症例詳細
Case detail
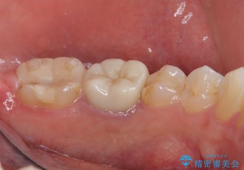
詰め物が欠けた フルジルコニアクラウン
治療症例の内容
- 診療科目
- 担当医
- 有澤哲郎(ドクタープロフィール)
- 患者様
- 40代男性
- 治療期間
- 4ヶ月
- 治療回数
- 5-10回
- 治療計画
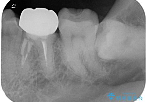
- 詰め物が欠けたとのことで来院された患者様です。来院時特に症状もなく神経の生活反応も確認できました。
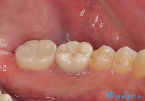
詰め物の範囲が大きいためフルジルコニアクラウンによる補綴治療を行いました。
拡大鏡視野下で詰め物、虫歯を除去しフルジルコニアクラウンに適切な形に整えました。
型どりの際には唾液も多く舌も動いてくるため個歯トレーにて精密印象を行っています。
仮歯に変える前に左下の埋伏親知らず抜歯を行っています。
- 費用(概算)
- 10万円(税込み)費用は治療当時の料金となります
治療について
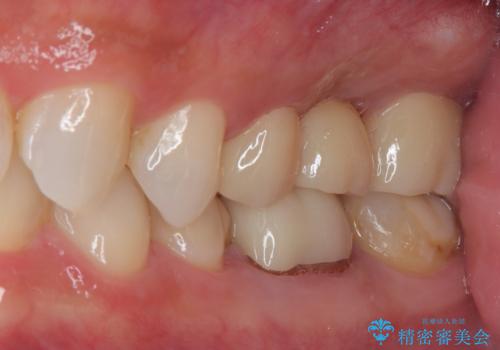
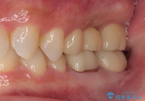
審美面、機能面ともに満足していただけました。
咬み合わせが強い方なので夜間にマウスピースを使ってもらいながら、メインテナンスで通ってもらう予定です。
セラミック治療の注意事項(リスク・副作用など)
- 天然歯を削ります
- 硬い素材は天然歯を傷つけてしまう場合があります
- かみ合わせや歯ぎしりが強すぎる方はセラミックが割れてしまう可能性があります
- 自費診療(保険適用外治療)となります
外科処置の注意事項(リスク・副作用など)
- 外科手術のため、術後に出血、痛みや腫れ、違和感を伴います
- 口腔内の状態によっては適応できないことがあります
その他の注意事項(リスク・副作用など)
- 担当歯科医師、歯科衛生士又は医院スタッフから受けた説明・注意事項をよくご確認ください
- 医療を提供するに当たり、適切な説明を行い、患者様の十分な理解を得るよう努めております
当サイトの内容、テキスト、画像等の無断転載、複製、複写、盗用を固く禁じます。









