症例詳細
Case detail
気になる歯の色をオールセラミックできれいに
治療症例の内容
- 診療科目
- 担当医
- 藤巻太一朗(ドクタープロフィール)
- 患者様
- 20代女性
- 治療期間
- 4ヶ月
- 治療回数
- 2-5回
- 治療計画
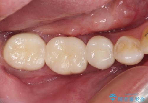
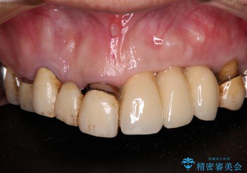
- 前歯のセラミッククラウンの色と奥の銀歯が気になるとのことで来院された患者様です。
 奥の銀歯は、歯肉に触れるだけで出血が認められたため、歯肉深いところにまで虫歯が及んでいる可能性が示唆されました。そのため、歯周外科処置を行う可能性を考慮した上でセラミッククラウンにて補綴することとしました。
 前歯は新たにセラミッククラウンを製作することとしました。
- 費用(概算)
- 治療費の目安: 35万円費用は治療当時の料金となります
治療について
歯肉に腫れはなかったものの、日頃からフロスを通すたびに出血することが気になっていたそうです。銀歯と金属の土台を外すと、歯肉の深く、歯槽骨の近くにまで虫歯が及んでいたため、歯槽骨を一部削除する歯周外科処置を行いました。
セラミッククラウン装着後は、今まで気になっていた出血は一切なくなり、患者様には大変満足していただきました。
リスクについて
セラミックは破折などにより修復や再製作が必要となることがあります。
外科処置は術後に痛みを伴います。
セラミック治療の注意事項(リスク・副作用など)
- 天然歯を削ります
- 硬い素材は天然歯を傷つけてしまう場合があります
- かみ合わせや歯ぎしりが強すぎる方はセラミックが割れてしまう可能性があります
- 自費診療(保険適用外治療)となります
当サイトの内容、テキスト、画像等の無断転載、複製、複写、盗用を固く禁じます。








 
                       
                                                          





















 
                   
                   
                  