症例詳細
Case detail
割れてしまった歯と深いむし歯 部分矯正と外科処置で安定したブリッジ治療
治療症例の内容
- 患者様
- 50代女性
- 治療期間
- 6ヶ月
- 治療回数
- 5-10回
- 治療計画
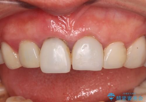
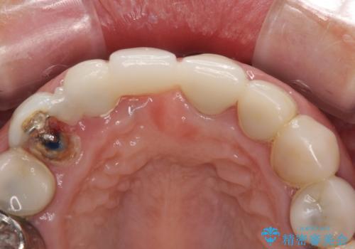
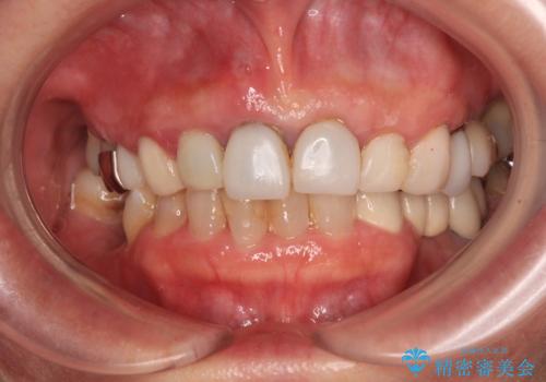
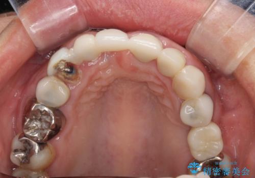
- 前歯が土台ごと外れてしまうとのことで来院された患者様です。
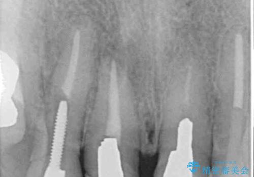
問題の歯は、歯根まで破折している状態で、抜歯が必要と判断されました。
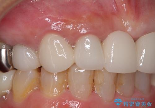
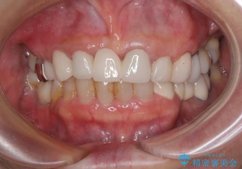
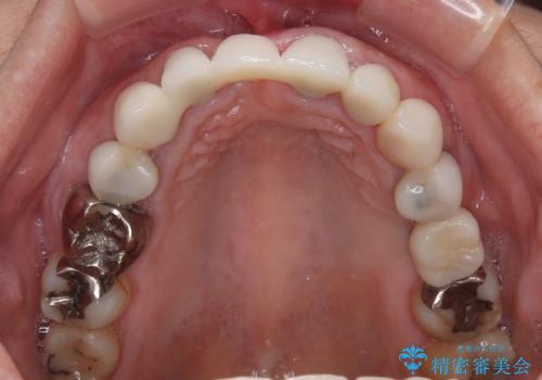
周辺の歯は20年以上前に装着したクラウンで、色合いや形態が気になっているとのことで、オールセラミックブリッジにて補綴治療を行うこととしました。
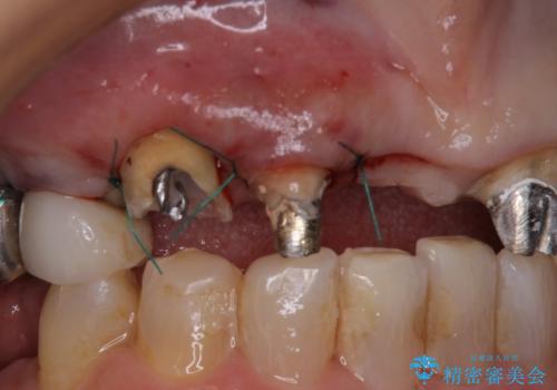
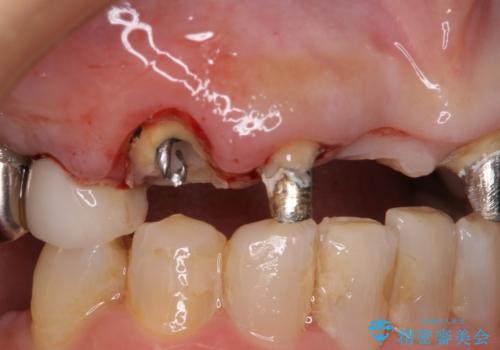
ところが、土台となる歯は、十分な維持力が得られないほど歯ぐきの中に埋もれており、歯ぐきも腫れやすい状況でした。
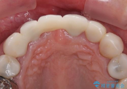
まずは土台の歯を引っぱり出し、外科処置により歯肉の状態を十分に整えた上で、オールセラミッククラウンにて補綴することとしました。
- 費用(概算)
- 治療費の目安: 70万円(税込)費用は治療当時の料金となります
治療について
元々の土台は歯肉の中に埋もれており、歯肉が著しく腫れている状態だったため、歯を引っぱり出すこととしました。引っぱる期間は2ヶ月ほどで済み、その後歯周外科処置を行ったことで、土台周りの歯肉は腫脹のない健全な状態へと改善されました。
セラミック治療の注意事項(リスク・副作用など)
- 天然歯を削ります
- 硬い素材は天然歯を傷つけてしまう場合があります
- かみ合わせや歯ぎしりが強すぎる方はセラミックが割れてしまう可能性があります
- 自費診療(保険適用外治療)となります
外科処置の注意事項(リスク・副作用など)
- 外科手術のため、術後に出血、痛みや腫れ、違和感を伴います
- 口腔内の状態によっては適応できないことがあります
当サイトの内容、テキスト、画像等の無断転載、複製、複写、盗用を固く禁じます。

















