症例詳細
Case detail
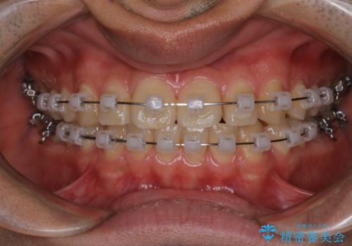
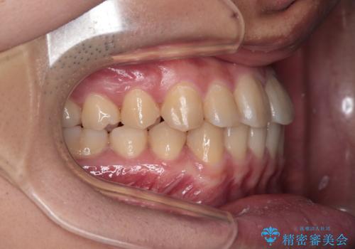
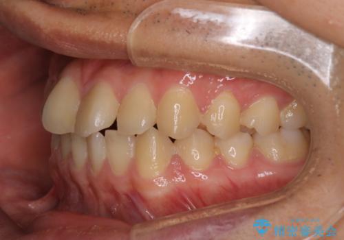
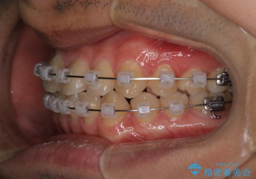
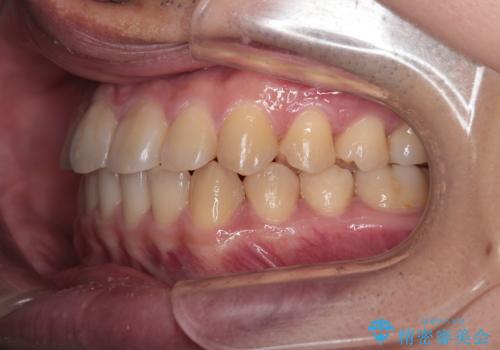
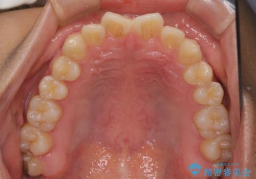
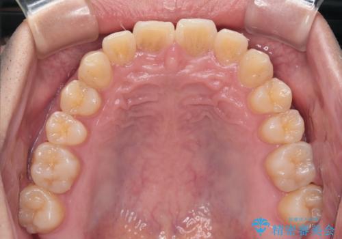
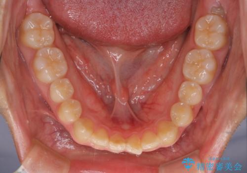
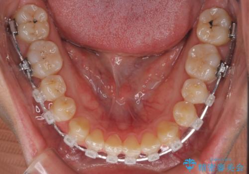
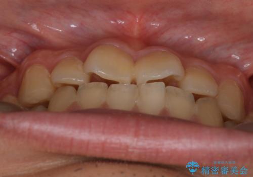
【クリア装置】前歯のがたつきが気になる
治療症例の内容
- 担当医
- 菊地俊介(ドクタープロフィール)
- 患者様
- 20代男性
- 矯正装置
- クリア装置
- 治療期間
- 9ヶ月
- 治療回数
- 5-10回
- 治療計画
- 非抜歯のためインビザラインまたはワイヤー矯正を提案したところワイヤー装置を希望された。今回は非抜歯のためIPR、拡大を用いてスペースを確保し、叢生を改善する計画をしました。
- 費用(概算)
- 82.5円(税込)費用は治療当時の料金となります
治療について
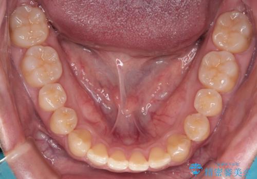
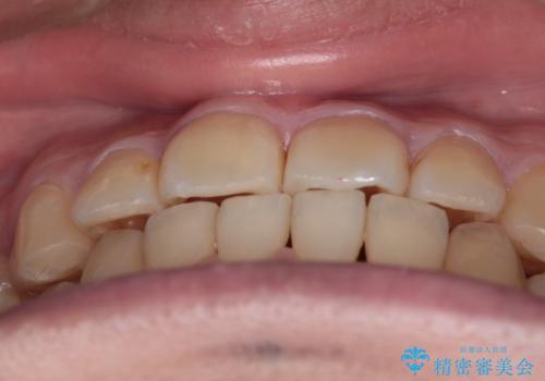
治療期間は1年6ヶ月を予定していましたが、予定よりスムーズに終わりました。最終仕上げとして正中(真ん中)を上下合わせる提案をしましたが、今回は早く装置を外したいという患者さまのご希望により矯正終了としました。
ワイヤー矯正の注意事項(リスク・副作用など)
- 治療中は違和感や痛みが起こることがあります
- 症状により、抜歯が必要な場合があります
- 治療中は歯磨きがしにくくなるため、虫歯や歯周病になりやすくなります
- 矯正治療後の保定が不十分だと後戻り(元の位置に戻ろうとする動き)をします
- 自費診療(保険適用外)となります
当サイトの内容、テキスト、画像等の無断転載、複製、複写、盗用を固く禁じます。



















