症例詳細
Case detail
【ワイヤー矯正】歯列の隙間を閉じたい
治療症例の内容
- 担当医
- 町田睦月(ドクタープロフィール)
- 患者様
- 20代男性
- 治療期間
- 2年
- 治療回数
- 30回以上
- 治療計画
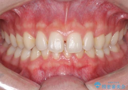
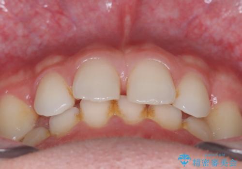
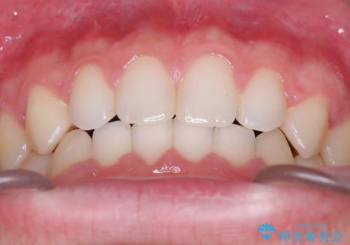
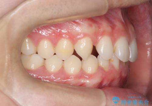
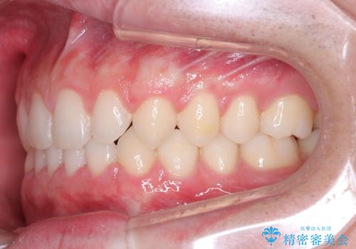
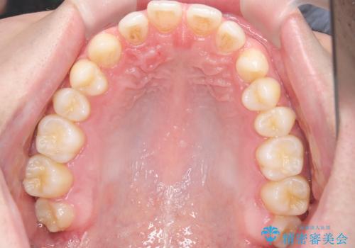
- 主訴:上の歯列の空隙を閉じたい
上顎前歯部に空隙が目立ちました。ワイヤー矯正、インビザライン(マウスピース矯正)どちらの方法でも適用症例と説明し、ワイヤー矯正治療(審美装置)を希望されました。
- 費用(概算)
- 935,000円(税込み)費用は治療当時の料金となります
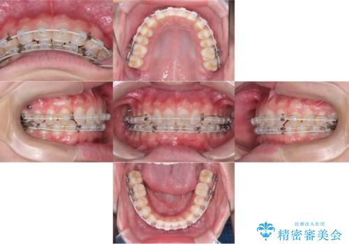
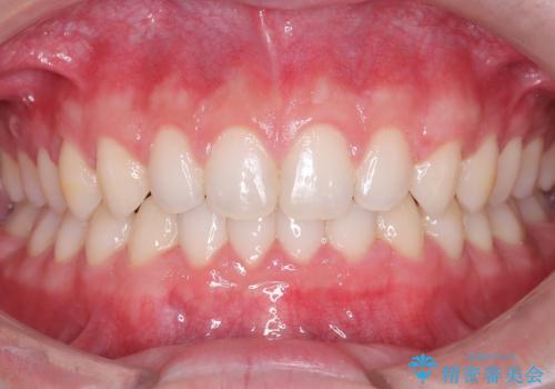
治療について
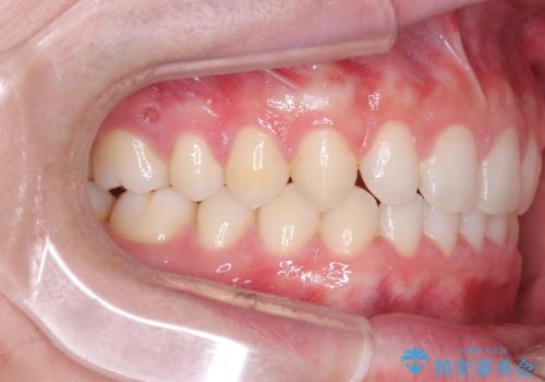
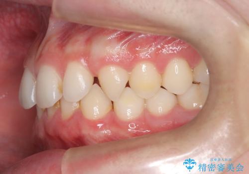
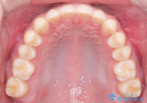
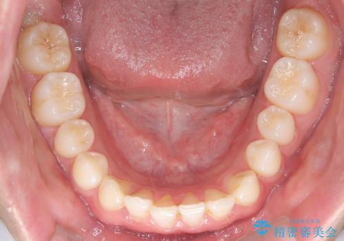
上顎歯列の空隙を閉じるのと一緒に、ディープバイト気味の被蓋も下顎前歯の圧下を行い改善しました。
矯正治療期間:2年ちょうど
ワイヤー矯正の注意事項(リスク・副作用など)
- 治療中は違和感や痛みが起こることがあります
- 症状により、抜歯が必要な場合があります
- 治療中は歯磨きがしにくくなるため、虫歯や歯周病になりやすくなります
- 矯正治療後の保定が不十分だと後戻り(元の位置に戻ろうとする動き)をします
- 自費診療(保険適用外)となります
当サイトの内容、テキスト、画像等の無断転載、複製、複写、盗用を固く禁じます。

















