症例詳細
Case detail
抜歯矯正で叢生と正中のずれを改善|審美装置による矯正症例
治療症例の内容
- 患者様
- 20代男性
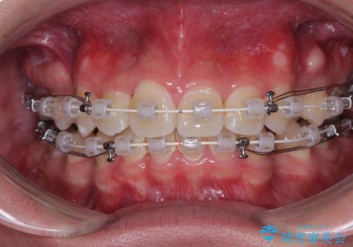
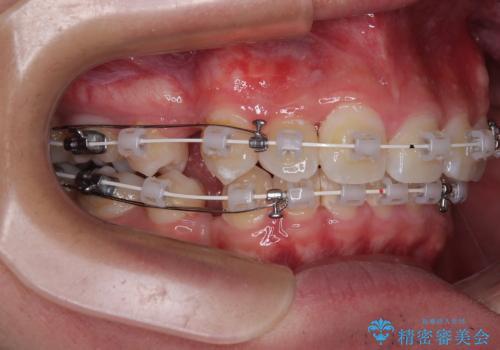
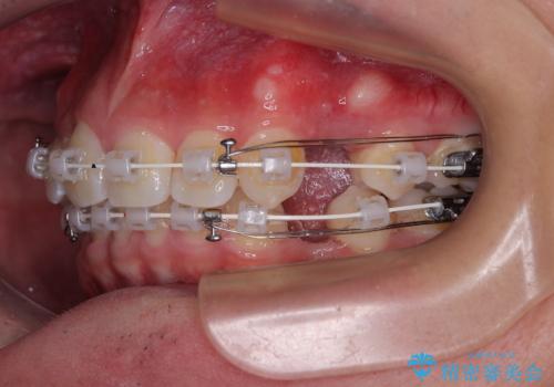
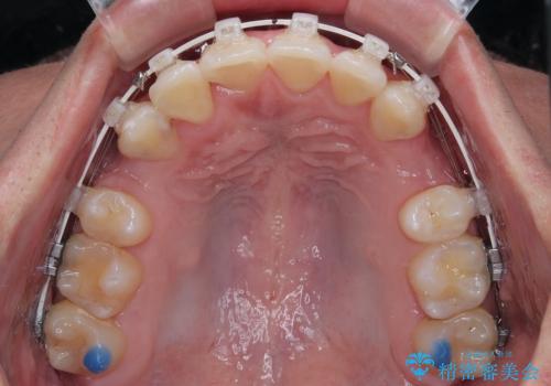
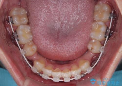
- 矯正装置
- 審美装置
- 治療期間
- 3年1ヶ月
- 治療回数
- 10-30回
- 治療計画
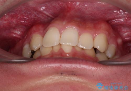
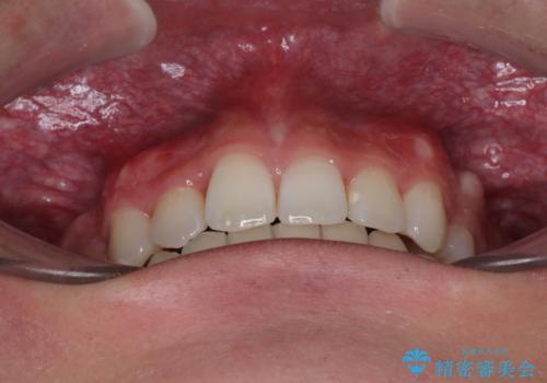
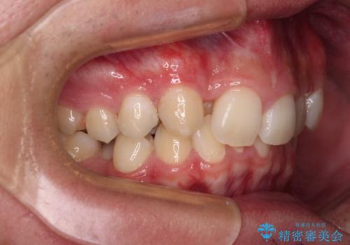
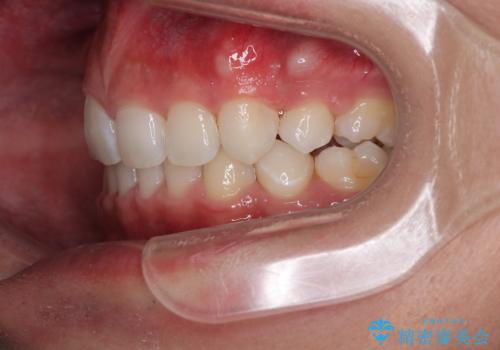
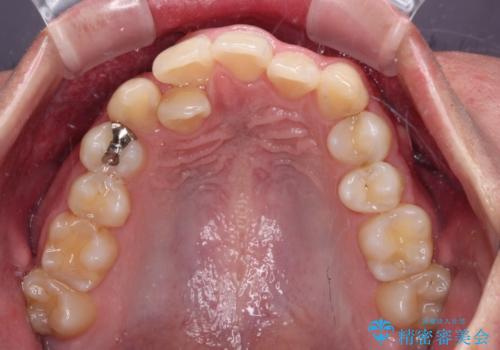
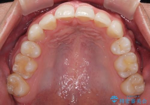
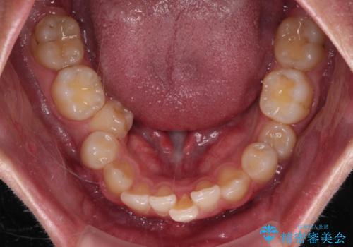
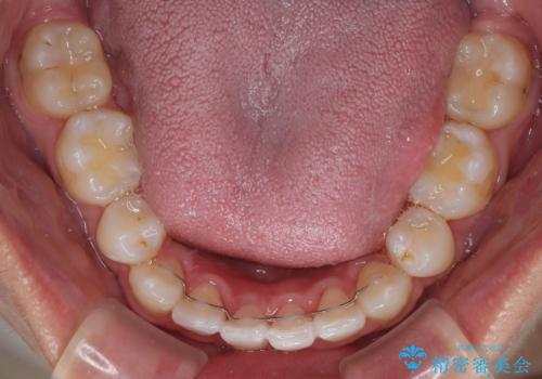
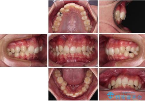
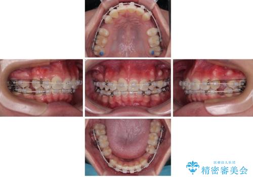
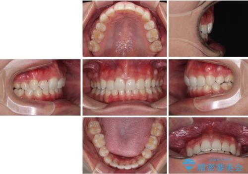
- 今回ご紹介するのは、
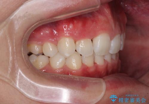
「全体的なデコボコ(叢生)」「上下の正中のずれ」 を主訴として来院された20代男性の患者様の症例です。
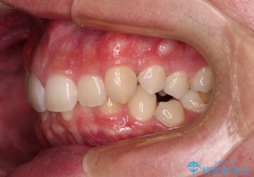
叢生が強く、歯が並ぶスペースが不足していたため、
上下左右の第一小臼歯を抜歯して、矯正治療のための適切なスペースを確保する計画としました。
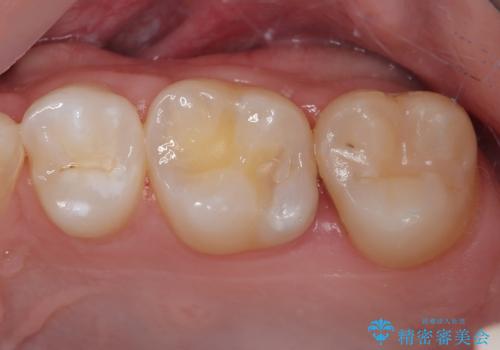
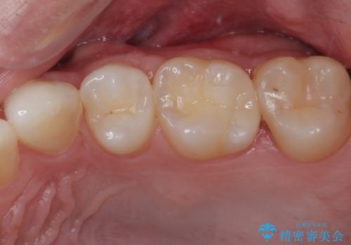
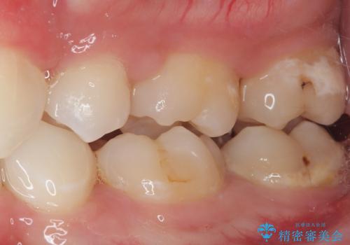
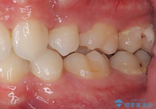
上顎左側第一大臼歯に齲蝕が認められたため、矯正治療終了後に 精度の高いセラミックインレー にて修復治療を行いました。
- 費用(概算)
- 123万円(税込)費用は治療当時の料金となります
治療について
叢生によるデコボコがあると、歯ブラシが届かない部分が多くなり、
虫歯リスクの上昇
歯周病の悪化
につながりやすい状態になります。
ワイヤー矯正の注意事項(リスク・副作用など)
- 治療中は違和感や痛みが起こることがあります
- 症状により、抜歯が必要な場合があります
- 治療中は歯磨きがしにくくなるため、虫歯や歯周病になりやすくなります
- 矯正治療後の保定が不十分だと後戻り(元の位置に戻ろうとする動き)をします
- 自費診療(保険適用外)となります
セラミック治療の注意事項(リスク・副作用など)
- 天然歯を削ります
- 硬い素材は天然歯を傷つけてしまう場合があります
- かみ合わせや歯ぎしりが強すぎる方はセラミックが割れてしまう可能性があります
- 自費診療(保険適用外治療)となります
当サイトの内容、テキスト、画像等の無断転載、複製、複写、盗用を固く禁じます。
































