症例詳細
Case detail
【審美装置】前歯のデコボコを綺麗に
治療症例の内容
- 診療科目
- 担当医
- 菊地俊介(ドクタープロフィール)
- 患者様
- 20代女性
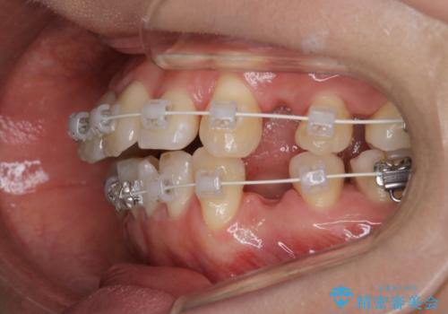
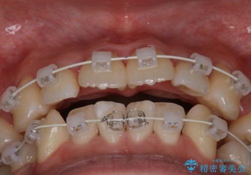
- 矯正装置
- 審美装置
- 治療期間
- 2年2ヶ月
- 治療回数
- 10-30回
- 治療計画
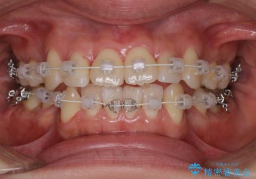
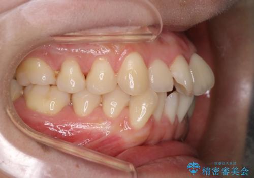
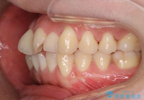
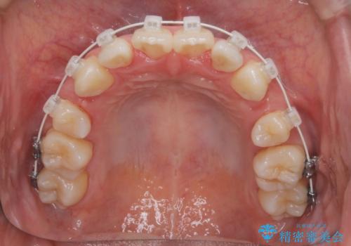
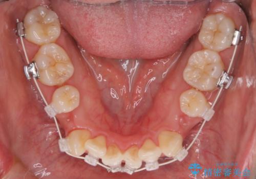
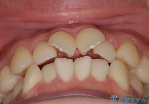
- 上の前歯のデコボコが気になるということで来院されました。
叢生量(デコボコ)が多いため、上下左右4番目の歯を抜歯してワイヤー矯正を行う治療計画を立てました。
- 費用(概算)
- 93.5万円(税込)費用は治療当時の料金となります
治療について
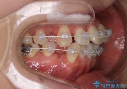
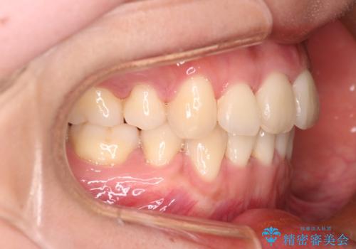
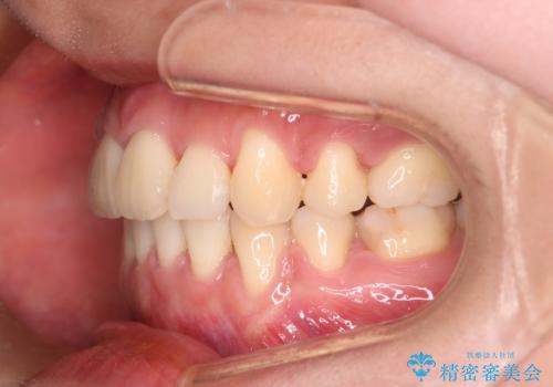
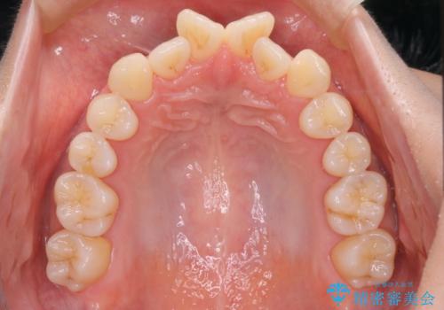
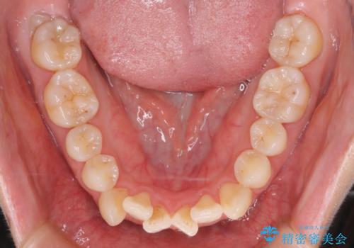
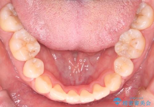
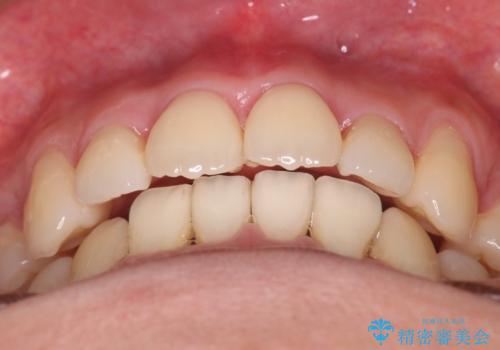
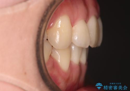
主訴である前歯のデコボコが改善され、噛みあわせも綺麗になりました。
歯肉退縮もなく、予定通りに治療を終えることができ良かったです。
ワイヤー矯正の注意事項(リスク・副作用など)
- 治療中は違和感や痛みが起こることがあります
- 症状により、抜歯が必要な場合があります
- 治療中は歯磨きがしにくくなるため、虫歯や歯周病になりやすくなります
- 矯正治療後の保定が不十分だと後戻り(元の位置に戻ろうとする動き)をします
- 自費診療(保険適用外)となります
当サイトの内容、テキスト、画像等の無断転載、複製、複写、盗用を固く禁じます。



















