症例詳細
Case detail
前歯のデコボコをワイヤー矯正で綺麗に 保険診療の前歯クラウンもセラミッククラウンで自然に
治療症例の内容
- 患者様
- 30代女性
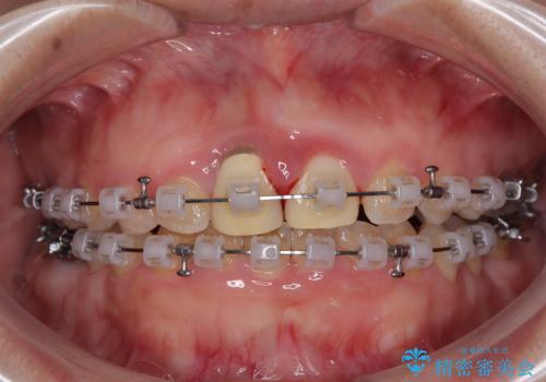
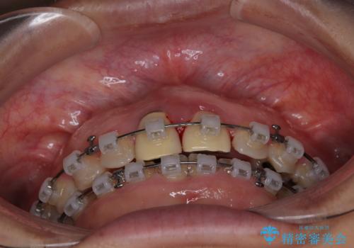
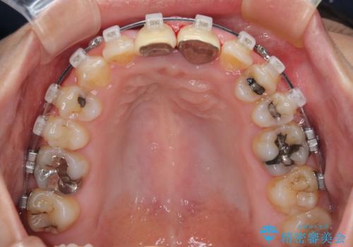
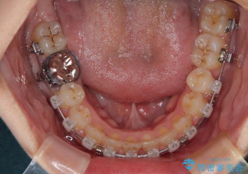
- 矯正装置
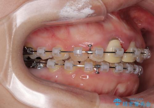
- クリアブラケット
- 治療期間
- 2年2ヶ月
- 治療回数
- 10-30回
- 治療計画
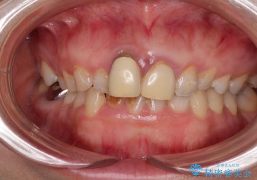
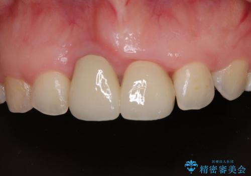
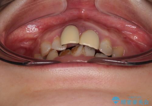
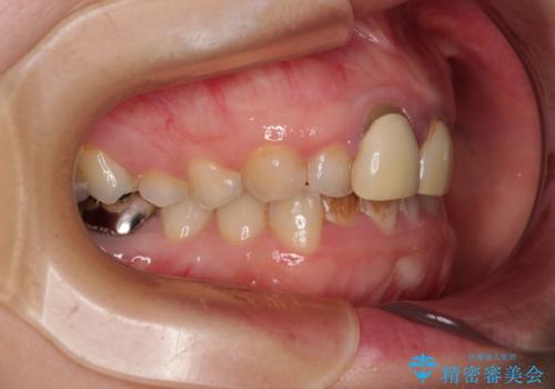
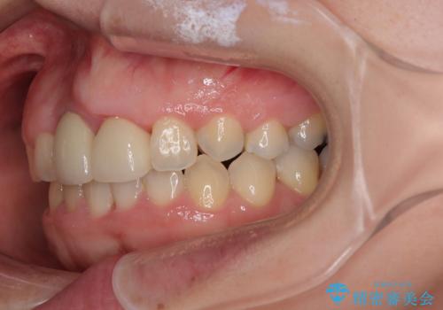
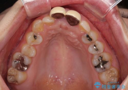
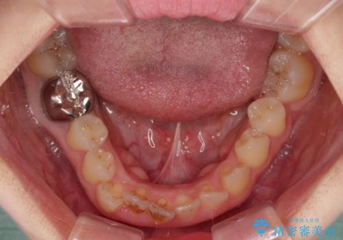
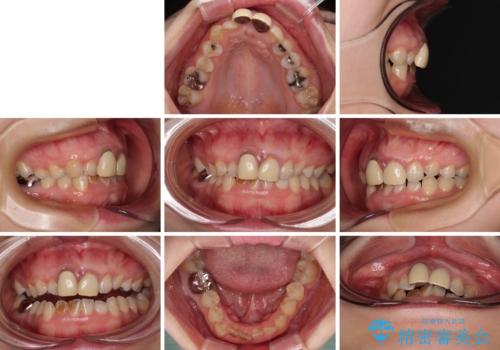
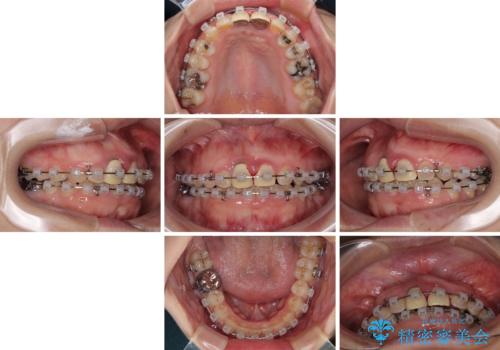
- 前歯のデコボコと、着色が著しい保険診療の前歯クラウンを気にして来院された患者様です。
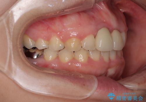
左上の犬歯が埋伏しており、CT画像より萌出は困難と判断されたため、残存している歯にて歯列と咬合を整えることとしました。
マウスピース装着は煩わしいとのことで、表側のワイヤー装置にて矯正治療を行うこととしました。
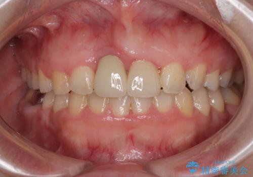
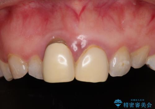
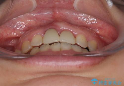
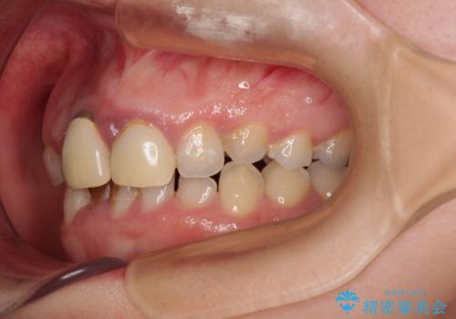
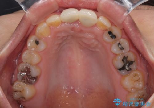
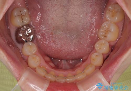
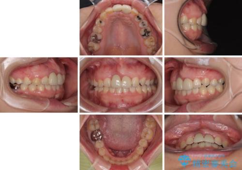
前歯のクラウンは変色が顕著なため、矯正治療後にオールセラミッククラウンによる補綴治療を行うこととしました。
- 費用(概算)
- 120万円(税込)費用は治療当時の料金となります
治療について
前歯のクラウンは、歯肉内深くに削り込まれており、歯肉の炎症が継続していたため、矯正治療後に歯周外科処置を行い、歯肉の腫れを改善させました。
ワイヤー矯正の注意事項(リスク・副作用など)
- 治療中は違和感や痛みが起こることがあります
- 症状により、抜歯が必要な場合があります
- 治療中は歯磨きがしにくくなるため、虫歯や歯周病になりやすくなります
- 矯正治療後の保定が不十分だと後戻り(元の位置に戻ろうとする動き)をします
- 自費診療(保険適用外)となります
セラミック治療の注意事項(リスク・副作用など)
- 天然歯を削ります
- 硬い素材は天然歯を傷つけてしまう場合があります
- かみ合わせや歯ぎしりが強すぎる方はセラミックが割れてしまう可能性があります
- 自費診療(保険適用外治療)となります
当サイトの内容、テキスト、画像等の無断転載、複製、複写、盗用を固く禁じます。





























