症例詳細
Case detail
開咬と前突を改善 ワイヤー装置での抜歯矯正
治療症例の内容
- 担当医
- 藤巻太一朗(ドクタープロフィール)
- 患者様
- 30代女性
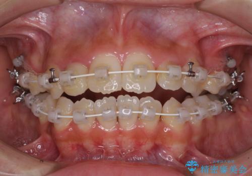
- 矯正装置
- 審美装置
- 治療期間
- 5年
- 治療回数
- 30回以上
- 治療計画
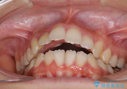
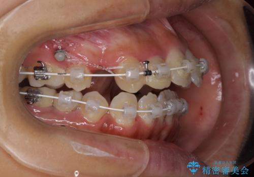
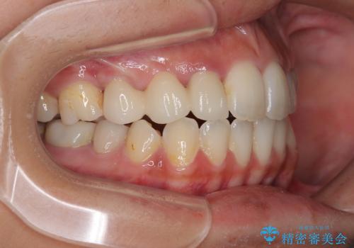
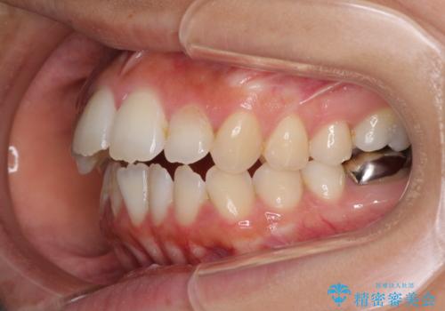
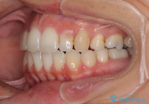
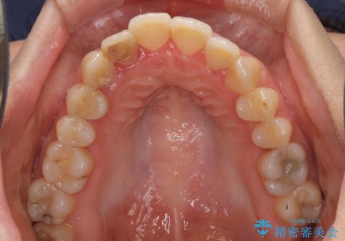
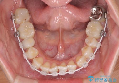
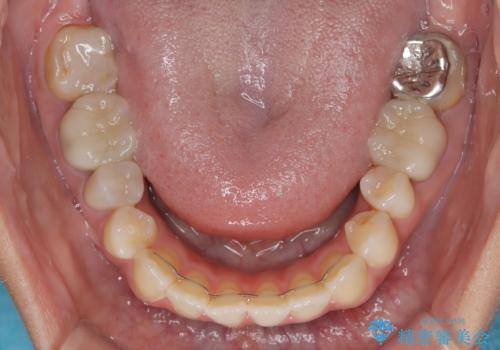
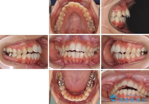
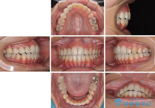
- 口元の突出感と開咬を気にして来院された患者様です。
口元の突出感を改善するため、第一小臼歯を抜歯して口元を引っ込めることとしました。
一般的には上下左右の第一小臼歯4本を抜歯しますが、下顎に対して上顎が前方に位置しているため、まずは上顎小臼歯2本を抜歯し、治療経過を見て下顎小臼歯を抜歯するかどうかを決めていくこととしました。
- 費用(概算)
- 治療費の目安: 180万円(税込)費用は治療当時の料金となります
治療について
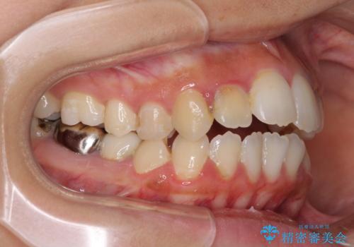
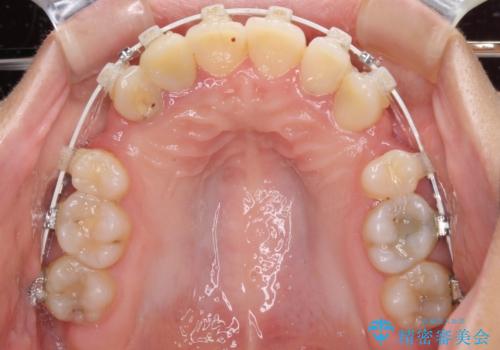
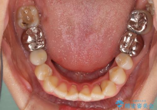
元々むし歯の処置歯が多く、神経を取り除いている歯が多くありましたが、どうやら右上の前歯と小臼歯は外傷により神経を失った可能性があり、抜歯したスペース前後の歯が全く動かない状態でした。
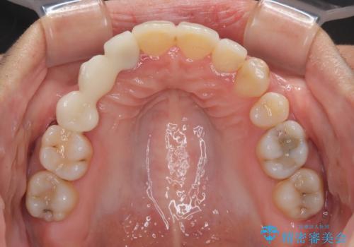
結果として下顎の小臼歯は抜歯せず、右上の抜歯スペースはむし歯処置を兼ねてオールセラミックブリッジにて補綴治療を行うこととしました。
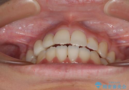
動かない歯での停滞や、出産と子育てなどにより治療期間は長期化しましたが、整った歯列にて仕上げることができました。
ワイヤー矯正の注意事項(リスク・副作用など)
- 治療中は違和感や痛みが起こることがあります
- 症状により、抜歯が必要な場合があります
- 治療中は歯磨きがしにくくなるため、虫歯や歯周病になりやすくなります
- 矯正治療後の保定が不十分だと後戻り(元の位置に戻ろうとする動き)をします
- 自費診療(保険適用外)となります
セラミック治療の注意事項(リスク・副作用など)
- 天然歯を削ります
- 硬い素材は天然歯を傷つけてしまう場合があります
- かみ合わせや歯ぎしりが強すぎる方はセラミックが割れてしまう可能性があります
- 自費診療(保険適用外治療)となります
当サイトの内容、テキスト、画像等の無断転載、複製、複写、盗用を固く禁じます。


























