症例詳細
Case detail
虫歯・噛み合わせ・インプラント、全顎総合治療
- 患者様
 - 40代女性
 
- 治療期間
 - 2年
 
- 治療回数
 - 10-30回
 
- 治療計画
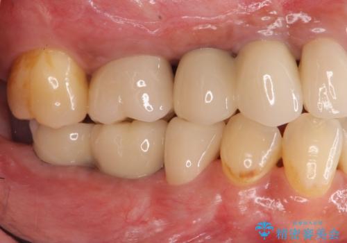
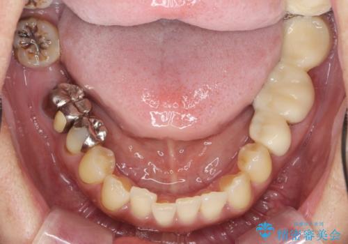
 - 「歯の見た目が悪く、奥歯も噛みづらい、しっかりと全体的に治療したい。」と全顎的な治療を希望され来院されました。
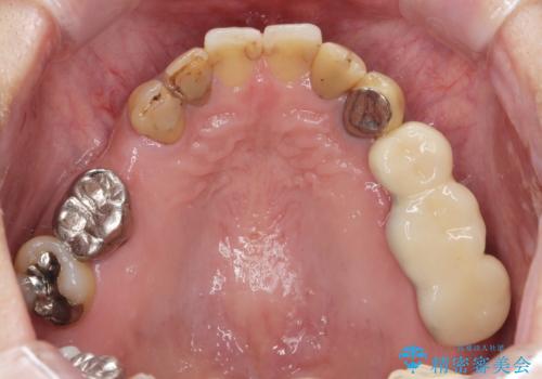
虫歯・感染根管・予後不良歯・欠損・不正咬合、複合的な問題を一つづつ丁寧に解決し、将来に渡り不安のない口腔内環境にすべく全体的な総合治療を行っていきます。
 
- 費用(概算)
 - 440万円費用は治療当時の料金となります
 
治療について
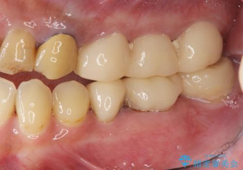
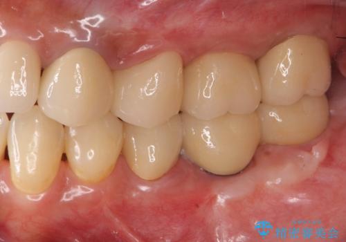
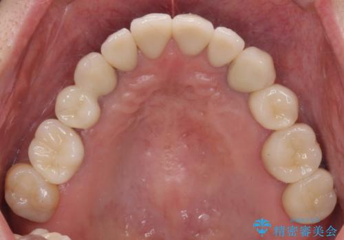
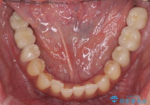
安定する噛み合わせの位置を探りながらの治療となりました。
最終的に非常に安定した咬合関係を構築できたので、しっかりとどんな食事でも楽しめると同時に、清掃性も高く清潔な口腔内環境を確立できました。
外科処置の注意事項(リスク・副作用など)
- 外科手術のため、術後に出血、痛みや腫れ、違和感を伴います
 - 口腔内の状態によっては適応できないことがあります
 
インプラント治療の注意事項(リスク・副作用など)
- 外科手術のため、術後に痛みや腫れ、違和感を伴います
 - メンテナンスを怠ったり喫煙により、お口の中に大きな悪影響を及ぼすインプラント周囲炎等にかかる可能性があります
 - 糖尿病、肝硬変、心臓病等の場合、インプラント治療ができない可能性があります
 - 高血圧、貧血・不整脈等の場合、インプラント治療後に治癒不全を招く可能性があります
 - 自費診療(保険適用外治療)となります
 
セラミック治療の注意事項(リスク・副作用など)
- 天然歯を削ります
 - 硬い素材は天然歯を傷つけてしまう場合があります
 - かみ合わせや歯ぎしりが強すぎる方はセラミックが割れてしまう可能性があります
 - 自費診療(保険適用外治療)となります
 
当サイトの内容、テキスト、画像等の無断転載、複製、複写、盗用を固く禁じます。

                      
                                                          











