症例詳細
Case detail
前歯の審美歯科治療 下顎の部分矯正と上顎前歯のオールセラミッククラウン
治療症例の内容
- 患者様
- 40代男性
- 治療期間
- 1年
- 治療回数
- 10-30回
- 治療計画
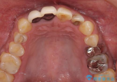
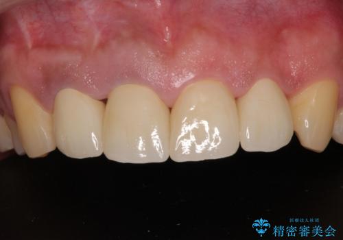
- 前歯の見た目を気にして来院された患者様です。
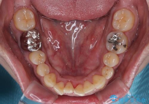
部分矯正をしたくて下顎前歯に矯正装置を付けていらっしゃいましたが、通院が難しいこともあり撤去することになりました。
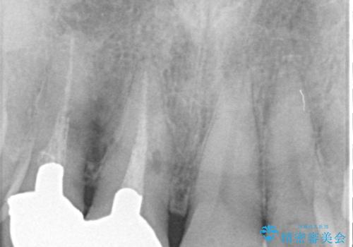
下顎の歯列は整えたいというご希望とは別に、上顎前歯にうずくような痛みや違和感があるとのことで、先に根管治療や歯根端切除術を行うこととしました。
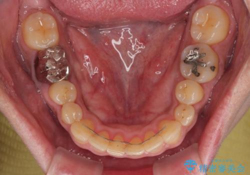
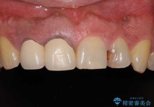
痛みが消えた後に、より目立たない装置をご希望とのことで、下顎前歯の舌側矯正で部分矯正を行い、歯列が整い、上顎前歯歯根部の病変が消退したことを確認した上で、上顎前歯をオールセラミッククラウンにて補綴治療を行うこととしました。
- 費用(概算)
- 120万円(税込)費用は治療当時の料金となります
治療について
前歯部の見た目を改善するために、様々な医院を巡られたそうですが、当院ご提案のプランにて、痛みもスッキリと引いた、満足のいく仕上がりとなりました。
ワイヤー矯正の注意事項(リスク・副作用など)
- 治療中は違和感や痛みが起こることがあります
- 症状により、抜歯が必要な場合があります
- 治療中は歯磨きがしにくくなるため、虫歯や歯周病になりやすくなります
- 矯正治療後の保定が不十分だと後戻り(元の位置に戻ろうとする動き)をします
- 自費診療(保険適用外)となります
根管治療の注意事項(リスク・副作用など)
- 根管治療により類似の全ての症例の問題が解決するわけではなく、症例はあくまでも一例です
- 根管治療により痛みや腫れがひかない事や、術後に痛みや腫れが生じる事、治療によるファイル破折やパーフォレーションなどの偶発症、術後の歯根破折を生じる可能性もあります
- 自費診療(保険適用外)となります
セラミック治療の注意事項(リスク・副作用など)
- 天然歯を削ります
- 硬い素材は天然歯を傷つけてしまう場合があります
- かみ合わせや歯ぎしりが強すぎる方はセラミックが割れてしまう可能性があります
- 自費診療(保険適用外治療)となります
当サイトの内容、テキスト、画像等の無断転載、複製、複写、盗用を固く禁じます。













