症例詳細
Case detail
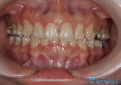
歯の中心のズレを解消し、より美しい口元へ
治療症例の内容
- 患者様
- 20代女性
- 矯正装置
- インビザライン
- 治療期間
- 2年
- 治療回数
- 10-30回
- 治療計画
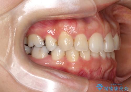
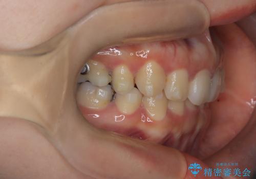
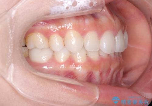
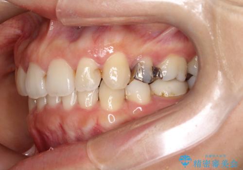
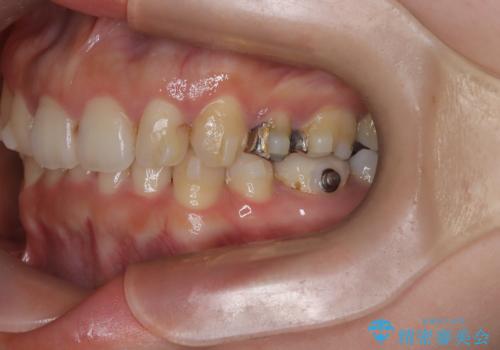
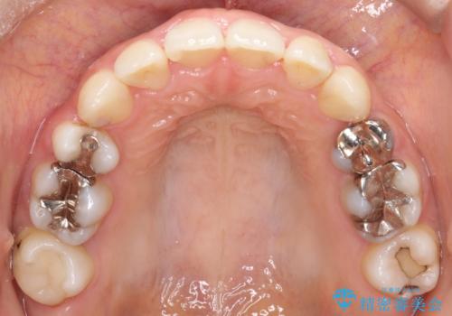
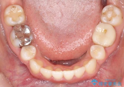
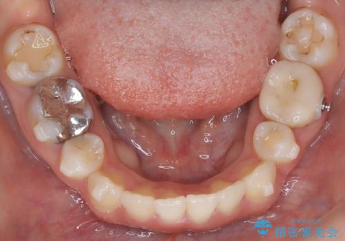
- 上下の歯の中心(正中)のズレと、口元の見た目を気にされて来院されました。精密な検査の結果、咬み合わせのバランスを整えながら、正中線を一致させる治療が必要と判断。患者様のご希望に合わせ、透明で目立ちにくいインビザライン(マウスピース矯正)による治療計画を立案しました。歯列全体を奥(遠心)へ移動させるためにゴムかけを併用。さらに、見た目を改善するため、既存の金属の被せ物をセラミッククラウンに交換することも治療計画に組み込みました。
- 費用(概算)
- 85万円費用は治療当時の料金となります
治療について
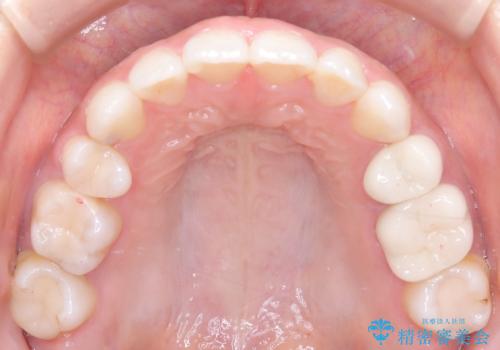
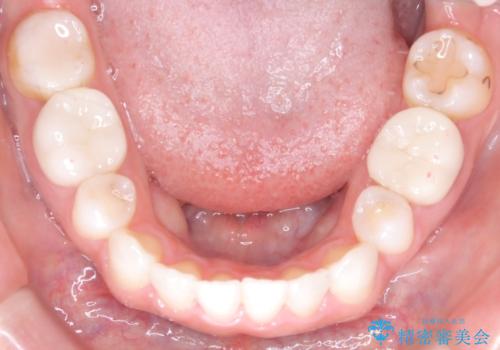
今回の矯正治療では、透明なマウスピース型の装置インビザラインを使用しました。歯列を奥へ動かす遠心移動の効率を高めるため、患者様ご自身にゴムかけも行っていただきました。この併用によって、歯をより正確かつスムーズに動かすことができ、上下の歯の中心である正中線を一致させることが可能になりました。また、治療の最終段階では、以前から入っていた金属の被せ物を、天然歯に近い色合いのセラミッククラウンに交換。矯正治療と審美治療を組み合わせることで、機能的な咬み合わせの改善に加え、金属が見えない、より自然で美しい口元を獲得していただけました。
マウスピース矯正の注意事項(リスク・副作用など)
- 口腔内・歯並びの状態によっては対応できない場合があります
- マウスピース型矯正装置の長時間装着(1日20時間以上)が必須です
- 治療計画通りに進めるためには、患者様の意志が重要になります
- 矯正治療後の保定が不十分だと後戻り(元の位置に戻ろうとする動き)をします
- 薬機法対象外の矯正歯科装置のため医薬品副作用被害救済制度の対象外となる場合があります
- 自費診療(保険適用外)となります
当サイトの内容、テキスト、画像等の無断転載、複製、複写、盗用を固く禁じます。















