症例詳細
Case detail
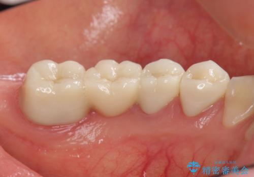
銀歯だらけの歯をセラミックで白くしたい
治療症例の内容
- 患者様
- 20代女性
- 治療期間
- 10ヶ月
- 治療回数
- 5-10回
- 治療計画
- 20代女性の方より口の中が銀歯だらけで目立ってしまい笑えない、虫歯も気になるとのことで治療を希望され来院されました。
以前治療された銀歯の下には多数虫歯の再発が認められ、虫歯の徹底除去後精度の高いジルコニアクラウンの作製、保存不可能な歯は抜去を行いブリッジ・インプラントを用いて補綴計画を立てます。
- 費用(概算)
- 250万円費用は治療当時の料金となります
虫歯の再発について
一度治療された歯の虫歯が再発した場合神経に達してしまったり、保存が難しく抜去が必要だったりと状況が難しくなることが多々あります。
長期的な予後を達成するために初回から精度の高い虫歯治療を行うことが長期的な予後の達成に必要です。
また日々のブラッシングによるプラークコントロールも欠くことができません。
セラミック治療の注意事項(リスク・副作用など)
- 天然歯を削ります
- 硬い素材は天然歯を傷つけてしまう場合があります
- かみ合わせや歯ぎしりが強すぎる方はセラミックが割れてしまう可能性があります
- 自費診療(保険適用外治療)となります
インプラント治療の注意事項(リスク・副作用など)
- 外科手術のため、術後に痛みや腫れ、違和感を伴います
- メンテナンスを怠ったり喫煙により、お口の中に大きな悪影響を及ぼすインプラント周囲炎等にかかる可能性があります
- 糖尿病、肝硬変、心臓病等の場合、インプラント治療ができない可能性があります
- 高血圧、貧血・不整脈等の場合、インプラント治療後に治癒不全を招く可能性があります
- 自費診療(保険適用外治療)となります
当サイトの内容、テキスト、画像等の無断転載、複製、複写、盗用を固く禁じます。






















