症例詳細
Case detail
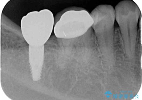
虫歯だらけの口腔内 全顎治療
- 患者様
- 60代女性
- 治療期間
- 3年
- 治療回数
- 30回以上
- 治療計画
- 以前治療した歯がどんどん虫歯になり、いよいよ噛めなくなりこれで治療を最後にしたいと希望され来院されました。
全体的に多くの虫歯の発生が認められ、残せないところはブリッジ・インプラントを用い徹底的に虫歯を除去することで再発を防ぎ安定して噛める状態へとできるよう治療を計画します。
- 費用(概算)
- 450万円費用は治療当時の料金となります
虫歯について
全体的に多くの虫歯が認められる場合、多くは清掃不足や生活習慣による問題(ジュースや菓子等のダラダラ食い・頻回の嘔吐)などです。
どれだけ精密に治療を行ってもこのような場合予後は短くなることが多く、治療後長く歯を使い続けることができるかどうかは、日々のメンテナンスや生活習慣を見直すことが重要になることも多くあります。
セラミック治療の注意事項(リスク・副作用など)
- 天然歯を削ります
- 硬い素材は天然歯を傷つけてしまう場合があります
- かみ合わせや歯ぎしりが強すぎる方はセラミックが割れてしまう可能性があります
- 自費診療(保険適用外治療)となります
インプラント治療の注意事項(リスク・副作用など)
- 外科手術のため、術後に痛みや腫れ、違和感を伴います
- メンテナンスを怠ったり喫煙により、お口の中に大きな悪影響を及ぼすインプラント周囲炎等にかかる可能性があります
- 糖尿病、肝硬変、心臓病等の場合、インプラント治療ができない可能性があります
- 高血圧、貧血・不整脈等の場合、インプラント治療後に治癒不全を招く可能性があります
- 自費診療(保険適用外治療)となります
当サイトの内容、テキスト、画像等の無断転載、複製、複写、盗用を固く禁じます。
















