症例詳細
Case detail
飛び出した前歯 抜歯矯正で横顔が劇的変化
治療症例の内容
- 診療科目
- 治療カテゴリ
- 担当医
- 藤巻太一朗(ドクタープロフィール)
- 患者様
- 30代女性
- 矯正装置
- 審美装置
- 治療期間
- 5年1ヶ月
- 治療回数
- 30回以上
- 治療計画
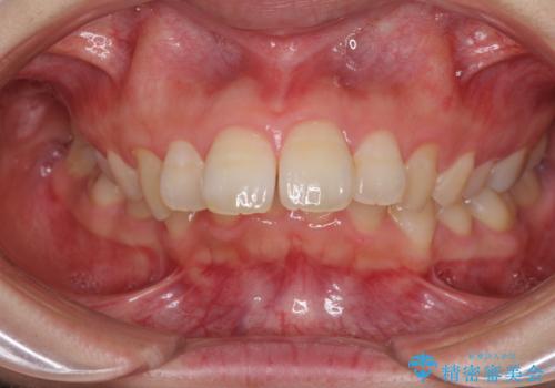
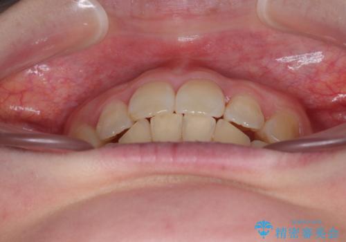
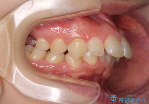
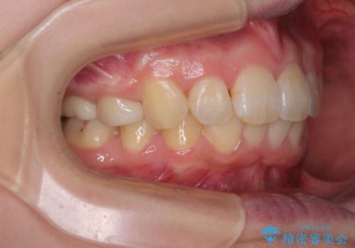
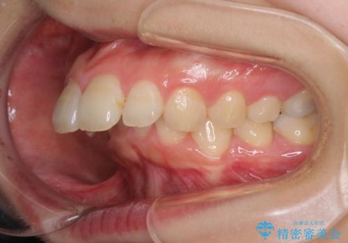
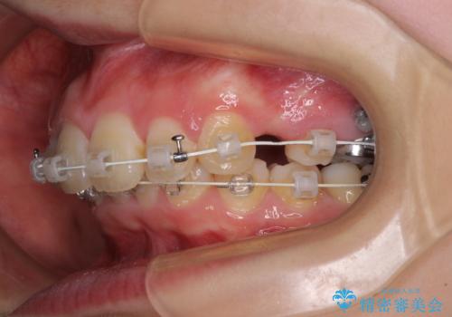
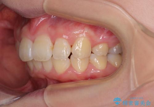
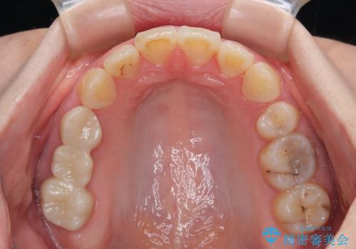
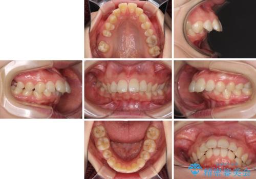
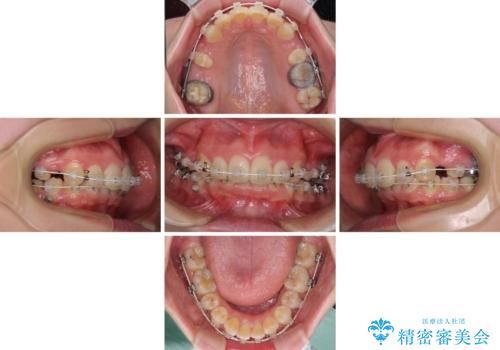
- 飛び出した上顎前歯を気にして来院された患者様です。
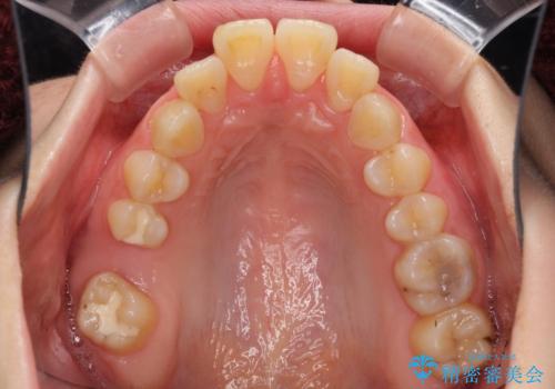
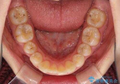
下顎は左右2番目の歯が2本欠損しており、上下前歯の前後的な位置は著しくずれている状態でした。
骨格的にも上顎骨が前突傾向にあり、極端な過蓋咬合になっていました。
強い咬合力に抵抗するように歯を動かす必要があるにもかかわらず、上顎第一大臼歯が1本欠損しているため、治療は困難を極めることが予想されました。
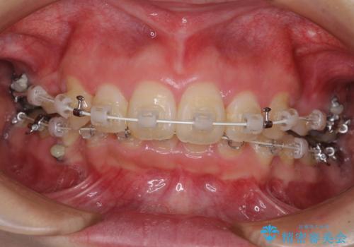
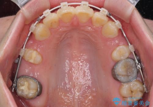
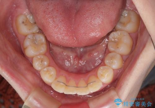
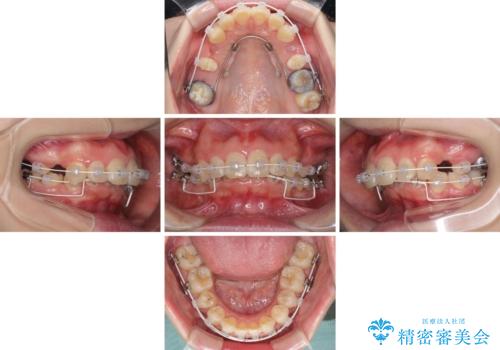
上顎前突を改善するために上顎左右第一小臼歯を抜歯し、補助装置を用いて上顎臼歯が前方に移動しないように工夫しながら、表側のワイヤー装置にて歯列を整えていくこととしました。
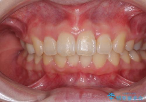
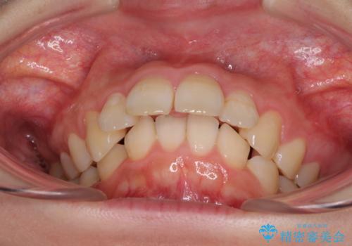
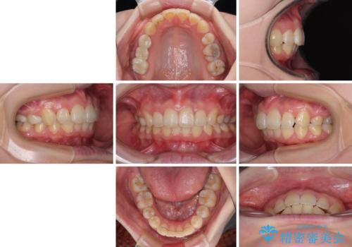
矯正治療後には、上顎欠損部をオールセラミックブリッジにて補綴治療を行うこととしました。
- 費用(概算)
- 治療費の目安: 160万円(税込)費用は治療当時の料金となります
治療について
予想通りに治療は困難を極め、その上途中来院されない時期があったため、非常に長期間に及びましたが、周囲の方々が驚愕するほど口元の印象を改善することができました。
ワイヤー矯正の注意事項(リスク・副作用など)
- 治療中は違和感や痛みが起こることがあります
- 症状により、抜歯が必要な場合があります
- 治療中は歯磨きがしにくくなるため、虫歯や歯周病になりやすくなります
- 矯正治療後の保定が不十分だと後戻り(元の位置に戻ろうとする動き)をします
- 自費診療(保険適用外)となります
セラミック治療の注意事項(リスク・副作用など)
- 天然歯を削ります
- 硬い素材は天然歯を傷つけてしまう場合があります
- かみ合わせや歯ぎしりが強すぎる方はセラミックが割れてしまう可能性があります
- 自費診療(保険適用外治療)となります
当サイトの内容、テキスト、画像等の無断転載、複製、複写、盗用を固く禁じます。



























