症例詳細
Case detail
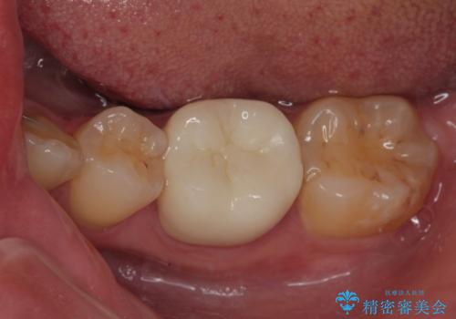
金属の詰め物が取れた オールセラミッククラウン
治療症例の内容
- 診療科目
- 治療カテゴリ
- 担当医
- 有澤哲郎(ドクタープロフィール)
- 患者様
- 30代女性
- 治療期間
- 1ヶ月
- 治療回数
- 2-5回
- 治療計画
- メタルインレー(保険の金属の詰め物)が取れたとのことで来院された患者様です。
拡大鏡視野下にて、メタルインレーの範囲が大きく虫歯もあったため、オールセラミッククラウンにて修復を行いました。
型どりはシリコーン印象材にて型どりしています。
- 費用(概算)
- 14万円費用は治療当時の料金となります
治療について
見た目、噛み合わせともに満足していただけました。
セラミック治療の注意事項(リスク・副作用など)
- 天然歯を削ります
- 硬い素材は天然歯を傷つけてしまう場合があります
- かみ合わせや歯ぎしりが強すぎる方はセラミックが割れてしまう可能性があります
- 自費診療(保険適用外治療)となります
当サイトの内容、テキスト、画像等の無断転載、複製、複写、盗用を固く禁じます。






