症例詳細
Case detail
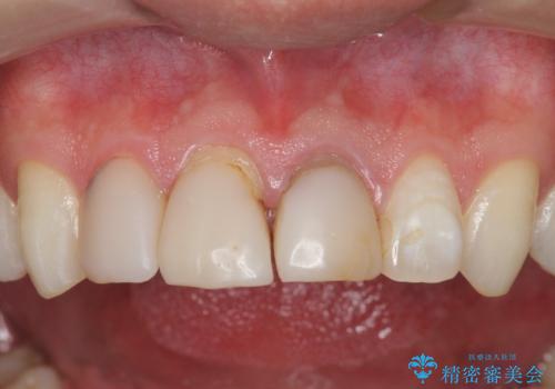
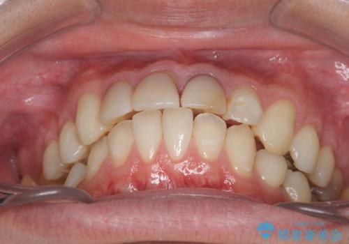
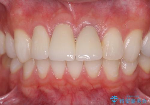
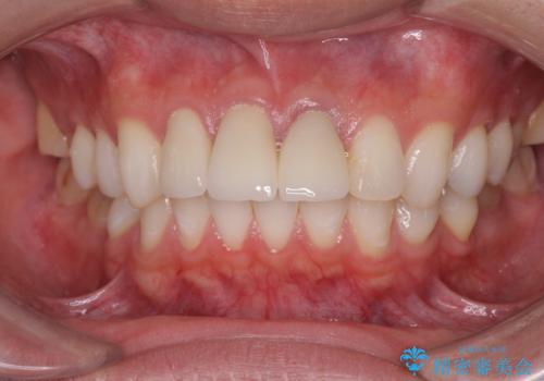
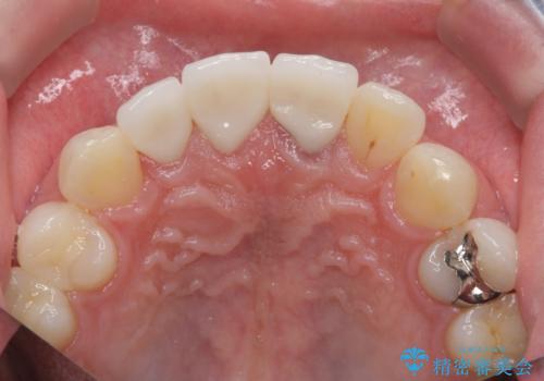
前歯の変色 審美性の改善
治療症例の内容
- 患者様
- 20代男性
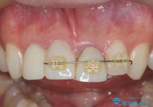
- 矯正装置
- 部分ワイヤー矯正
- 治療期間
- 10ヶ月
- 治療回数
- 5-10回
- 治療計画
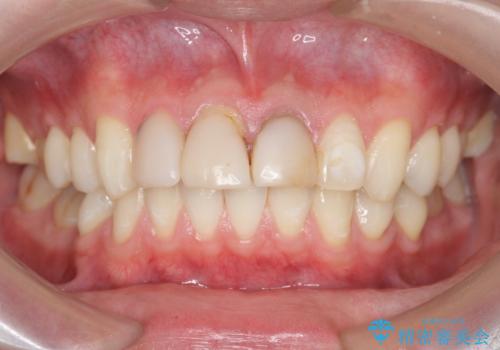
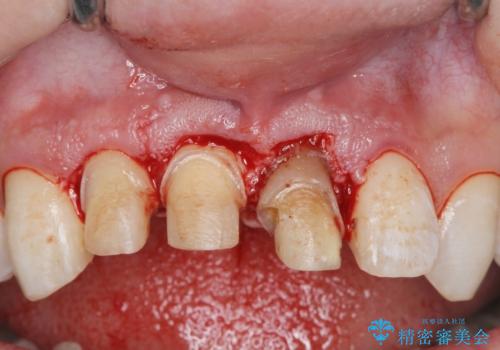
- 前歯の変色や形態を含む、見た目を改善したいと希望され来院されました。
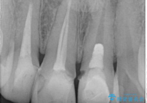
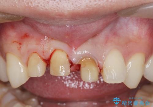
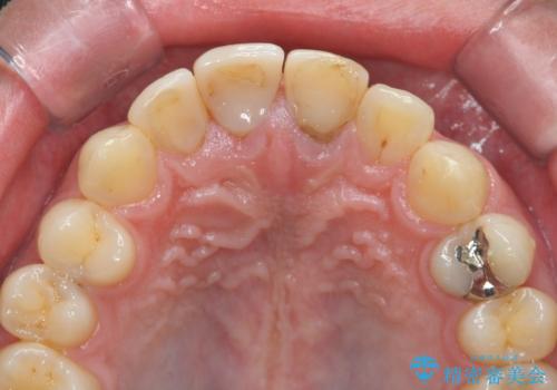
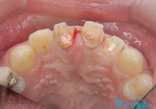
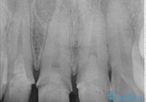
視診・X線検査・歯周組織検査より下記のような問題が列挙され、長期的な予後を見込むために一つづつ問題の解決を計ります。
・不十分な根管治療 →マイクロスコープを用いる精密根管医療
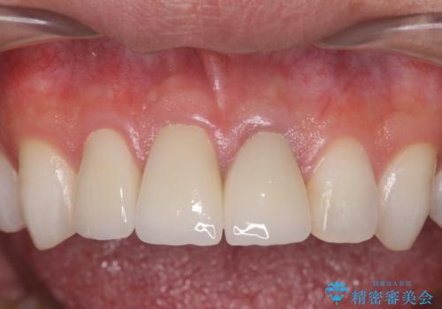
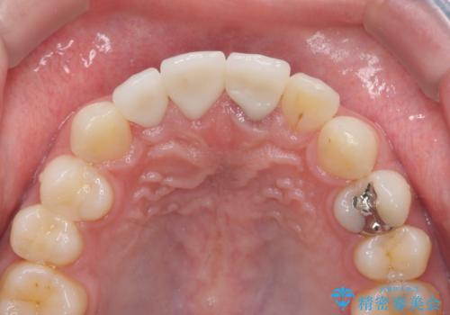
・歯の変色 →ジルコニアクラウンの製作
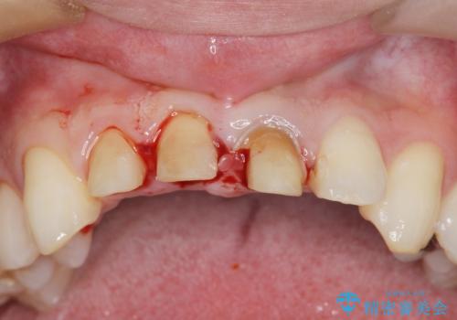
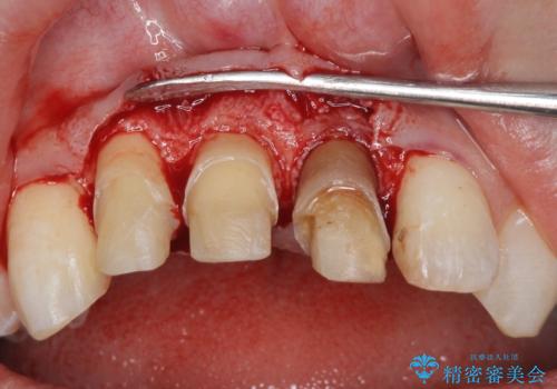
・歯肉縁下カリエス →部分矯正による歯の挺出・歯周外科
- 費用(概算)
- 50.6万円(ジルコニアクラウン×3・仮歯×3・歯の挺出&歯周外科)費用は治療当時の料金となります
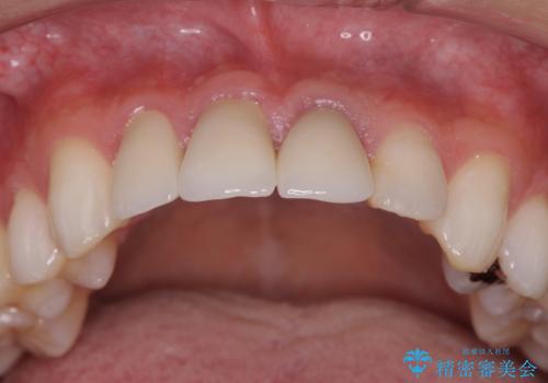
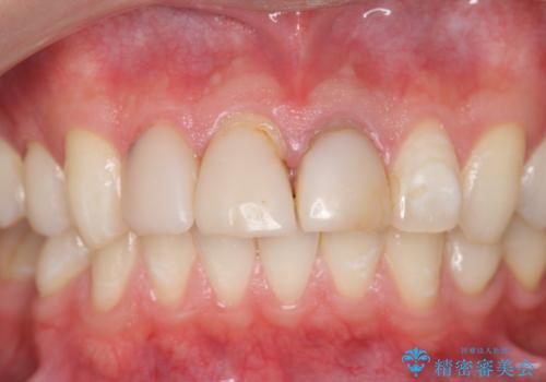
治療について
歯の挺出を行ったことで歯ぐきの腫れも改善され、安定した歯周環境下でのセラミッククラウン治療を行うことができました。
外科処置の注意事項(リスク・副作用など)
- 外科手術のため、術後に出血、痛みや腫れ、違和感を伴います
- 口腔内の状態によっては適応できないことがあります
セラミック治療の注意事項(リスク・副作用など)
- 天然歯を削ります
- 硬い素材は天然歯を傷つけてしまう場合があります
- かみ合わせや歯ぎしりが強すぎる方はセラミックが割れてしまう可能性があります
- 自費診療(保険適用外治療)となります
当サイトの内容、テキスト、画像等の無断転載、複製、複写、盗用を固く禁じます。































