症例詳細
Case detail
歯が割れているといわれた 奥歯にインプラントをしていきたい 全体的な治療
- 患者様
- 50代男性
- 治療期間
- 2年11ヶ月
- 治療回数
- 30回以上
- 治療計画
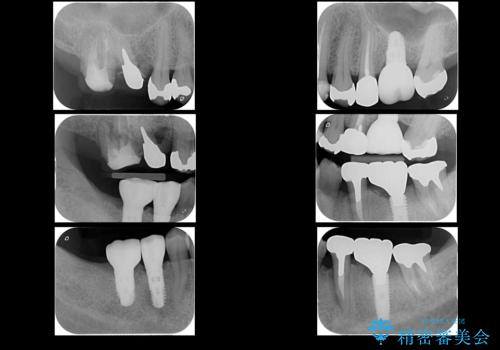
- 他院で奥歯が割れている為抜歯が必要と言われたとのことで来院。
右上56および左下5は割れていたためやむなく抜歯しインプラントにしていきました。
左下7(一番奥の歯)は抜歯をせずに済みましたが、高さがないため上の歯を矯正治療で沈め、また、歯ぐきの手術を合わせて行いクラウン(被せ物)をしっかり入れる処置をおこなっています。
- 費用(概算)
- 290万円(税込み)費用は治療当時の料金となります
治療について
治療後は、歯が割れないようにナイトガードをお渡ししています。
セラミック治療の注意事項(リスク・副作用など)
- 天然歯を削ります
- 硬い素材は天然歯を傷つけてしまう場合があります
- かみ合わせや歯ぎしりが強すぎる方はセラミックが割れてしまう可能性があります
- 自費診療(保険適用外治療)となります
インプラント治療の注意事項(リスク・副作用など)
- 外科手術のため、術後に痛みや腫れ、違和感を伴います
- メンテナンスを怠ったり喫煙により、お口の中に大きな悪影響を及ぼすインプラント周囲炎等にかかる可能性があります
- 糖尿病、肝硬変、心臓病等の場合、インプラント治療ができない可能性があります
- 高血圧、貧血・不整脈等の場合、インプラント治療後に治癒不全を招く可能性があります
- 自費診療(保険適用外治療)となります
PGA(ゴールド)クラウン、インレーの注意事項(リスク・副作用など)
- インレーおよびクラウンは脱離するリスクがあります
- 形成量はセラミックより少ないですが、歯の形成、修復後に歯に症状が出ることがあります
- 自費診療(保険適用外治療)となります
当サイトの内容、テキスト、画像等の無断転載、複製、複写、盗用を固く禁じます。










