症例・治療例紹介
Cases
Dr. 有澤哲郎の症例写真
1ページ目 / 5
親知らずを抜きたい 親知らず抜歯
担当医 有澤哲郎


金属の詰め物が取れた オールセラミッククラウン
担当医 有澤哲郎


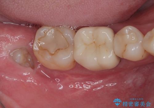
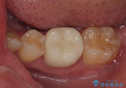
左下にフロスを通すと引っかかる オールセラミッククラウン
担当医 有澤哲郎


右下の親知らずを抜きたい 親知らず抜歯
担当医 有澤哲郎


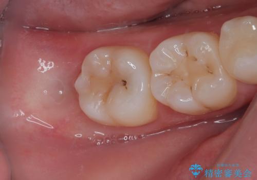
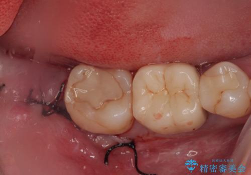
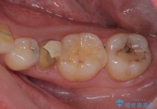
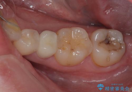
左下が虫歯になっている気がする オールセラミッククラウン
担当医 有澤哲郎


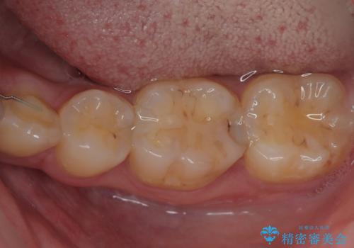
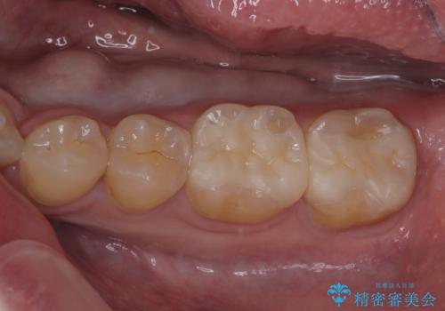
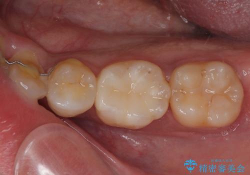
被せものが割れた オールセラミッククラウン・セラミックインレー修復


親知らずを抜きたい 親知らず抜歯
担当医 有澤哲郎


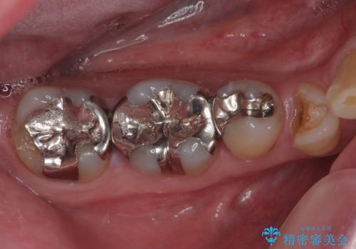
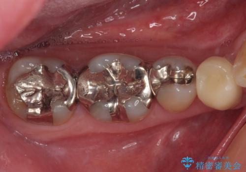
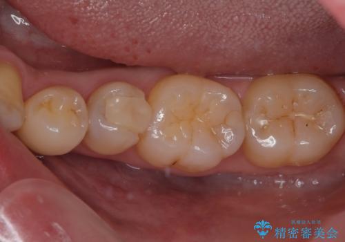
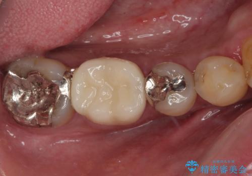
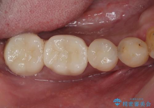
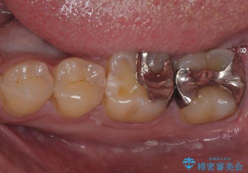
銀歯の下の虫歯を治したい オールセラミッククラウン・セラミックインレー修復


矯正が終わったのでセラミックに変えていきたい オールセラミッククラウン
担当医 有澤哲郎


銀歯をセラミックにしたい オールセラミッククラウン
担当医 有澤哲郎


銀歯を外したい オールセラミッククラウン
担当医 有澤哲郎


右下の銀歯が外れた オールセラミッククラウン
担当医 有澤哲郎


左下の奥歯が欠けた フルジルコニアクラウン・親知らず抜歯
担当医 有澤哲郎






