症例詳細
Case detail
【審美装置】口元を下げたい
治療症例の内容
- 患者様
- 20代女性
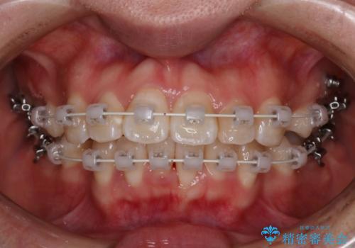
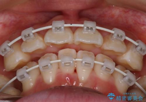
- 矯正装置
- 審美装置
- 治療期間
- 1年9ヶ月
- 治療回数
- 10-30回
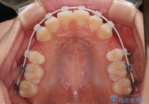
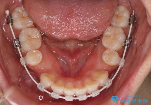
- 治療計画
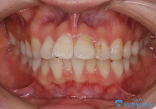
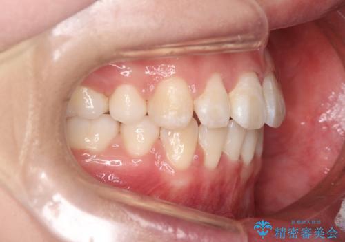
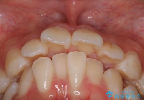
- 前歯のがたつきと口元を気にされて来院されました。
上下4番目の歯を抜歯してがたつきを改善しながら口元を下げる治療計画を立てました。
- 費用(概算)
- 96.8万円(税込)費用は治療当時の料金となります
治療について
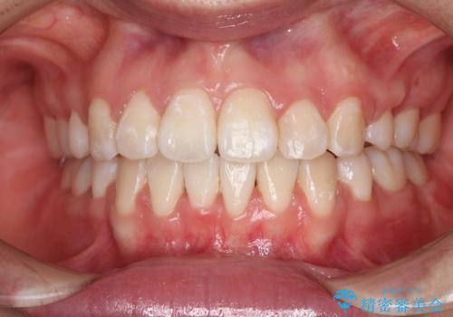
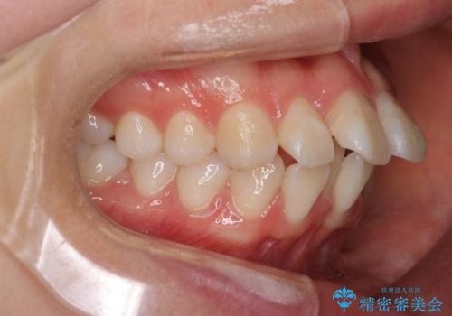
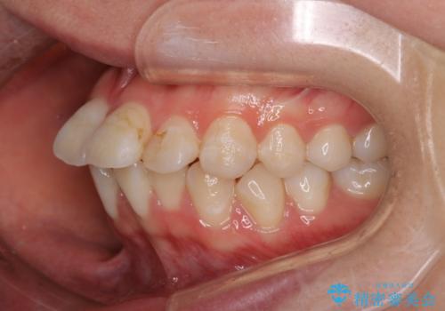
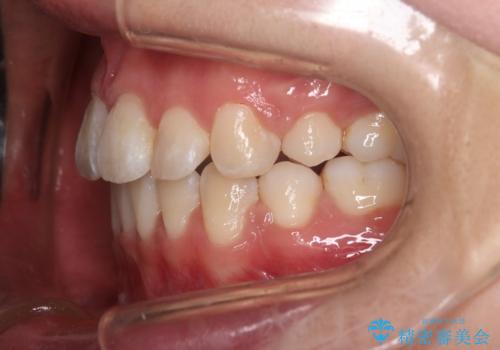
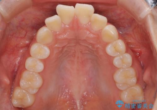
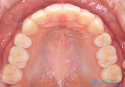
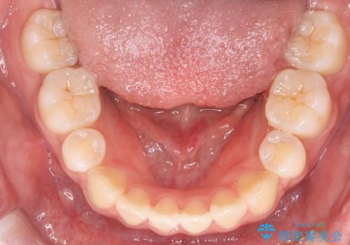
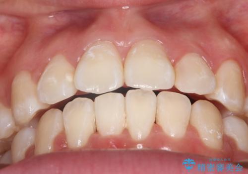
抜歯矯正をして口元を下げたことで、口元が下がりEラインが大変綺麗になりました。
矯正期間も1年9ヶ月と比較的短期間で終了することができました。
ワイヤー矯正の注意事項(リスク・副作用など)
- 治療中は違和感や痛みが起こることがあります
- 症状により、抜歯が必要な場合があります
- 治療中は歯磨きがしにくくなるため、虫歯や歯周病になりやすくなります
- 矯正治療後の保定が不十分だと後戻り(元の位置に戻ろうとする動き)をします
- 自費診療(保険適用外)となります
当サイトの内容、テキスト、画像等の無断転載、複製、複写、盗用を固く禁じます。






















