症例詳細
Case detail
八重歯と突出感を改善 ワイヤー装置での矯正治療
治療症例の内容
- 患者様
- 40代男性
- 矯正装置
- 審美装置
- 治療期間
- 2年6ヶ月
- 治療回数
- 30回以上
- 治療計画
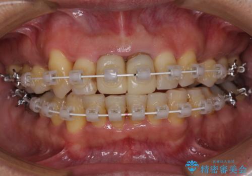
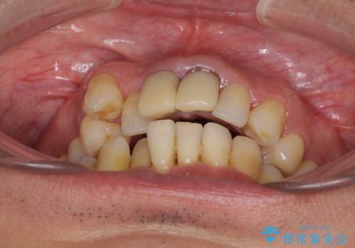
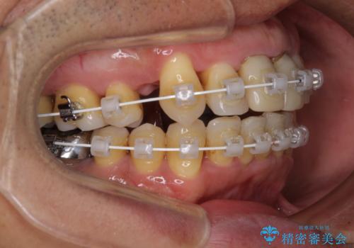
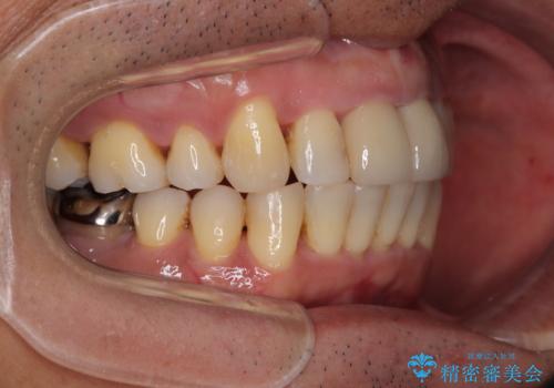
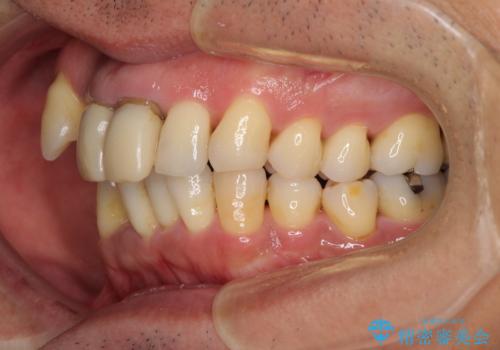
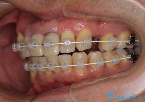
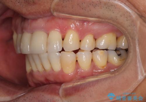
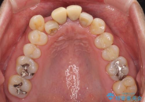
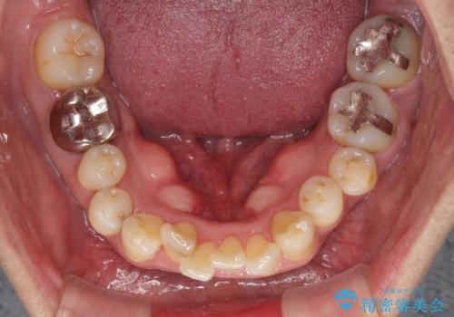
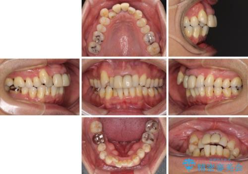
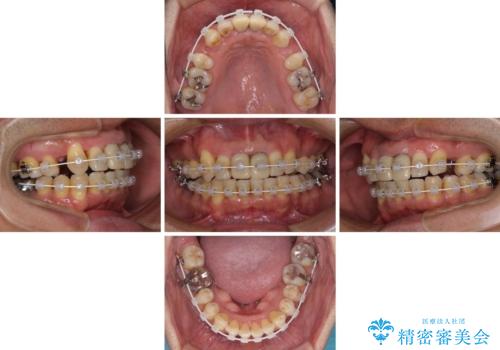
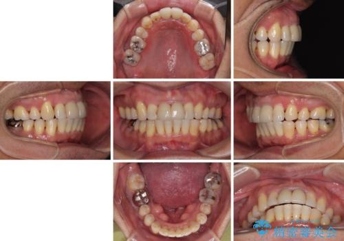
- 八重歯を気にして来院された患者様です。
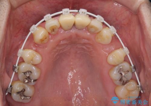
上顎前歯の突出感と右上の八重歯を気にされていたので、上顎左右の第一小臼歯2本を抜歯し、ワイヤー装置にて矯正治療を行うこととしました。
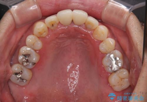
上顎前歯に装着されていた保険診療の前歯は見た目が気になるとのことであったので、矯正治療後にオールセラミッククラウンにて補綴治療を行うこととしました。
- 費用(概算)
- 治療費の目安: 130万円(税込)費用は治療当時の料金となります
治療について
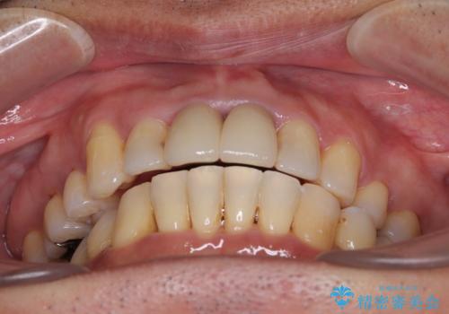
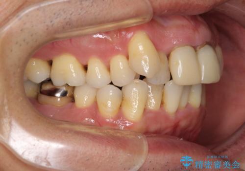
食いしばりにより奥歯がすり減っており、咬み合わせが定まるまで時間がかかりましたが、整った口もに仕上がりました。
ワイヤー矯正の注意事項(リスク・副作用など)
- 治療中は違和感や痛みが起こることがあります
- 症状により、抜歯が必要な場合があります
- 治療中は歯磨きがしにくくなるため、虫歯や歯周病になりやすくなります
- 矯正治療後の保定が不十分だと後戻り(元の位置に戻ろうとする動き)をします
- 自費診療(保険適用外)となります
セラミック治療の注意事項(リスク・副作用など)
- 天然歯を削ります
- 硬い素材は天然歯を傷つけてしまう場合があります
- かみ合わせや歯ぎしりが強すぎる方はセラミックが割れてしまう可能性があります
- 自費診療(保険適用外治療)となります
当サイトの内容、テキスト、画像等の無断転載、複製、複写、盗用を固く禁じます。


























