症例詳細
Case detail
何度通院しても痛みが引かない 転医による根管治療
治療症例の内容
- 担当医
- 藤巻太一朗(ドクタープロフィール)
- 患者様
- 40代男性
- 治療期間
- 6年4ヶ月
- 治療回数
- 5-10回
- 治療計画
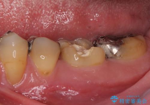
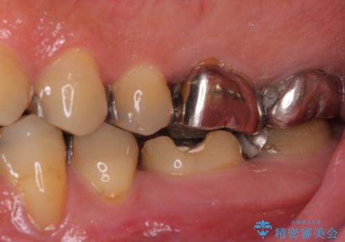
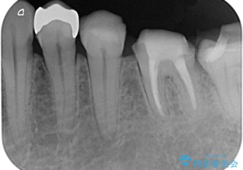
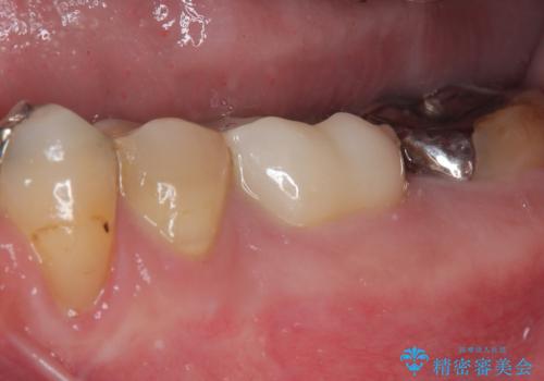
- 近医にてむし歯治療として根管治療を受けるも、痛みが全く改善しないとのことで来院された患者様です。
痛みが継続するため、「根管治療」と検索したところ、「ラバーダム」の重要性を知るところとなったようです。
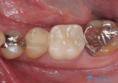
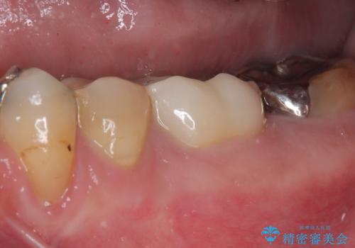
根管治療を実施した後に、フルジルコニアクラウンにて補綴することとしました。
- 費用(概算)
- 治療費の目安: 48万円(税込)費用は治療当時の料金となります
治療について
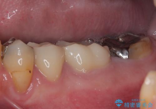
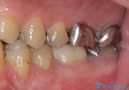
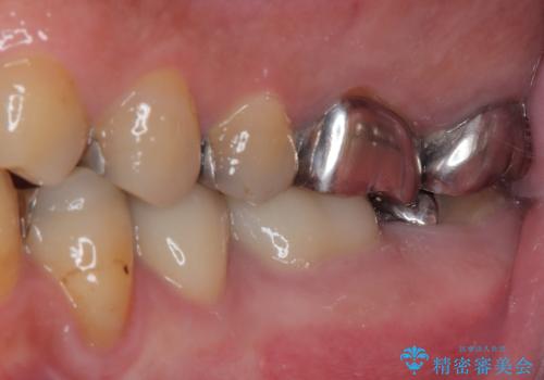
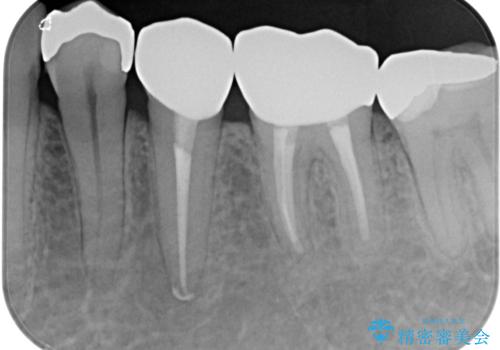
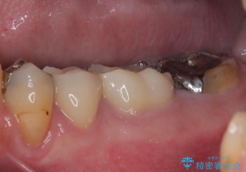
大臼歯の治療後に海外赴任され、数年ぶりに帰国されました。
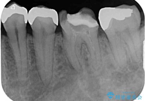
奥歯に痛みがあるとのことで診察を行ったところ、海外(アメリカ)にて処置をした手前の歯が既に失活していることが分かりました。なお、治療を行った大臼歯はレントゲン写真上の治癒が認められました。
症状のあった歯に対しても根管治療を行い、同様に補綴治療を行いました。
根管治療の注意事項(リスク・副作用など)
- 根管治療により類似の全ての症例の問題が解決するわけではなく、症例はあくまでも一例です
- 根管治療により痛みや腫れがひかない事や、術後に痛みや腫れが生じる事、治療によるファイル破折やパーフォレーションなどの偶発症、術後の歯根破折を生じる可能性もあります
- 自費診療(保険適用外)となります
セラミック治療の注意事項(リスク・副作用など)
- 天然歯を削ります
- 硬い素材は天然歯を傷つけてしまう場合があります
- かみ合わせや歯ぎしりが強すぎる方はセラミックが割れてしまう可能性があります
- 自費診療(保険適用外治療)となります
当サイトの内容、テキスト、画像等の無断転載、複製、複写、盗用を固く禁じます。



















