症例詳細
Case detail
あきらめないで!!虫歯でボロボロでも大丈夫! 非抜歯矯正と虫歯、インプラント治療で見違える歯並びに。
- 患者様
- 20代女性
- 治療期間
- 5年3ヶ月
- 治療回数
- 30回以上
- 治療計画
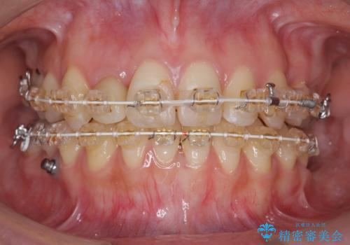
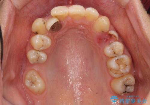
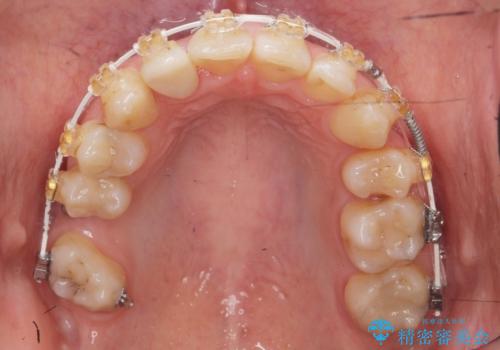
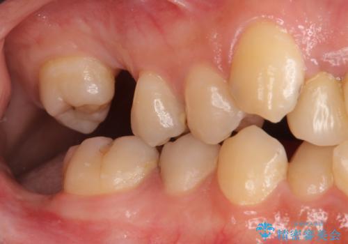
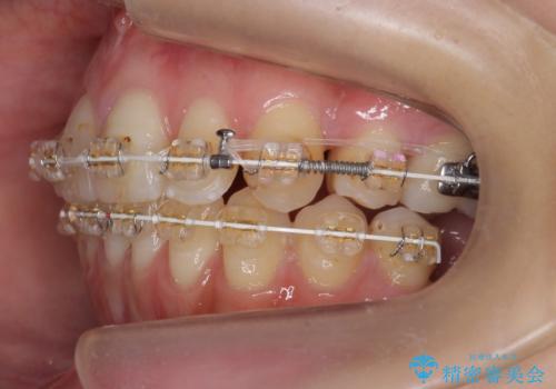
- 矯正治療を希望して来院。
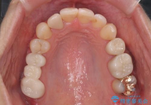
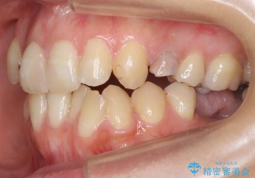
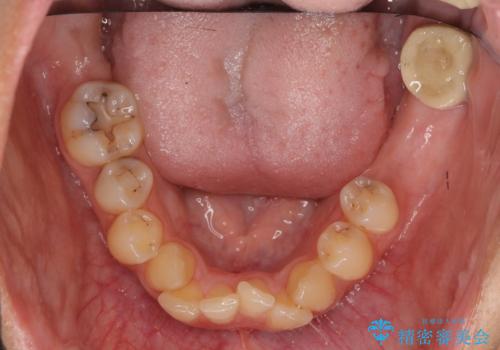
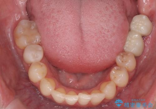
虫歯が多数、また奥歯も欠損してしまっていました。
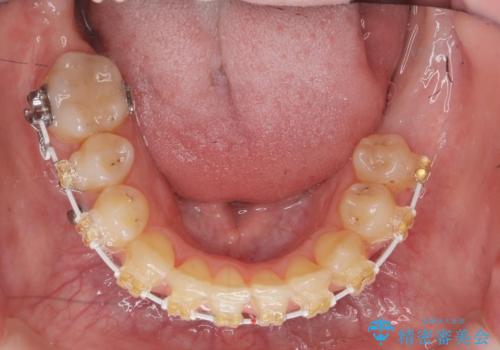
左下の親知らず、左上の小臼歯が残根状態で一本抜いたほかは抜かずに矯正しました。
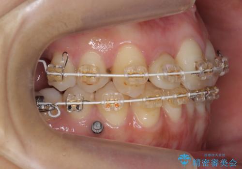
①保存不可能な歯は抜歯しそのすき間を矯正で閉じる
②右上の親知らずは活かしてブリッジの支台にする
という、予算がかからないように歯を保存する治療計画を立てました。
予算的に右下の一番奥のインプラントは難しかったため、できる限り対応しました。
- 費用(概算)
- 286万円費用は治療当時の料金となります
治療について
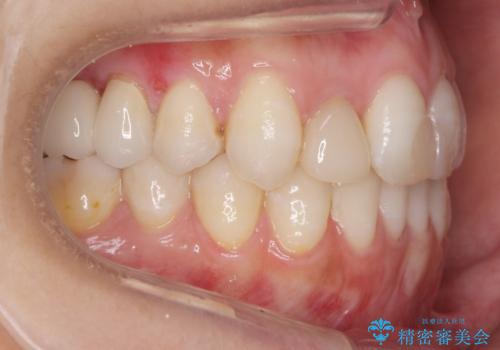
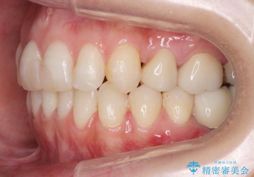
途中矯正後に妊娠出産、育児等で2年以上中断を経た後虫歯治療の続きを行いました。最終的に治療完了まで行い状態は安定しています。
セラミック治療の注意事項(リスク・副作用など)
- 天然歯を削ります
- 硬い素材は天然歯を傷つけてしまう場合があります
- かみ合わせや歯ぎしりが強すぎる方はセラミックが割れてしまう可能性があります
- 自費診療(保険適用外治療)となります
ワイヤー矯正の注意事項(リスク・副作用など)
- 治療中は違和感や痛みが起こることがあります
- 症状により、抜歯が必要な場合があります
- 治療中は歯磨きがしにくくなるため、虫歯や歯周病になりやすくなります
- 矯正治療後の保定が不十分だと後戻り(元の位置に戻ろうとする動き)をします
- 自費診療(保険適用外)となります
インプラント治療の注意事項(リスク・副作用など)
- 外科手術のため、術後に痛みや腫れ、違和感を伴います
- メンテナンスを怠ったり喫煙により、お口の中に大きな悪影響を及ぼすインプラント周囲炎等にかかる可能性があります
- 糖尿病、肝硬変、心臓病等の場合、インプラント治療ができない可能性があります
- 高血圧、貧血・不整脈等の場合、インプラント治療後に治癒不全を招く可能性があります
- 自費診療(保険適用外治療)となります
当サイトの内容、テキスト、画像等の無断転載、複製、複写、盗用を固く禁じます。



















