症例詳細
Case detail
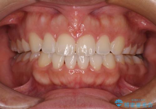
骨格性のディープバイト 補助装置を併用したワイヤー矯正治療で咬み合わせを改善
治療症例の内容
- 診療科目
- 担当医
- 藤巻太一朗(ドクタープロフィール)
- 患者様
- 30代男性
- 矯正装置
- 審美装置
- 治療期間
- 1年5ヶ月
- 治療回数
- 10-30回
- 治療計画
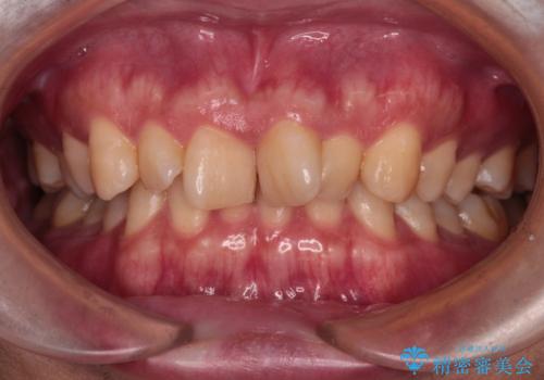
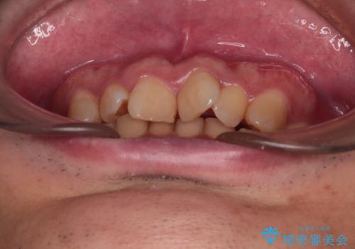
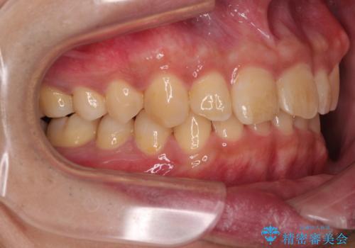
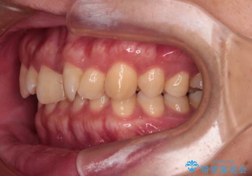
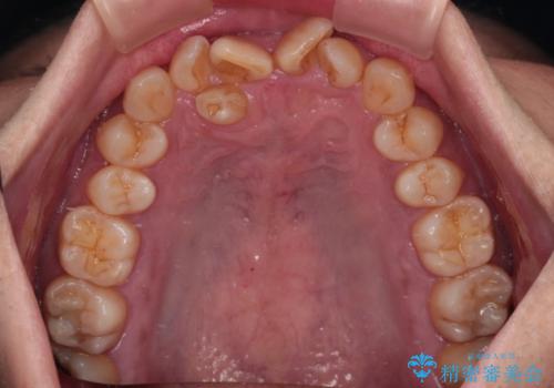
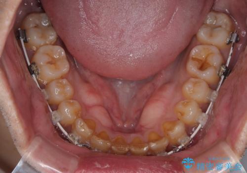
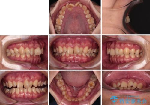
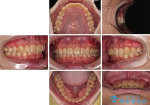
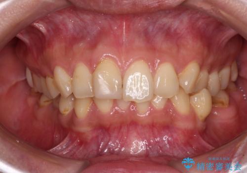
- 前歯のデコボコと深い咬み合わせを気にして来院された患者様です。
骨格的に上顎骨がやや前方にあり、それが原因で下顎前歯が隠れるほどのディープバイトになっている状態でした。
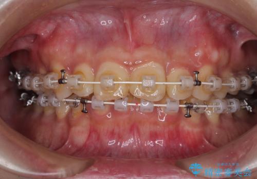
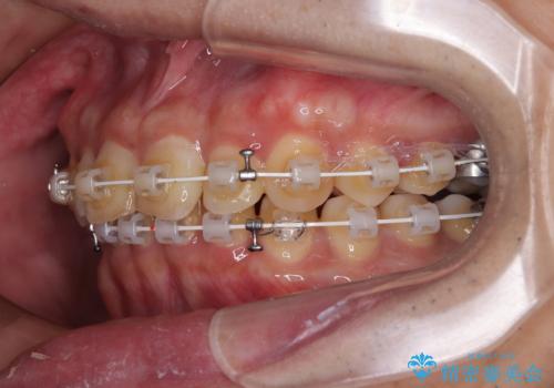
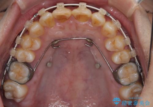
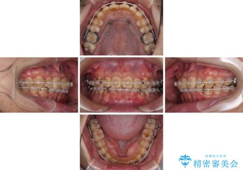
補助装置を用いて、上顎大臼歯を積極的に後方移動させながら、ディープバイトを改善していくこととしました。
強い咬合力に抵抗するため、上下ともに表側のワイヤー装置にて矯正治療を行うこととしました。
- 費用(概算)
- 105万円(税込)費用は治療当時の料金となります
治療について
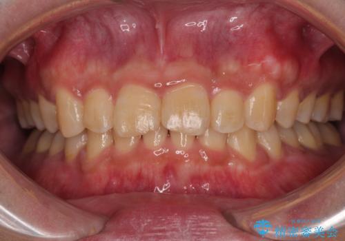
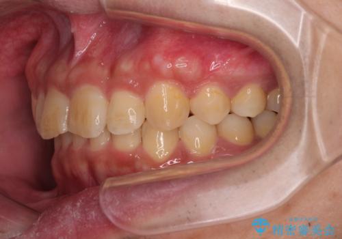
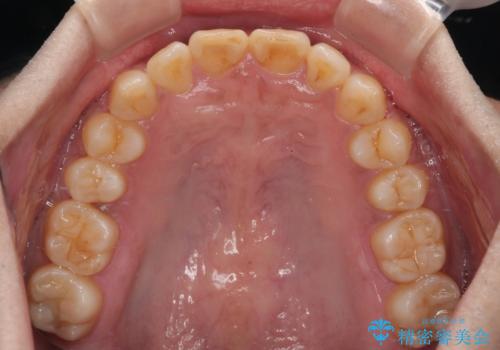
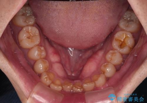
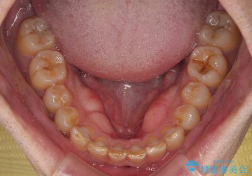
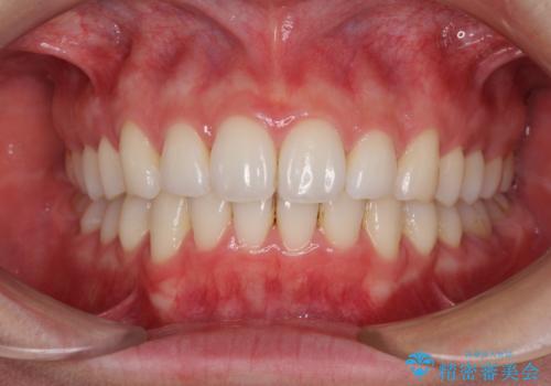
上顎歯列を遠心移動させたことで、前歯の叢生が解消されても前歯が前突することなく、左右ともに理想的な咬み合わせを達成することができました。
ワイヤー矯正の注意事項(リスク・副作用など)
- 治療中は違和感や痛みが起こることがあります
- 症状により、抜歯が必要な場合があります
- 治療中は歯磨きがしにくくなるため、虫歯や歯周病になりやすくなります
- 矯正治療後の保定が不十分だと後戻り(元の位置に戻ろうとする動き)をします
- 自費診療(保険適用外)となります
当サイトの内容、テキスト、画像等の無断転載、複製、複写、盗用を固く禁じます。


























