症例詳細
Case detail
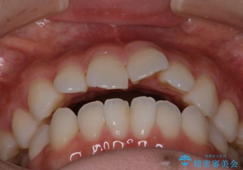
【審美装置】前歯で噛めない!抜歯しないで治したい
治療症例の内容
- 患者様
- 20代女性
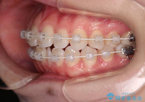
- 矯正装置
- 審美装置
- 治療期間
- 1年3ヶ月
- 治療回数
- 10-30回
- 治療計画
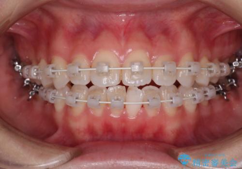
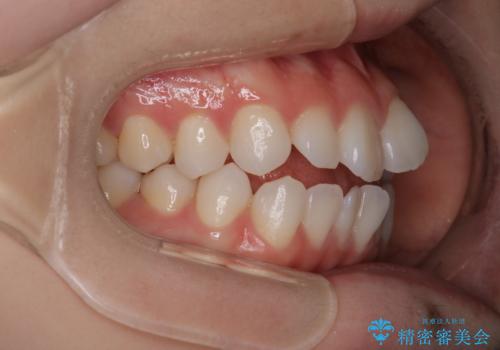
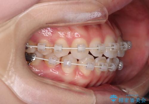
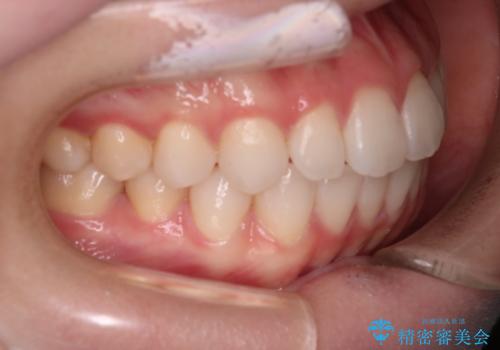
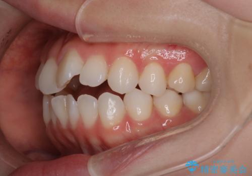
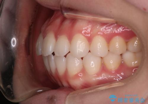
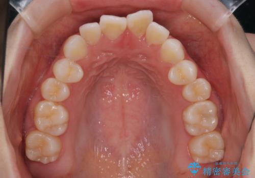
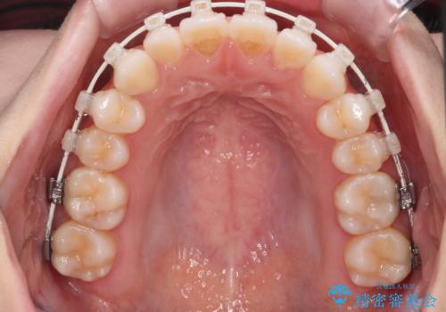
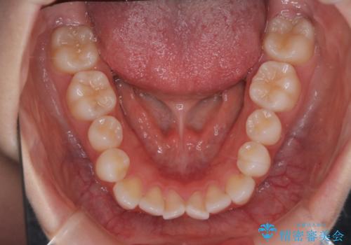
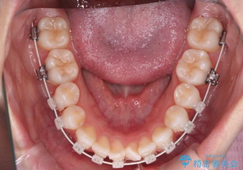
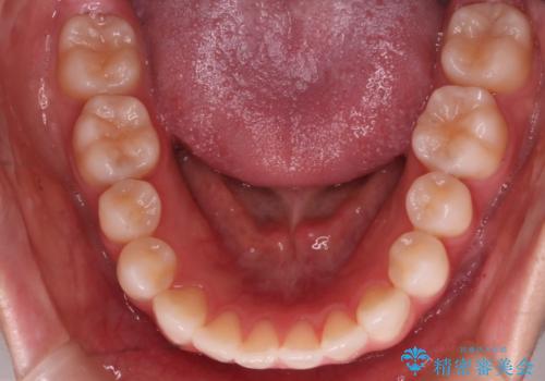
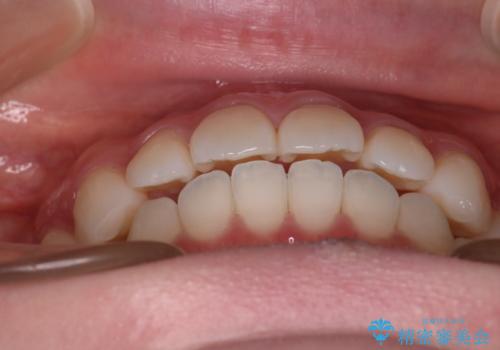
- 前歯の捻転とかみ合わせを主訴に来院されました。今回は抜歯をせずにIPRを実施し、並べる計画を立てました。
- 費用(概算)
- 66万円(税込)費用は治療当時の料金となります
治療について
ワイヤー矯正を行いながら、顎間ゴムを患者さまにご協力していただき、短い期間で終了できました。
ワイヤー矯正の注意事項(リスク・副作用など)
- 治療中は違和感や痛みが起こることがあります
- 症状により、抜歯が必要な場合があります
- 治療中は歯磨きがしにくくなるため、虫歯や歯周病になりやすくなります
- 矯正治療後の保定が不十分だと後戻り(元の位置に戻ろうとする動き)をします
- 自費診療(保険適用外)となります
当サイトの内容、テキスト、画像等の無断転載、複製、複写、盗用を固く禁じます。



















