症例詳細
Case detail
楽してデコボコを治したい ワイヤー矯正治療
治療症例の内容
- 担当医
- 藤巻太一朗(ドクタープロフィール)
- 患者様
- 30代男性
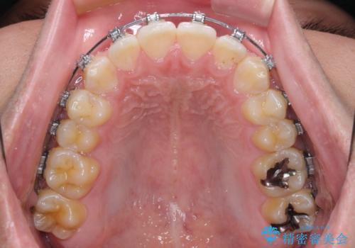
- 矯正装置
- メタルブラケット
- 治療期間
- 1年
- 治療回数
- 10-30回
- 治療計画
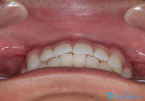
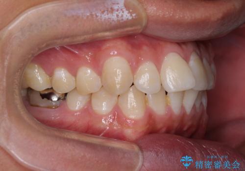
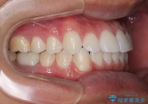
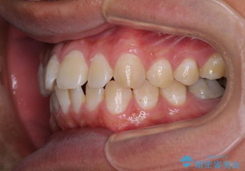
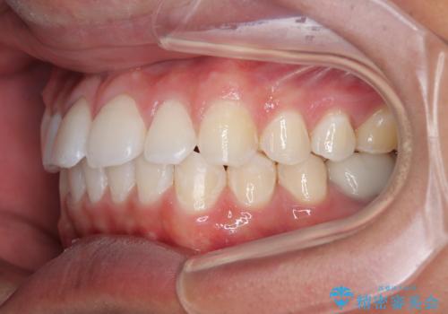
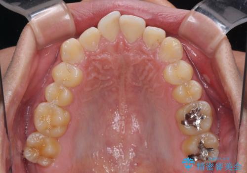
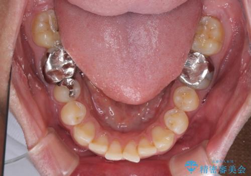
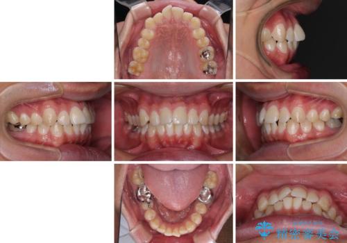
- 前歯のデコボコを気にして来院された患者様です。
ワイヤー装置でもマウスピースでも対応可能でしたが、自己管理の煩わしさを気にされ、ワイヤー装置にて矯正治療を行うこととしました。
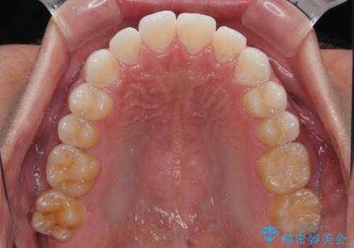
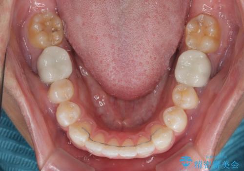
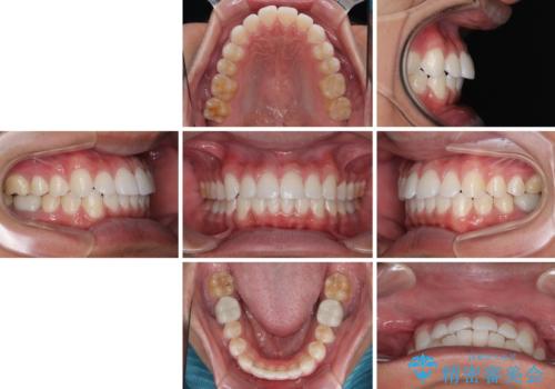
矯正治療後は、奥歯の銀歯をセラミッククラウンにて補綴治療を行うこととしました。
- 費用(概算)
- 治療費の目安: 120万円(税込)費用は治療当時の料金となります
治療について
あっという間に歯列が整い、目立っていた銀歯もなくなり、清潔感のある口元になりました。
ワイヤー矯正の注意事項(リスク・副作用など)
- 治療中は違和感や痛みが起こることがあります
- 症状により、抜歯が必要な場合があります
- 治療中は歯磨きがしにくくなるため、虫歯や歯周病になりやすくなります
- 矯正治療後の保定が不十分だと後戻り(元の位置に戻ろうとする動き)をします
- 自費診療(保険適用外)となります
セラミック治療の注意事項(リスク・副作用など)
- 天然歯を削ります
- 硬い素材は天然歯を傷つけてしまう場合があります
- かみ合わせや歯ぎしりが強すぎる方はセラミックが割れてしまう可能性があります
- 自費診療(保険適用外治療)となります
当サイトの内容、テキスト、画像等の無断転載、複製、複写、盗用を固く禁じます。


























