症例詳細
Case detail
アライナー矯正+インプラント治療で前歯を綺麗に並べました
治療症例の内容
- 患者様
- 60代女性
- 矯正装置
- インビザライン(ワイヤーも併用)
- 治療期間
- 3年11ヶ月
- 治療回数
- 30回以上
- 治療計画
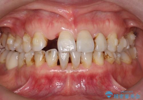
- 前歯の隙間が気になるというお悩みで当院にご相談にいらっしゃいました。長年、この隙間が気になっていたようです。
アライナー矯正とインプラント治療を組み合わせることで、見た目の美しさだけでなく、噛み合わせのバランスも改善できるとの治療計画を立てました。
- 費用(概算)
- 138万円費用は治療当時の料金となります
治療について
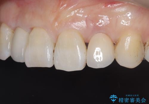
前歯に隙間がありましたが、とても綺麗に並びました。患者様にも喜んでいただけました。
前歯に隙間ができた原因として、舌の癖がありました。そのため、舌の癖を治す口腔筋機能療法(MFT)も行いました。
インビザライン矯正は、透明なマウスピースを使用して歯を徐々に動かしていく方法です。これにより、歯並びを美しく整えながらも目立たずに治療を進めることができます。
さらに、インプラント治療を併用することで、失われた歯の機能を取り戻し、より自然で健康的な見た目を実現します。インプラントは、人工の歯根を顎の骨に埋め込み、その上に歯の形をした人工歯を装着する治療法で、ブリッジや入れ歯に比べて違和感が少なく、しっかりとした咀嚼力を取り戻すことが可能です。
インプラント治療の利点としては、以下のような点が挙げられます:
•自然な見た目と感触:本物の歯とほとんど区別がつかない見た目と感触を提供します。
•長期的な解決策:適切なケアを行うことで、長期間にわたって使用することができます。
•顎骨の健康維持:インプラントが骨に埋め込まれるため、骨の減少を防ぎ、顎骨の健康を維持するのに役立ちます。
セラミック治療の注意事項(リスク・副作用など)
- 天然歯を削ります
- 硬い素材は天然歯を傷つけてしまう場合があります
- かみ合わせや歯ぎしりが強すぎる方はセラミックが割れてしまう可能性があります
- 自費診療(保険適用外治療)となります
マウスピース矯正の注意事項(リスク・副作用など)
- 口腔内・歯並びの状態によっては対応できない場合があります
- マウスピース型矯正装置の長時間装着(1日20時間以上)が必須です
- 治療計画通りに進めるためには、患者様の意志が重要になります
- 矯正治療後の保定が不十分だと後戻り(元の位置に戻ろうとする動き)をします
- 薬機法対象外の矯正歯科装置のため医薬品副作用被害救済制度の対象外となる場合があります
- 自費診療(保険適用外)となります
インプラント治療の注意事項(リスク・副作用など)
- 外科手術のため、術後に痛みや腫れ、違和感を伴います
- メンテナンスを怠ったり喫煙により、お口の中に大きな悪影響を及ぼすインプラント周囲炎等にかかる可能性があります
- 糖尿病、肝硬変、心臓病等の場合、インプラント治療ができない可能性があります
- 高血圧、貧血・不整脈等の場合、インプラント治療後に治癒不全を招く可能性があります
- 自費診療(保険適用外治療)となります
当サイトの内容、テキスト、画像等の無断転載、複製、複写、盗用を固く禁じます。






