症例詳細
Case detail
【モニター】デコボコとクロスバイトの前歯 ワイヤー装置での抜歯矯正
治療症例の内容
- 患者様
- 20代女性
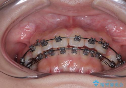
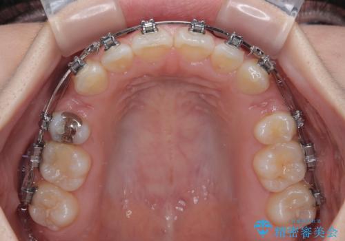
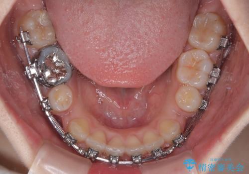
- 矯正装置
- メタルブラケット
- 治療期間
- 2年2ヶ月
- 治療回数
- 10-30回
- 治療計画
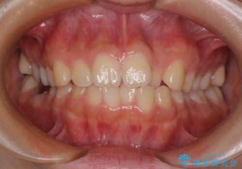
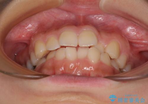
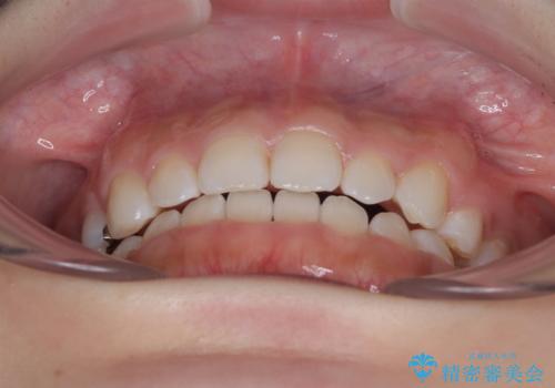
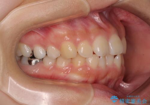
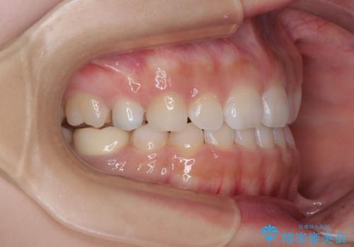
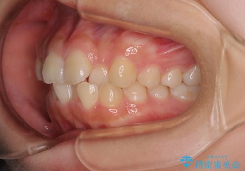
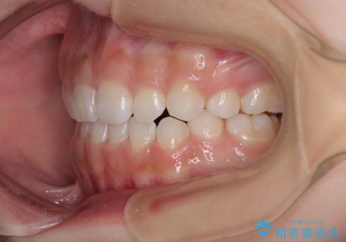
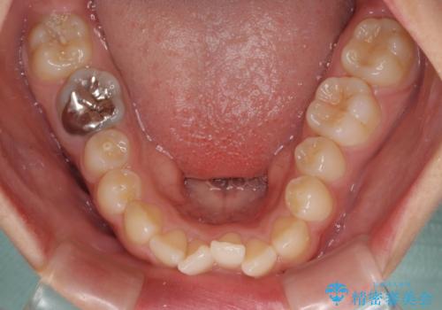
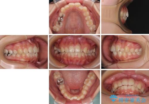
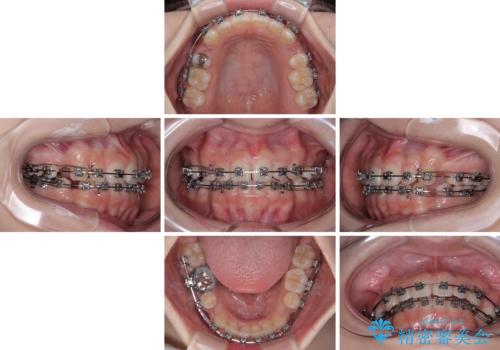
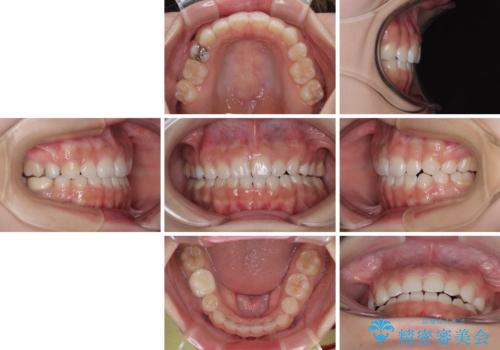
- 前歯のクロスバイトと口元の膨らんだ横顔の印象を気にして来院された患者様です。
レントゲン写真の分析結果からは、それほど口元が突出しているという結果にはなりませんでした。
しかしながら、唇を閉じたときに口元に緊張感があり、そのまま叢生を解消すると横顔が突出した印象になる可能性が高かったため、上下左右の小臼歯4本を抜歯して、ワイヤー装置にて矯正治療を行うこととしました。
- 費用(概算)
- 100万円(税込)費用は治療当時の料金となります
※顔写真掲載にあたり、患者様の了解を得ております
治療について
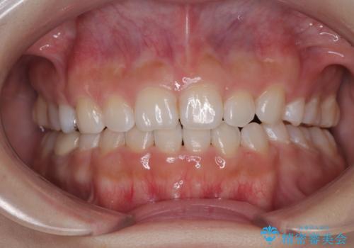
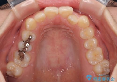
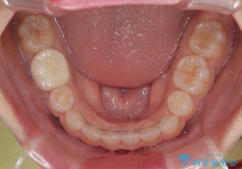
矯正治療後には、目立っていた奥歯の銀歯をオールセラミッククラウンへ作り替え、スッキリした口元に仕上がりました。
ワイヤー矯正の注意事項(リスク・副作用など)
- 治療中は違和感や痛みが起こることがあります
- 症状により、抜歯が必要な場合があります
- 治療中は歯磨きがしにくくなるため、虫歯や歯周病になりやすくなります
- 矯正治療後の保定が不十分だと後戻り(元の位置に戻ろうとする動き)をします
- 自費診療(保険適用外)となります
セラミック治療の注意事項(リスク・副作用など)
- 天然歯を削ります
- 硬い素材は天然歯を傷つけてしまう場合があります
- かみ合わせや歯ぎしりが強すぎる方はセラミックが割れてしまう可能性があります
- 自費診療(保険適用外治療)となります
当サイトの内容、テキスト、画像等の無断転載、複製、複写、盗用を固く禁じます。



























