症例詳細
Case detail
不具合の多い前歯 オールセラミックブリッジ治療
治療症例の内容
- 担当医
- 藤巻太一朗(ドクタープロフィール)
- 患者様
- 50代女性
- 治療期間
- 6ヶ月
- 治療回数
- 5-10回
- 治療計画
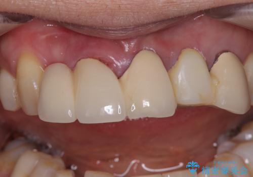
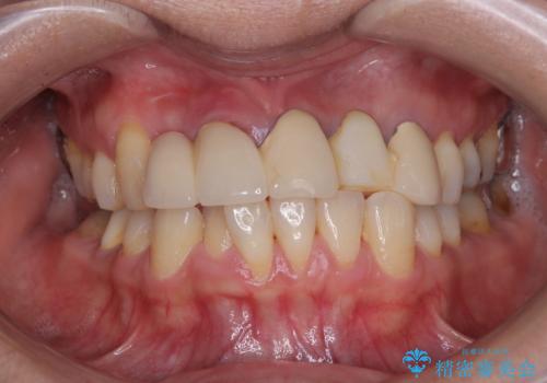
- 前歯のブリッジに違和感を感じるとのことで来院された患者様です。
受け口を無理やりブリッジで改善したことで、支台歯の1本は歯根が破折しており抜歯が必要な状態でした。
根管治療がされている歯の一部には根尖部の違和感があり、根管治療が必要と判断されました。
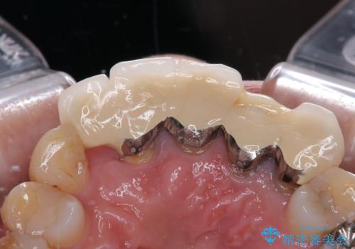
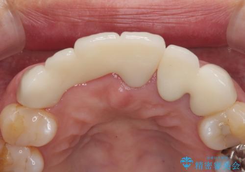
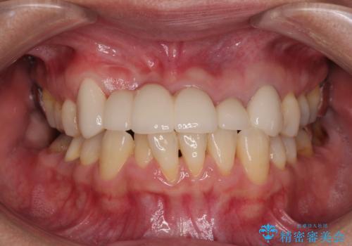
抜歯および根管治療を実施した後にオールセラミッククラウンにて補綴することとしました。
- 費用(概算)
- 治療費の目安: 110万円(税込)費用は治療当時の料金となります
治療について
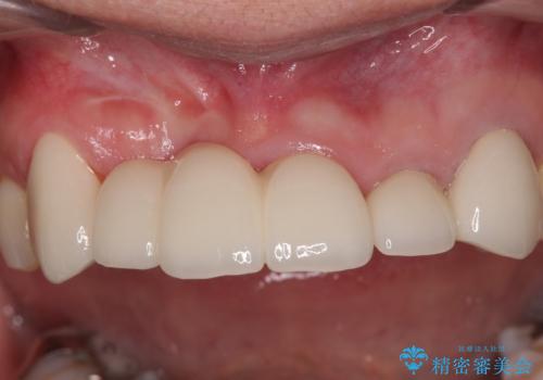
歯肉ラインの改善には歯周外科処置が必要でしたが、大きく笑っても歯肉ラインが唇に隠れるとのことで、外見の改善はせず、清掃性の大会ブリッジを装着いたしました。
セラミック治療の注意事項(リスク・副作用など)
- 天然歯を削ります
- 硬い素材は天然歯を傷つけてしまう場合があります
- かみ合わせや歯ぎしりが強すぎる方はセラミックが割れてしまう可能性があります
- 自費診療(保険適用外治療)となります
根管治療の注意事項(リスク・副作用など)
- 根管治療により類似の全ての症例の問題が解決するわけではなく、症例はあくまでも一例です
- 根管治療により痛みや腫れがひかない事や、術後に痛みや腫れが生じる事、治療によるファイル破折やパーフォレーションなどの偶発症、術後の歯根破折を生じる可能性もあります
- 自費診療(保険適用外)となります
当サイトの内容、テキスト、画像等の無断転載、複製、複写、盗用を固く禁じます。










