症例詳細
Case detail
【インビザライン】目立たない矯正で前歯を綺麗に
治療症例の内容
- 患者様
- 20代男性
- 矯正装置
- マウスピース
- 治療期間
- 9ヶ月
- 治療回数
- 5-10回
- 治療計画
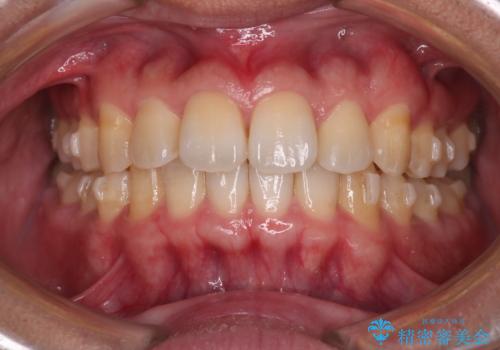
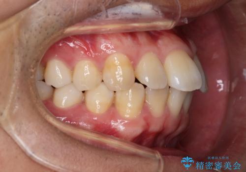
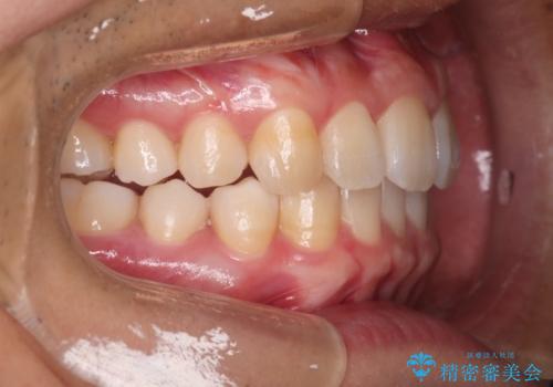
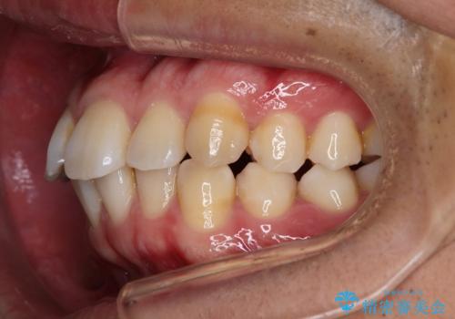
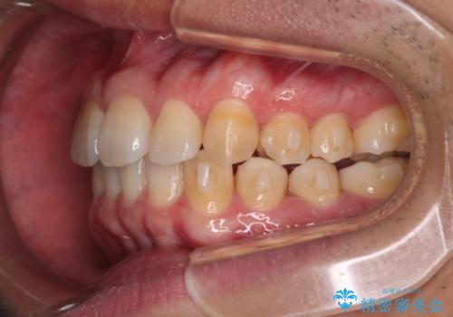
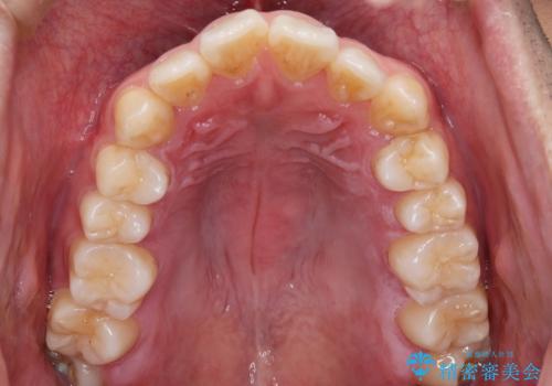
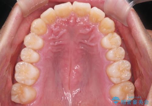
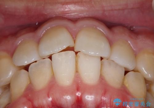
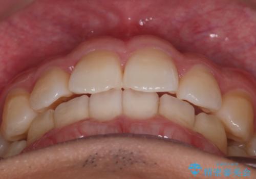
- 上の歯が出ているのが気になるのを主訴にご来院されました。人前で話すお仕事をされており目立たないマウスピース治療を希望されていました。
口元のEラインは気にならないとのことだったのでインビザラインにて治療していくことにしました。
IPR(歯と歯の間を削る処置)と歯列拡大をすることで前歯を少し下げ、がたつきを改善していく治療計画を立てました。
- 費用(概算)
- 55万円(税込)費用は治療当時の料金となります
治療について
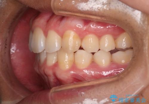
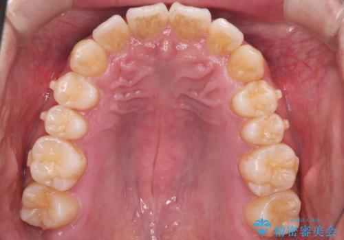
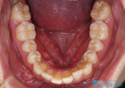
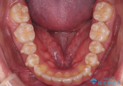
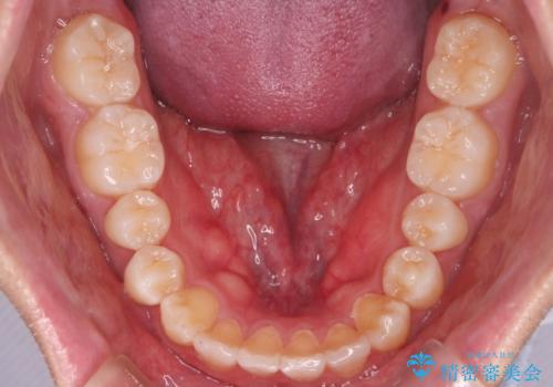
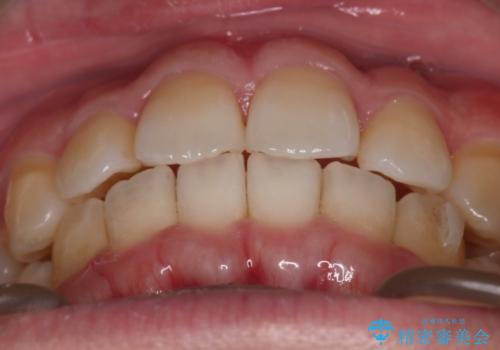
上の前歯が出ているという主訴が綺麗に改善されました。
その他の部位のがたつき、奥歯の噛み合わせも以前と比べると良くなっています。
目立たない装置で治療期間も10ヶ月と短く終了することができました。
マウスピース矯正の注意事項(リスク・副作用など)
- 口腔内・歯並びの状態によっては対応できない場合があります
- マウスピース型矯正装置の長時間装着(1日20時間以上)が必須です
- 治療計画通りに進めるためには、患者様の意志が重要になります
- 矯正治療後の保定が不十分だと後戻り(元の位置に戻ろうとする動き)をします
- 薬機法対象外の矯正歯科装置のため医薬品副作用被害救済制度の対象外となる場合があります
- 自費診療(保険適用外)となります
当サイトの内容、テキスト、画像等の無断転載、複製、複写、盗用を固く禁じます。




















