症例詳細
Case detail
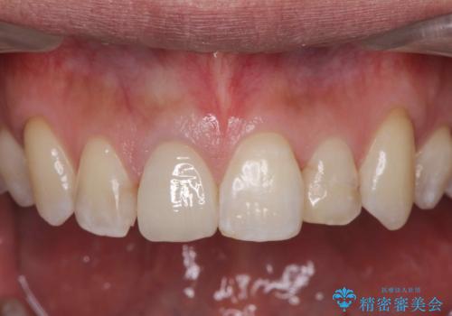
奥に引っ込んでいる前歯を並べたい 矯正治療とセラミック治療
- 患者様
- 30代男性
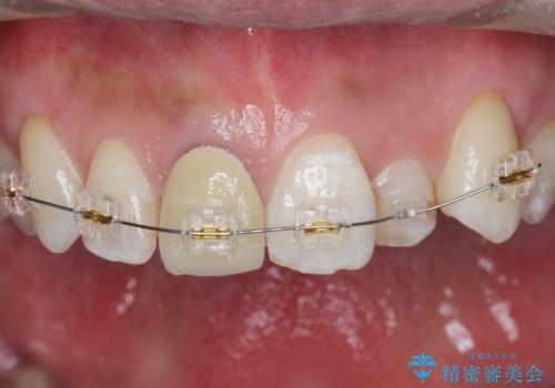
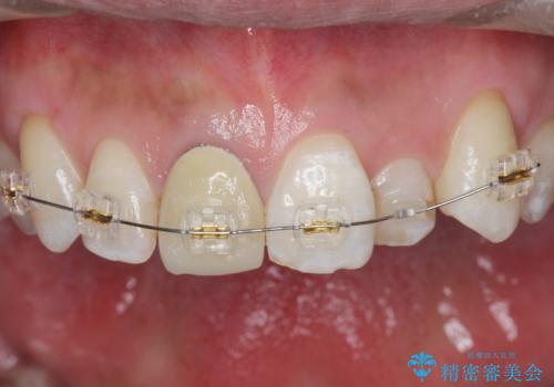
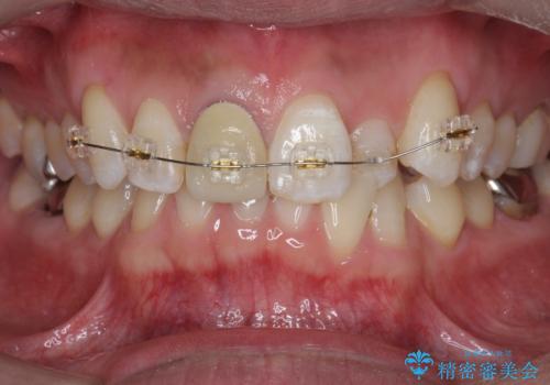
- 矯正装置
- インビザライン +部分ワイヤー矯正
- 治療期間
- 10ヶ月
- 治療回数
- 5-10回
- 治療計画
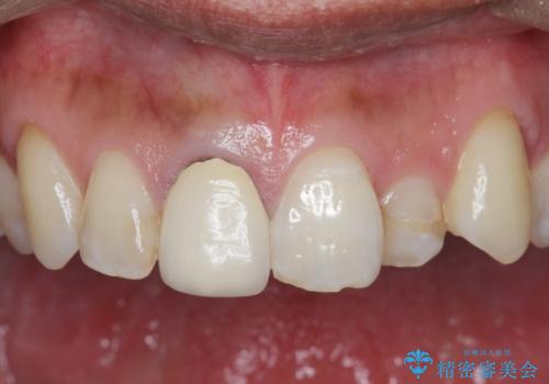
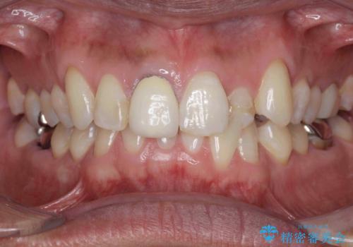
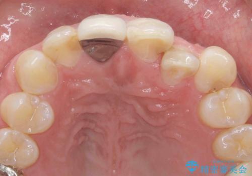
- 奥に引っ込んでいる前歯を矯正治療で並べたい!色の気になる前歯のクラウンをやり替えたい!と希望され来院されました。
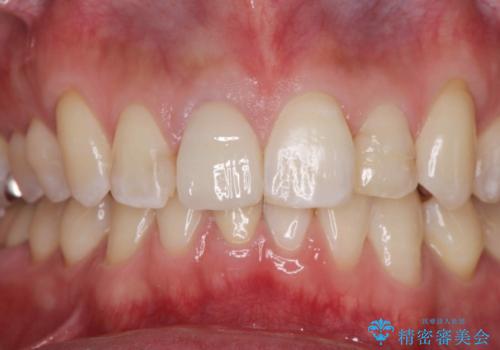
奥に位置している前歯を部分ワイヤー矯正ののちマウスピース矯正インビザラインで並べ、矯正治療後に審美的なジルコニアクラウンを作製していきます。
- 費用(概算)
- 55万円(矯正治療) 13.2万円(仮歯・ジルコニアセラミッククラウン)費用は治療当時の料金となります
治療について
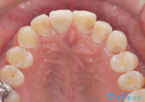
前歯の並びが改善し、色調の気になっていたクラウンの審美性も大きく改善することができました。
当法人では一つの医院で、矯正治療とセラミック治療を行うことができます。
ワイヤー矯正の注意事項(リスク・副作用など)
- 治療中は違和感や痛みが起こることがあります
- 症状により、抜歯が必要な場合があります
- 治療中は歯磨きがしにくくなるため、虫歯や歯周病になりやすくなります
- 矯正治療後の保定が不十分だと後戻り(元の位置に戻ろうとする動き)をします
- 自費診療(保険適用外)となります
セラミック治療の注意事項(リスク・副作用など)
- 天然歯を削ります
- 硬い素材は天然歯を傷つけてしまう場合があります
- かみ合わせや歯ぎしりが強すぎる方はセラミックが割れてしまう可能性があります
- 自費診療(保険適用外治療)となります
当サイトの内容、テキスト、画像等の無断転載、複製、複写、盗用を固く禁じます。














