症例詳細
Case detail
デコボコと乳歯の欠損 ワイヤー矯正とインプラント補綴治療
治療症例の内容
- 患者様
- 30代女性
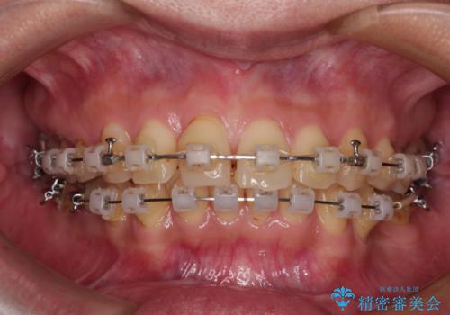
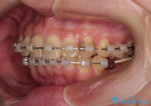
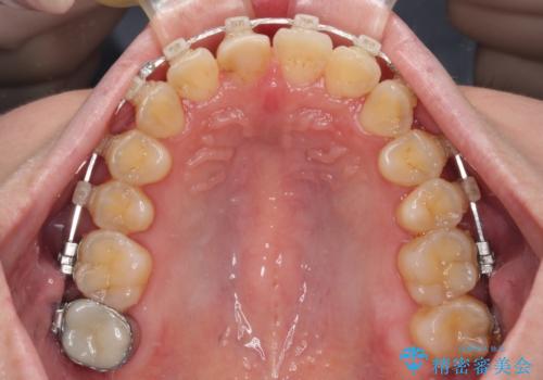
- 矯正装置
- クリアブラケット
- 治療期間
- 2年4ヶ月
- 治療回数
- 30回以上
- 治療計画
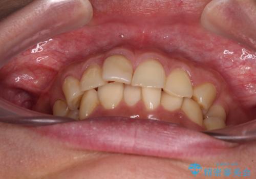
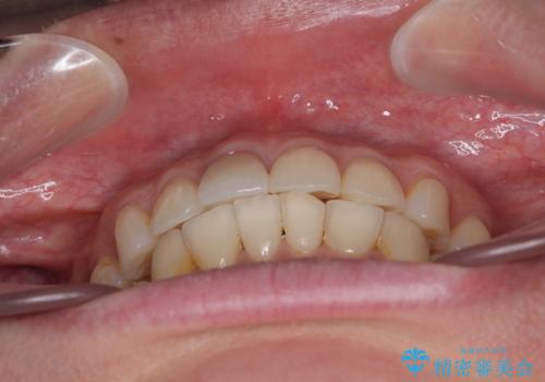
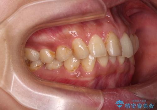
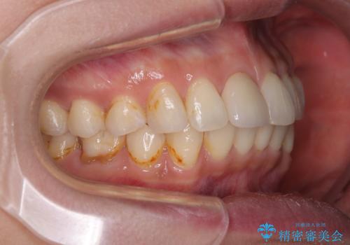
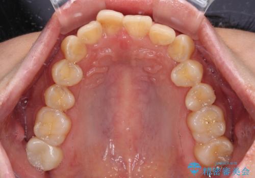
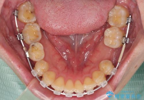
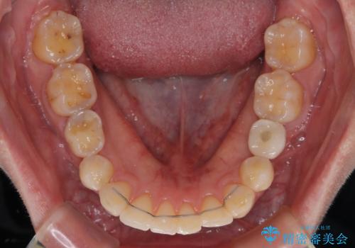
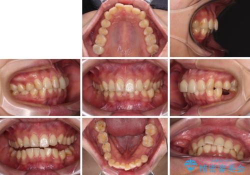
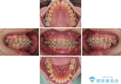
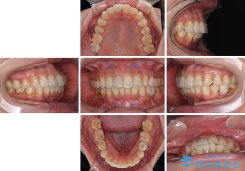
- 全体的なデコボコと左下乳歯部の欠損を気にして来院された患者様です。
乳歯が抜け落ちた後の後続永久歯が欠損しているため、スペースが残っておりました。
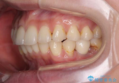
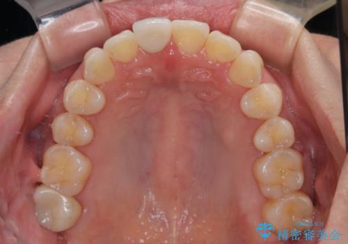
口元の突出感を気にしているのであれば欠損スペースを利用して抜歯矯正を行うことも可能ですが、横顔の印象はスッキリとしている状態であったため、矯正治療でスペースを閉じきることは不可能と判断し、インプラントによる補綴治療を行うこととしました。
- 費用(概算)
- 165万円(税込)費用は治療当時の料金となります
治療について
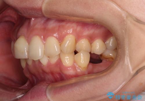
第二小臼歯の欠損によるが乳歯残存や欠損が多く、この乳歯は後続永久歯に比べて幅が非常に大きいため、教聖地料によるスペースクローズが難しいことが一般的です。
ワイヤー矯正の注意事項(リスク・副作用など)
- 治療中は違和感や痛みが起こることがあります
- 症状により、抜歯が必要な場合があります
- 治療中は歯磨きがしにくくなるため、虫歯や歯周病になりやすくなります
- 矯正治療後の保定が不十分だと後戻り(元の位置に戻ろうとする動き)をします
- 自費診療(保険適用外)となります
インプラント治療の注意事項(リスク・副作用など)
- 外科手術のため、術後に痛みや腫れ、違和感を伴います
- メンテナンスを怠ったり喫煙により、お口の中に大きな悪影響を及ぼすインプラント周囲炎等にかかる可能性があります
- 糖尿病、肝硬変、心臓病等の場合、インプラント治療ができない可能性があります
- 高血圧、貧血・不整脈等の場合、インプラント治療後に治癒不全を招く可能性があります
- 自費診療(保険適用外治療)となります
当サイトの内容、テキスト、画像等の無断転載、複製、複写、盗用を固く禁じます。
























