症例詳細
Case detail
インビザラインによる矯正治療と奥歯のインプラント治療
- 患者様
- 30代女性
- 矯正装置
- インビザライン
- 治療期間
- 3年6ヶ月
- 治療回数
- 10-30回
- 治療計画
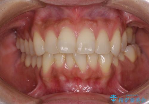
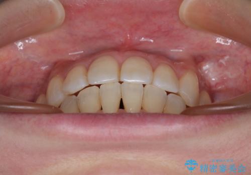
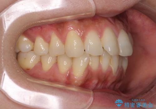
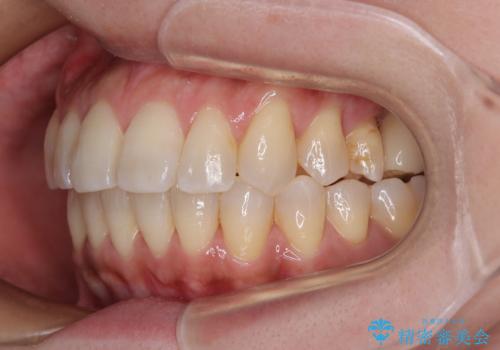
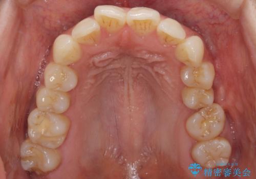
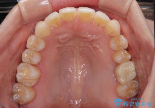
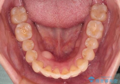
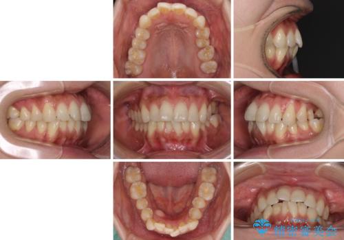
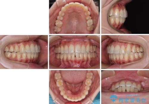
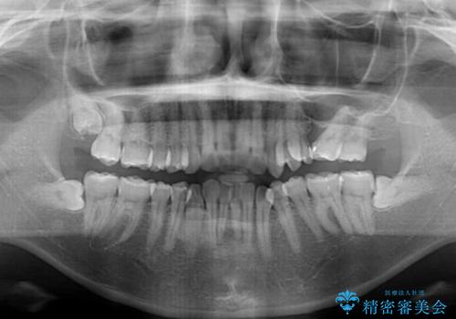
- 全体的なデコボコと、以前抜歯した歯のスペースを閉じた部分が気になるとのことで来院された患者様です。
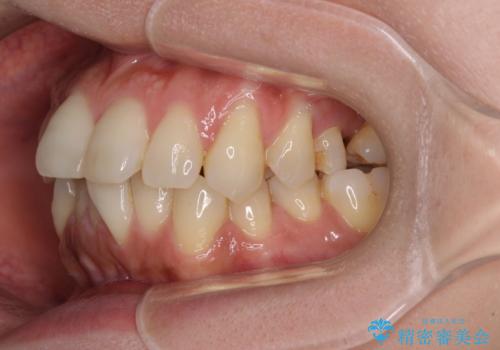
左上第一大臼歯を抜歯した際に、スペースを閉じたそうですが、歯が傾斜してものが挟まって不快とのことでした。
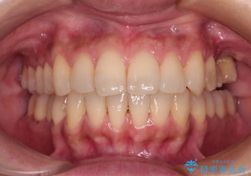
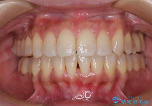
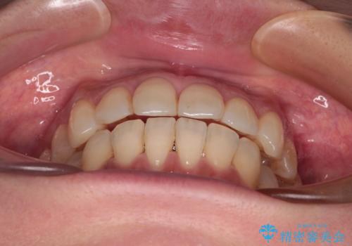
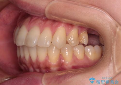
インビザライン矯正で全体の歯列と整えるとともに、左上第一大臼歯部にはスペースを作り、インプラントによる補綴治療を行うこととしました。
- 費用(概算)
- 治療費の目安: 140万円(税込)費用は治療当時の料金となります
治療について
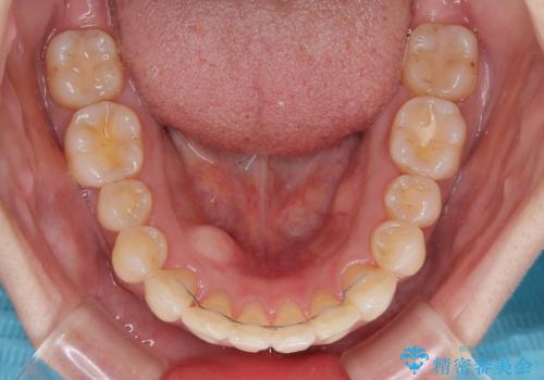
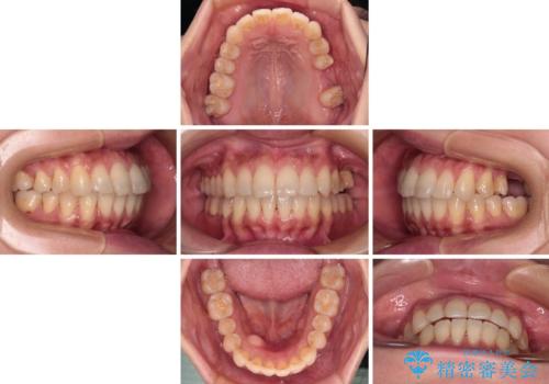
歯の傾斜が改善され、インプラントによるクラウンが装着されたことで、物が挟まることもなくなりました。
マウスピース矯正の注意事項(リスク・副作用など)
- 口腔内・歯並びの状態によっては対応できない場合があります
- マウスピース型矯正装置の長時間装着(1日20時間以上)が必須です
- 治療計画通りに進めるためには、患者様の意志が重要になります
- 矯正治療後の保定が不十分だと後戻り(元の位置に戻ろうとする動き)をします
- 薬機法対象外の矯正歯科装置のため医薬品副作用被害救済制度の対象外となる場合があります
- 自費診療(保険適用外)となります
インプラント治療の注意事項(リスク・副作用など)
- 外科手術のため、術後に痛みや腫れ、違和感を伴います
- メンテナンスを怠ったり喫煙により、お口の中に大きな悪影響を及ぼすインプラント周囲炎等にかかる可能性があります
- 糖尿病、肝硬変、心臓病等の場合、インプラント治療ができない可能性があります
- 高血圧、貧血・不整脈等の場合、インプラント治療後に治癒不全を招く可能性があります
- 自費診療(保険適用外治療)となります
当サイトの内容、テキスト、画像等の無断転載、複製、複写、盗用を固く禁じます。



























