症例詳細
Case detail
ワーキングホリデー前にきれいな歯列に
- 患者様
- 20代女性
- 矯正装置
- インビザライン
- 治療期間
- 2年1ヶ月
- 治療回数
- 10-30回
- 治療計画
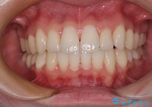
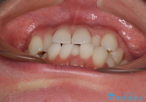
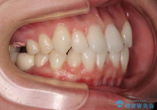
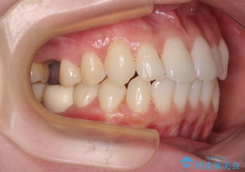
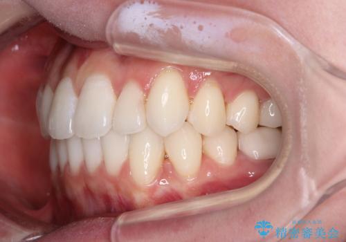
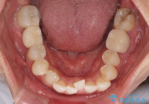
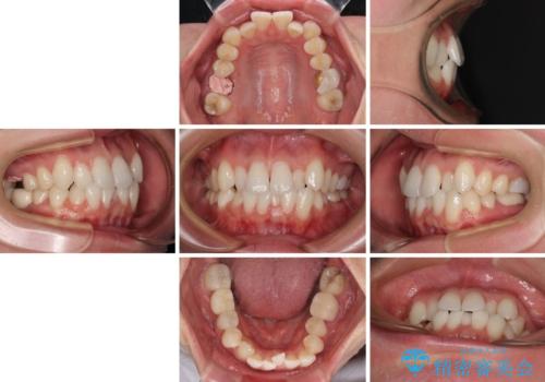
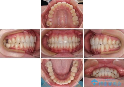
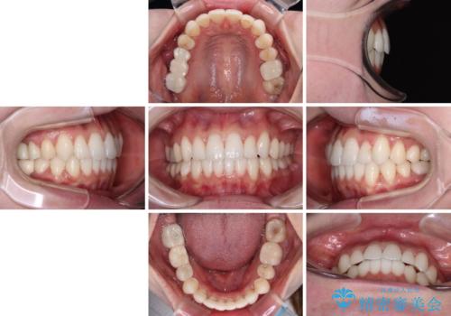
- 2、3年後にワーキングホリデーで海外に行くため、その前に歯列やむし歯をきれいにしたいとのことで来院された患者様です。
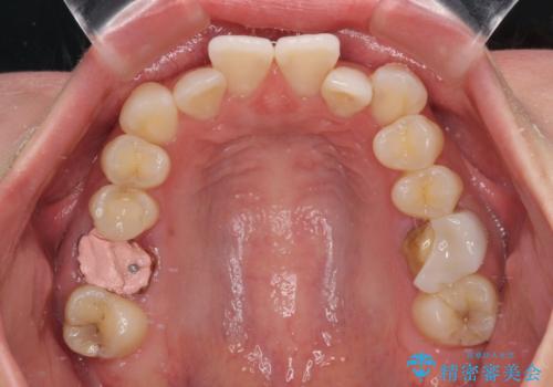
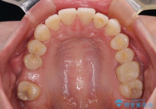
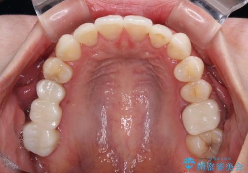
 抜歯の必要な右上の奥歯は事前に抜歯をし、インビザラインにて上下歯列を整えることとしました。
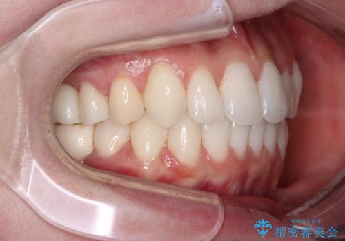
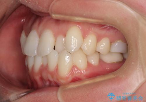
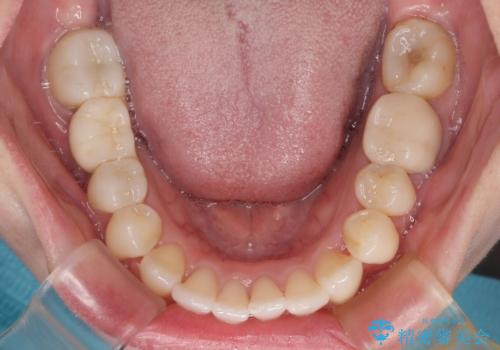
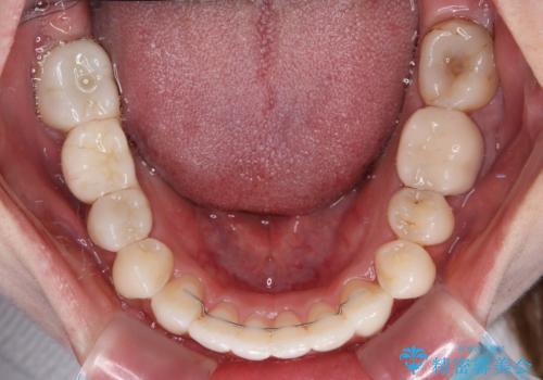
 矯正治療後半に奥歯の補綴治療が必要な歯にはオールセラミッククラウンを装着し、インビザラインで最終的に仕上げることとしました。
- 費用(概算)
- 治療費の目安: 155万円(税込)費用は治療当時の料金となります
治療について
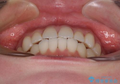
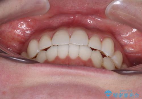
海外に行く前に口腔内環境を整えることができ、患者様には大変満足していただきました。
マウスピース矯正の注意事項(リスク・副作用など)
- 口腔内・歯並びの状態によっては対応できない場合があります
- マウスピース型矯正装置の長時間装着(1日20時間以上)が必須です
- 治療計画通りに進めるためには、患者様の意志が重要になります
- 矯正治療後の保定が不十分だと後戻り(元の位置に戻ろうとする動き)をします
- 薬機法対象外の矯正歯科装置のため医薬品副作用被害救済制度の対象外となる場合があります
- 自費診療(保険適用外)となります
セラミック治療の注意事項(リスク・副作用など)
- 天然歯を削ります
- 硬い素材は天然歯を傷つけてしまう場合があります
- かみ合わせや歯ぎしりが強すぎる方はセラミックが割れてしまう可能性があります
- 自費診療(保険適用外治療)となります
当サイトの内容、テキスト、画像等の無断転載、複製、複写、盗用を固く禁じます。








 
                       
                                                          


























 
                   
                   
                  