症例詳細
Case detail
ディープバイトを改善したい 目立たないワイヤー矯正
治療症例の内容
- 診療科目
- 担当医
- 藤巻太一朗(ドクタープロフィール)
- 患者様
- 30代男性
- 矯正装置
- 審美装置
- 治療期間
- 2年3ヶ月
- 治療回数
- 10-30回
- 治療計画
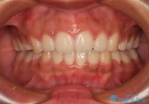
- ディープバイトを改善したいとのことで来院された患者様です。
カウンセリングの際には、下の前歯はほとんど隠れてしまっているような状態でした。
スクリューアンカーを用いて上顎歯列全体を後方に移動させるとともに、下顎の歯列を整えていくこととしました。
- 費用(概算)
- 治療費の目安: 90万円費用は治療当時の料金となります
治療について
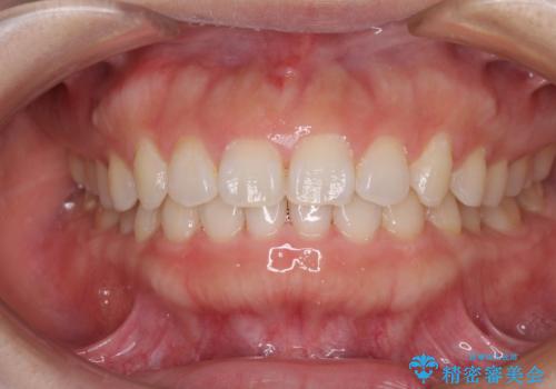
左右の臼歯は、当初1歯対1歯の咬合でしたが、終了時には理想とされる1歯対2歯に改善させることができました。
治療途中ではオープンバイトになってしまう局面もあるほど、患者様の気になっていたディープバイトをしっかりと改善することができました。
ディープバイトの改善により就寝中の食いしばりも改善され、患者様には大変満足していただきました。
リスクについて
矯正治療は後戻りのリスクがあります。
ワイヤー矯正の注意事項(リスク・副作用など)
- 治療中は違和感や痛みが起こることがあります
- 症状により、抜歯が必要な場合があります
- 治療中は歯磨きがしにくくなるため、虫歯や歯周病になりやすくなります
- 矯正治療後の保定が不十分だと後戻り(元の位置に戻ろうとする動き)をします
- 自費診療(保険適用外)となります
当サイトの内容、テキスト、画像等の無断転載、複製、複写、盗用を固く禁じます。
























