症例詳細
Case detail
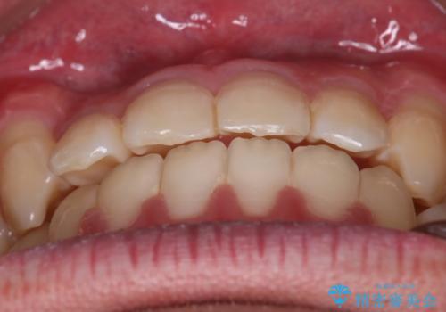
【審美装置】前歯の反対咬合改善
- 患者様
- 20代男性
- 矯正装置
- 審美装置
- 治療期間
- 1年2ヶ月
- 治療回数
- 10-30回
- 治療計画
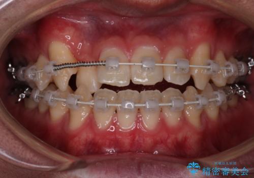
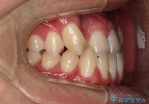
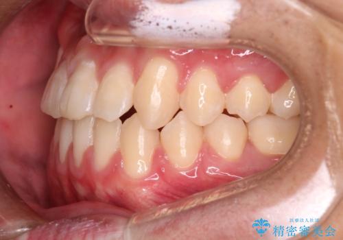
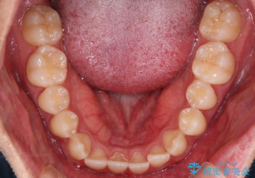
- 前歯の歯並びと噛み合わせを主訴に来院されました。
左右の噛み合わせが反対咬合であることと下顎の皮質骨が薄いため治療計画をしっかりと立てて行う必要のあるケースでした。
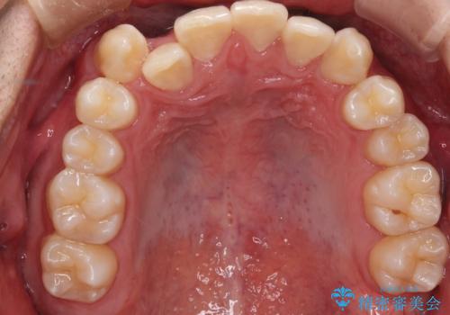
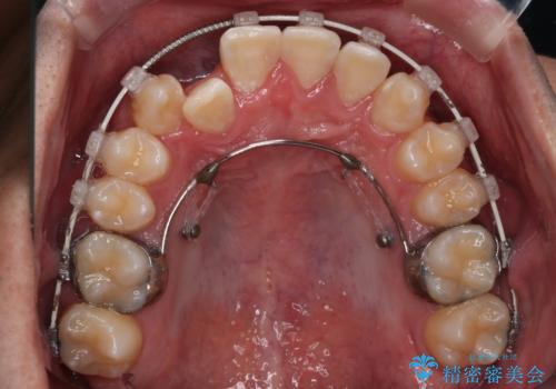
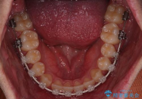
その点を考慮して、リンガルアーチを用いて奥歯を遠心移動し、前歯にIPR(歯と歯の間を削る処置)を行うことでスペースを作って歯並びを整えていく計画を立てました。
- 費用(概算)
- 90万円(税込)費用は治療当時の料金となります
治療について
リンガルアーチを用いて奥歯を遠心移動し、前歯にIPR(歯と歯の間を削る処置)を行うことでスペースを作って歯並びを整えていく計画を立てました。
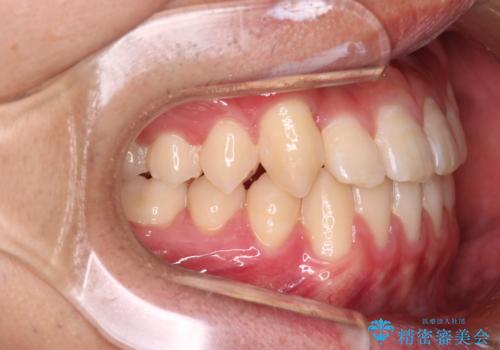
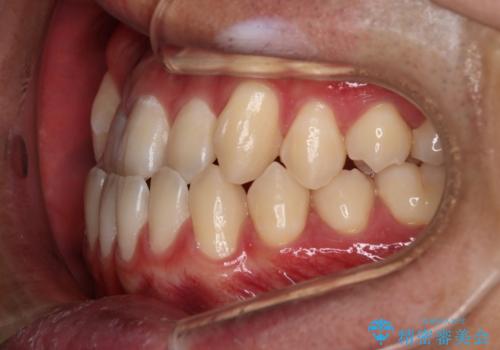
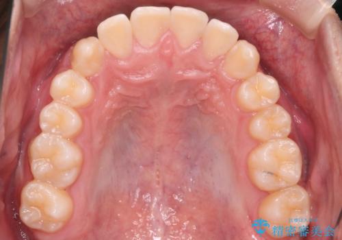
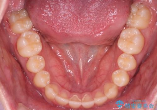
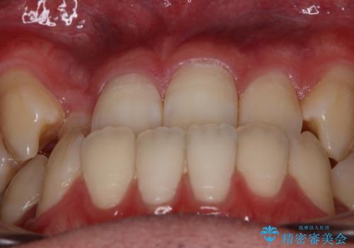
心配していた歯肉退縮も起こらず、前歯の噛み合わせと歯並びが綺麗に改善されました。
期間も1年2ヶ月と短期間で終了することができ、とても満足度の高い治療になりました。
ワイヤー矯正の注意事項(リスク・副作用など)
- 治療中は違和感や痛みが起こることがあります
- 症状により、抜歯が必要な場合があります
- 治療中は歯磨きがしにくくなるため、虫歯や歯周病になりやすくなります
- 矯正治療後の保定が不十分だと後戻り(元の位置に戻ろうとする動き)をします
- 自費診療(保険適用外)となります
当サイトの内容、テキスト、画像等の無断転載、複製、複写、盗用を固く禁じます。



















