症例詳細
Case detail
仮歯が汚くて転院 前歯のオールセラミッククラウン治療
治療症例の内容
- 診療科目
- 治療カテゴリ
- 担当医
- 藤巻太一朗(ドクタープロフィール)
- 患者様
- 50代男性
- 治療期間
- 2ヶ月
- 治療回数
- 2-5回
- 治療計画
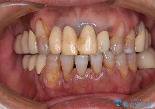
- 治療中の医院で装着した仮歯が汚れていて恥ずかしいとのことで来院された患者様です。
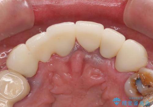
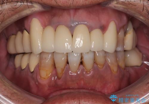
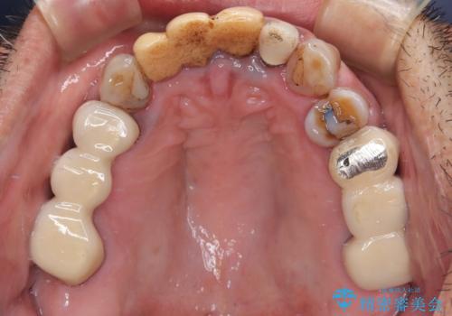
仮歯が不適合で歯肉が腫脹していたため、しっかりと調整した新しい仮歯にして腫れを改善した上で、オールセラミッククラウンにて補綴することとしました。
仮歯の隣の歯も詰め物の範囲が広く、仮歯をセラミックに置き換えても統一感のない口元となってしまうため、相談の結果、前歯6本をオールセラミッククラウンにて補綴治療を行うこととしました。
- 費用(概算)
- 治療費の目安: 80万円(税込)費用は治療当時の料金となります
治療について
仮歯での期間が長かったとのことでしたが、当院での治療開始後はあっという間に綺麗な前歯に仕上がり、患者様には大変満足していただけました。
セラミック治療の注意事項(リスク・副作用など)
- 天然歯を削ります
- 硬い素材は天然歯を傷つけてしまう場合があります
- かみ合わせや歯ぎしりが強すぎる方はセラミックが割れてしまう可能性があります
- 自費診療(保険適用外治療)となります
当サイトの内容、テキスト、画像等の無断転載、複製、複写、盗用を固く禁じます。










