症例詳細
Case detail
前歯のデコボコと小さい歯を改善 インビザラインとオールセラミッククラウン
治療症例の内容
- 担当医
- 藤巻太一朗(ドクタープロフィール)
- 患者様
- 20代女性
- 矯正装置
- インビザライン
- 治療期間
- 5年2ヶ月
- 治療回数
- 30回以上
- 治療計画
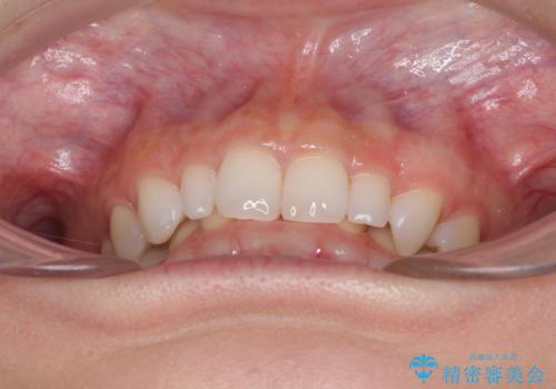
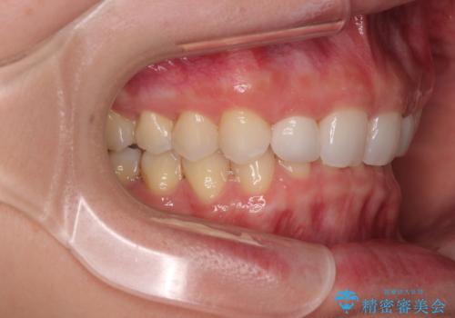
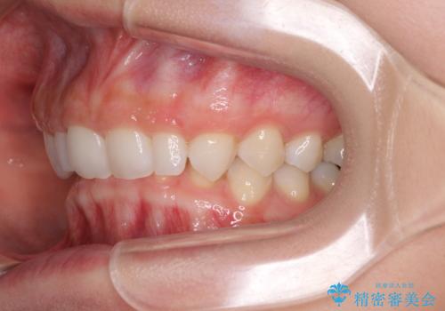
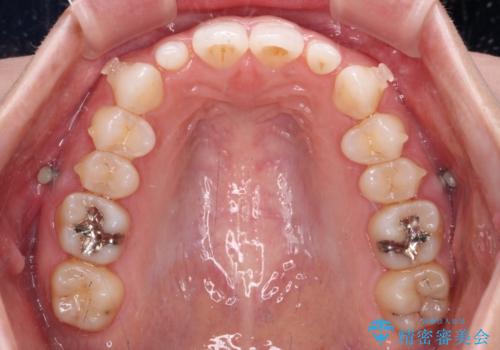
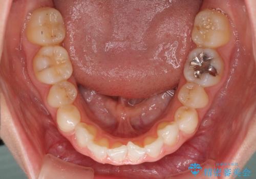
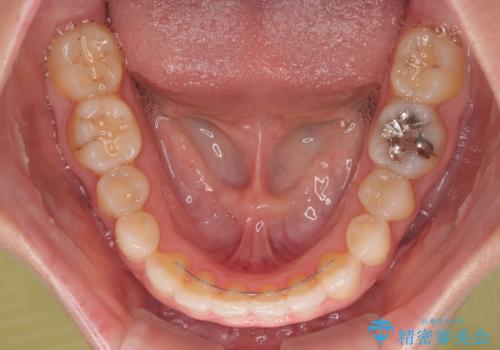
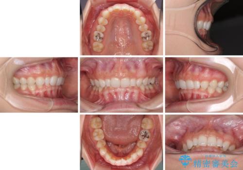
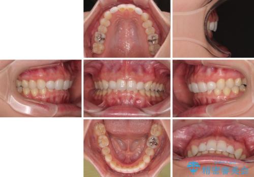
- 前歯のデコボコと左右の矮小歯を気にして来院された患者様です。
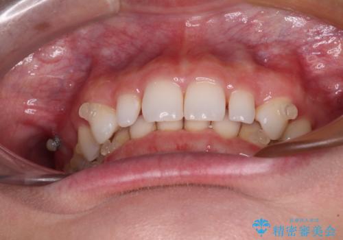
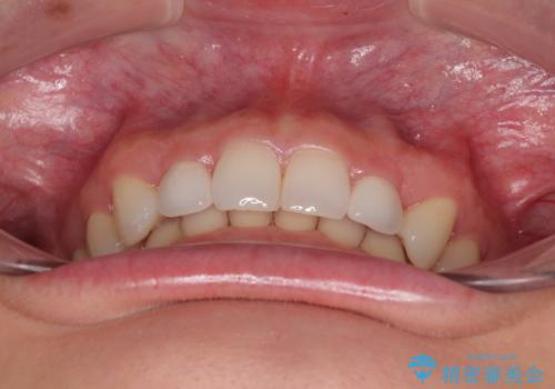
矮小歯の前後にスペースを作るようにインビザライン矯正治療を計画し、矯正治療後にオールセラミッククラウンによる補綴治療を行うこととしました。
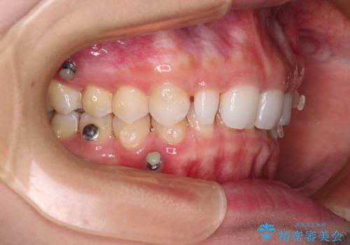
アンカースクリューを用いて上顎歯列全体を後方移動させ、極力過蓋咬合も改善されるよう計画しました。
- 費用(概算)
- 115万円(税込)費用は治療当時の料金となります
治療について
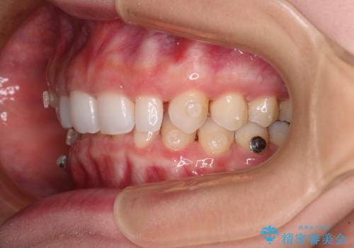
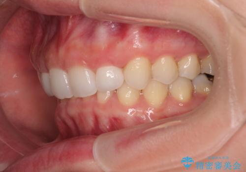
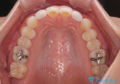
インビザラインは長時間装着を自己管理する必要がありますが、残念ながら十分な時間の装着を行うことができませんでした。
何とか矮小歯を改善するスペースを作ることはできましたが、過蓋咬合を改善するには至りませんでした。
マウスピース矯正の注意事項(リスク・副作用など)
- 口腔内・歯並びの状態によっては対応できない場合があります
- マウスピース型矯正装置の長時間装着(1日20時間以上)が必須です
- 治療計画通りに進めるためには、患者様の意志が重要になります
- 矯正治療後の保定が不十分だと後戻り(元の位置に戻ろうとする動き)をします
- 薬機法対象外の矯正歯科装置のため医薬品副作用被害救済制度の対象外となる場合があります
- 自費診療(保険適用外)となります
セラミック治療の注意事項(リスク・副作用など)
- 天然歯を削ります
- 硬い素材は天然歯を傷つけてしまう場合があります
- かみ合わせや歯ぎしりが強すぎる方はセラミックが割れてしまう可能性があります
- 自費診療(保険適用外治療)となります
当サイトの内容、テキスト、画像等の無断転載、複製、複写、盗用を固く禁じます。



























