症例詳細
Case detail
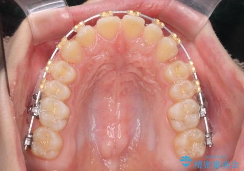
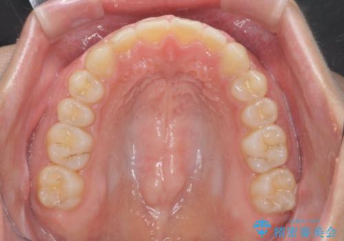
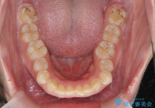
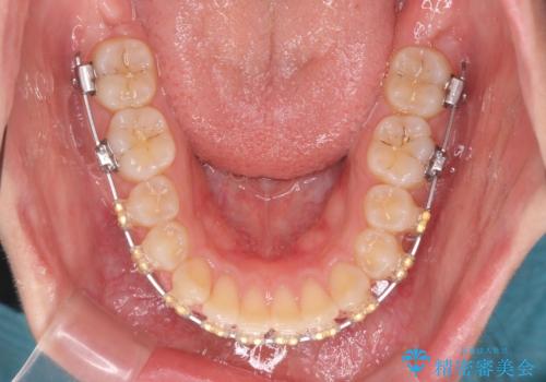
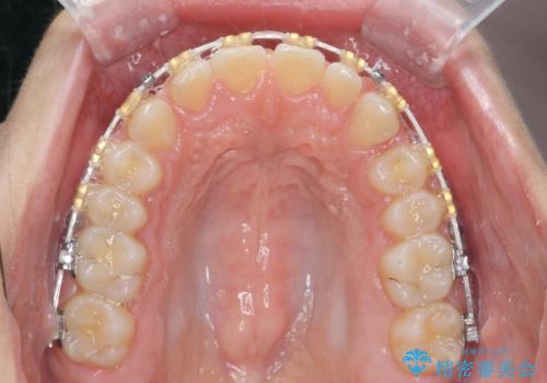
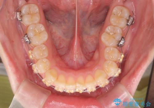
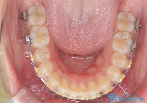
深い噛み合わせ、すきっ歯の改善 ワイヤーを用いたマルチブラケット矯正
治療症例の内容
- 担当医
- 大元洋佑(ドクタープロフィール)
- 患者様
- 20代女性
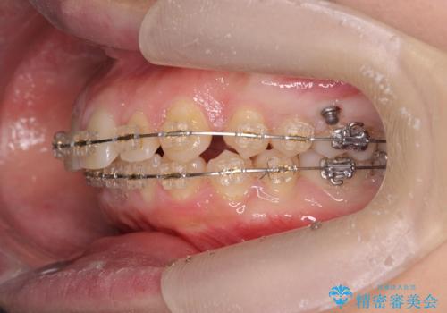
- 矯正装置
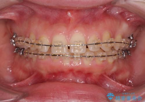
- ワイヤー矯正
- 治療期間
- 2年
- 治療回数
- 10-30回
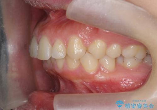
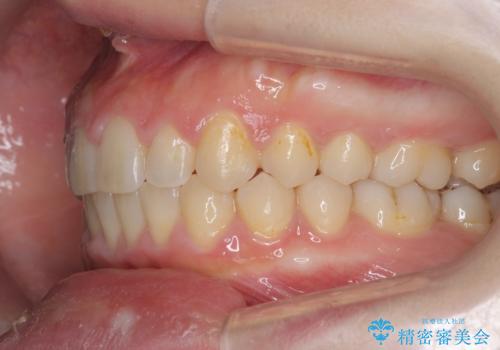
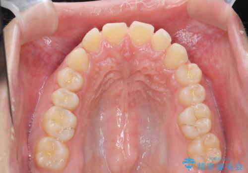
- 治療計画
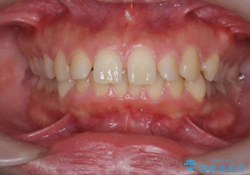
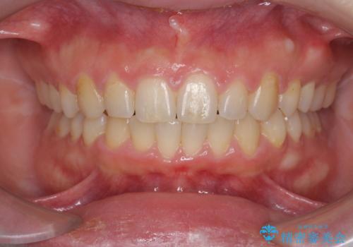
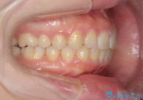
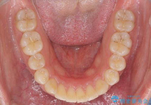
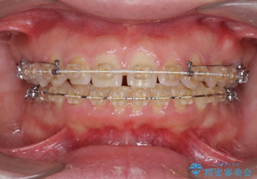
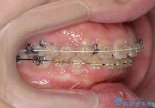
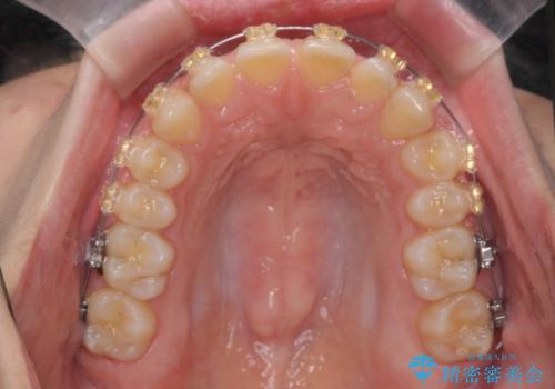
- 噛み合わせが深く、前歯が突き出て隙間が出てきたことの改善を希望され矯正治療の相談で当院に初診来院されました。
ワイヤーを用いたマルチブラケット矯正を行うことで深い噛み合わせを改善し、前歯の隙間もなくし審美的な歯列へと治療をおこなっていきます。
- 費用(概算)
- 99万円費用は治療当時の料金となります
治療について
深い噛み合わせの改善は前歯の圧下が必要なため、治療期間が長期化することが多いです。
ワイヤー矯正の注意事項(リスク・副作用など)
- 治療中は違和感や痛みが起こることがあります
- 症状により、抜歯が必要な場合があります
- 治療中は歯磨きがしにくくなるため、虫歯や歯周病になりやすくなります
- 矯正治療後の保定が不十分だと後戻り(元の位置に戻ろうとする動き)をします
- 自費診療(保険適用外)となります
当サイトの内容、テキスト、画像等の無断転載、複製、複写、盗用を固く禁じます。

























