症例詳細
Case detail
詰め物の外れてしまった奥歯 部分矯正で歯列を整えてから補綴治療
治療症例の内容
- 診療科目
- 治療カテゴリ
- 担当医
- 藤巻太一朗(ドクタープロフィール)
- 患者様
- 40代男性
- 治療期間
- 6ヶ月
- 治療回数
- 5-10回
- 治療計画
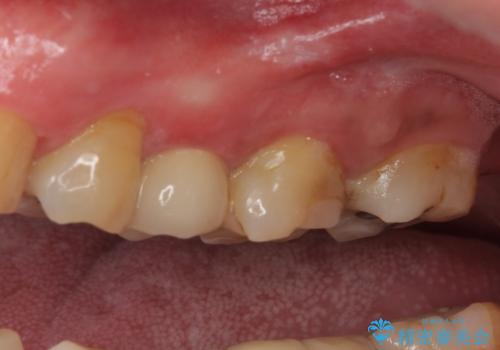
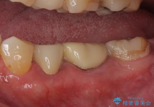
- 奥歯の詰め物が外れてしまったとのことで来院された患者様です。
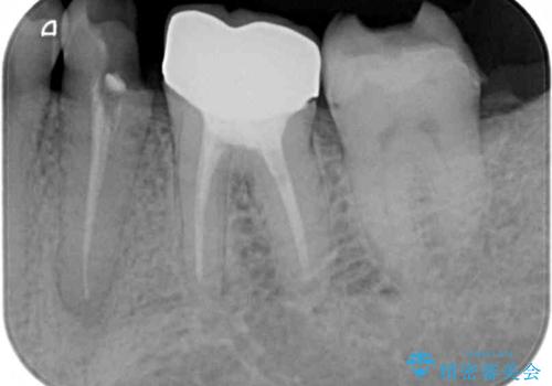
レントゲン写真より、既に根管治療がされている歯であり、根尖部に骨透過像が認められました。
特に症状はありませんでしたが、根管治療を希望されたため、まずは根管治療を行うこととしました。
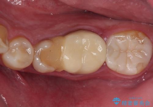
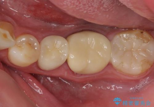
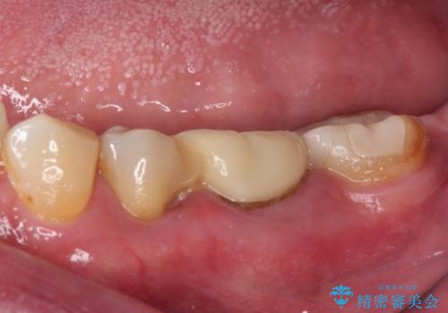
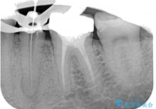
根管治療の際に、咬み合う上顎の銀歯が内側に入り込んでいることも気になるとのことであったため、部分矯正を行い、その後上下を同時に補綴治療することとしました。
- 費用(概算)
- 治療費の目安: 60万円(税込)費用は治療当時の料金となります
治療について
部分矯正を行うと咬み合わせが定まらないことがありますが、今回は矯正治療後に上下補綴治療を行ったため、安定した咬み合わせにて仕上げることができました。
ワイヤー矯正の注意事項(リスク・副作用など)
- 治療中は違和感や痛みが起こることがあります
- 症状により、抜歯が必要な場合があります
- 治療中は歯磨きがしにくくなるため、虫歯や歯周病になりやすくなります
- 矯正治療後の保定が不十分だと後戻り(元の位置に戻ろうとする動き)をします
- 自費診療(保険適用外)となります
セラミック治療の注意事項(リスク・副作用など)
- 天然歯を削ります
- 硬い素材は天然歯を傷つけてしまう場合があります
- かみ合わせや歯ぎしりが強すぎる方はセラミックが割れてしまう可能性があります
- 自費診療(保険適用外治療)となります
当サイトの内容、テキスト、画像等の無断転載、複製、複写、盗用を固く禁じます。
















