症例詳細
Case detail
デコボコの非抜歯矯正 ワイヤー装置で楽して改善
治療症例の内容
- 診療科目
- 担当医
- 藤巻太一朗(ドクタープロフィール)
- 患者様
- 30代女性
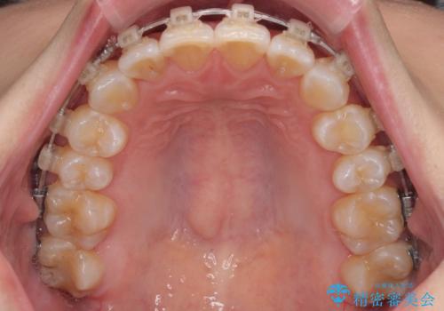
- 矯正装置
- 審美装置
- 治療期間
- 2年2ヶ月
- 治療回数
- 10-30回
- 治療計画
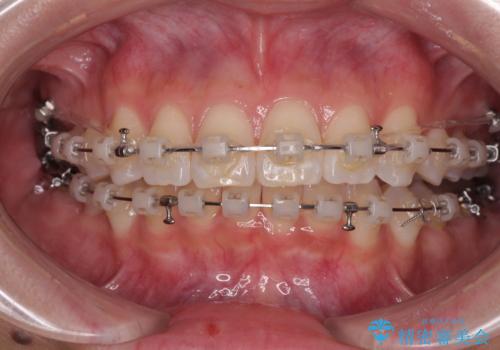
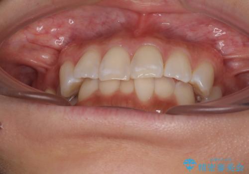
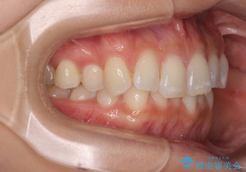
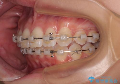
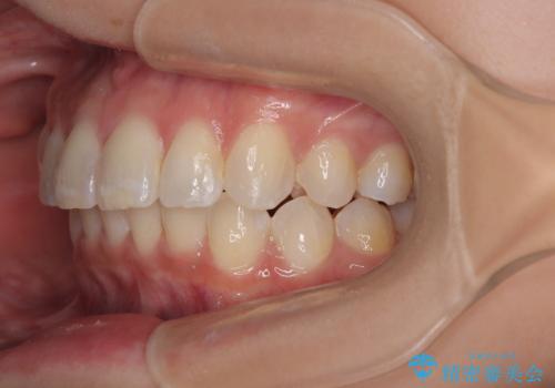
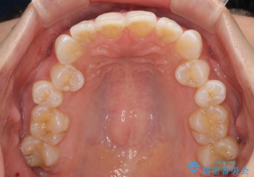
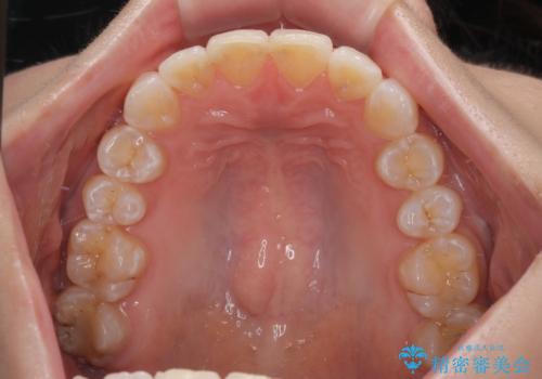
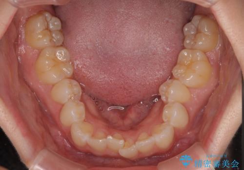
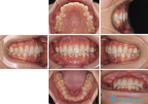
- 上下前歯のデコボコとディープバイトを気にして来院された患者様です。
歯列全体に叢生があり、舌の突出癖が認められたため、突出癖が改善されない場合には口元が突出するリスクが考えられました。
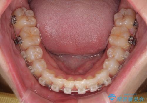
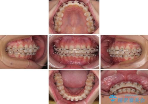
マウスピースでもワイヤーでも対応可能でしたが、煩わしいことは避けたいとのことで、舌のトレーニングをしっかりと行っていただきながら、ワイヤー装置にて矯正治療を行うこととしました。
- 費用(概算)
- 90万円(税込)費用は治療当時の料金となります
治療について
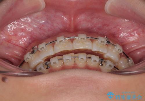
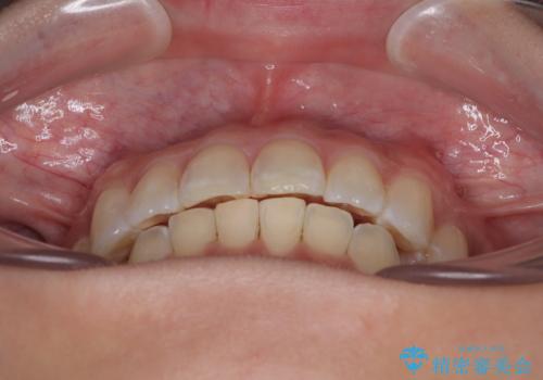
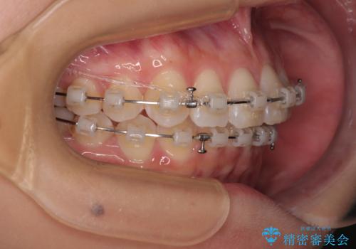
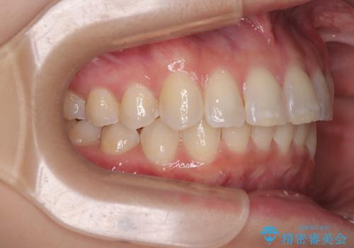
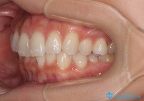
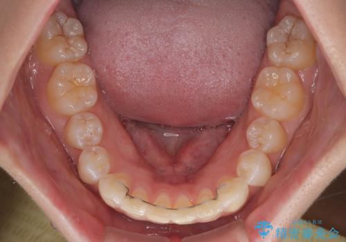
なかなか舌の突出癖が改善できず、上下前歯が非接触となる期間が長く続きました。
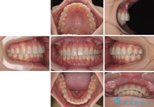
アンカースクリューの活用と、舌のトレーニングを何度も指導し、出っ歯になることなく無事に治療を終えることができました。
ワイヤー矯正の注意事項(リスク・副作用など)
- 治療中は違和感や痛みが起こることがあります
- 症状により、抜歯が必要な場合があります
- 治療中は歯磨きがしにくくなるため、虫歯や歯周病になりやすくなります
- 矯正治療後の保定が不十分だと後戻り(元の位置に戻ろうとする動き)をします
- 自費診療(保険適用外)となります
当サイトの内容、テキスト、画像等の無断転載、複製、複写、盗用を固く禁じます。



























