要しました。
10回ほどの外科処置を行い、患者様には大変な思いをして頂くこととなりましたが、治療の度に状態が良くなっていくことを実感してくださったので、長い期間の治療にも耐えて頂けました。
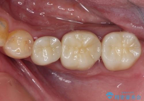
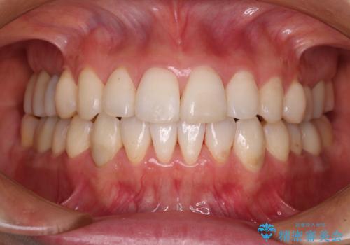
痛みも違和感もない状態で、更にはとても審美的な前歯となり、患者様には大変満足していただきました。
セラミック治療の注意事項(リスク・副作用など)
- 天然歯を削ります
- 硬い素材は天然歯を傷つけてしまう場合があります
- かみ合わせや歯ぎしりが強すぎる方はセラミックが割れてしまう可能性があります
- 自費診療(保険適用外治療)となります
インプラント治療の注意事項(リスク・副作用など)
- 外科手術のため、術後に痛みや腫れ、違和感を伴います
- メンテナンスを怠ったり喫煙により、お口の中に大きな悪影響を及ぼすインプラント周囲炎等にかかる可能性があります
- 糖尿病、肝硬変、心臓病等の場合、インプラント治療ができない可能性があります
- 高血圧、貧血・不整脈等の場合、インプラント治療後に治癒不全を招く可能性があります
- 自費診療(保険適用外治療)となります
歯周病治療の注意事項(リスク・副作用など)
- 外科手術のため、術後に痛みや腫れ、違和感を伴います
- 歯周組織再生治療は患者様の状態によって術後の経過が異なります(見た目が改善しない場合もあります)
- 歯周組織再生治療は自費診療(保険適用外)となります
当サイトの内容、テキスト、画像等の無断転載、複製、複写、盗用を固く禁じます。








 
                       
                                                          



















 
                   
                   
                  