症例詳細
Case detail
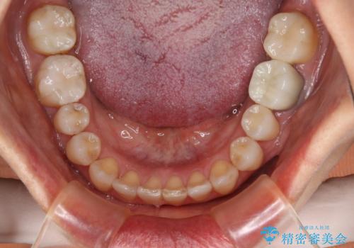
90度捻じれてしまい、完全にはみ出している歯を抜かずにインビザラインで治す。一般治療もできる精密審美会だからこその治療
- 患者様
- 40代女性
- 矯正装置
- インビザライン
- 治療期間
- 1年6ヶ月
- 治療回数
- 10-30回
- 治療計画
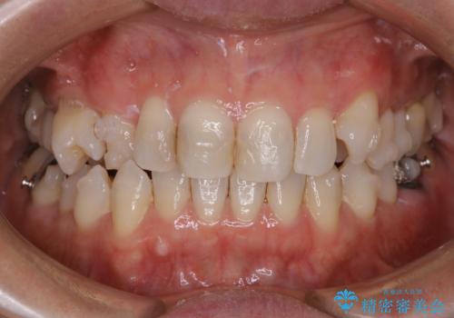
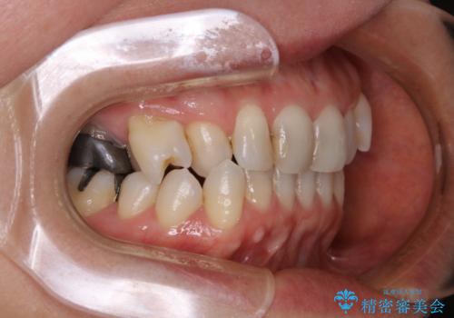
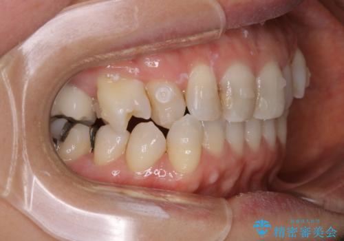
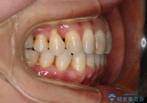
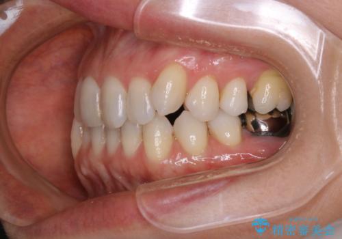
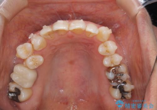
- 右上の小臼歯が二本とも90度捻じれてしまっており、奥歯の噛み合わせに問題が生じていました。
歯を抜いてワイヤー治療を行うという選択肢もありましたが、
奥歯の被せ物の形を適切にすることで非抜歯でも治療が可能であると判断し、
非抜歯、インビザラインでによるマウスピース矯正治療を行うことにいたしました。
- 費用(概算)
- 110万円費用は治療当時の料金となります
治療について
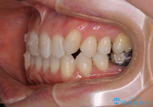
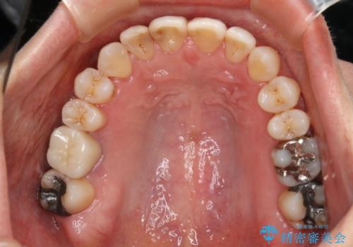
今回は右上の奥歯に入っていた銀歯の形が悪く、そのせいで歯を並べるスペースが足りない状態でした。
右上の歯の被せ物を作りなおし、適切な歯の大きさに代えてあげることによってスペースを作りました。
また、それだけではスペースが足りない為右上の奥歯は遠心移動を行っています。
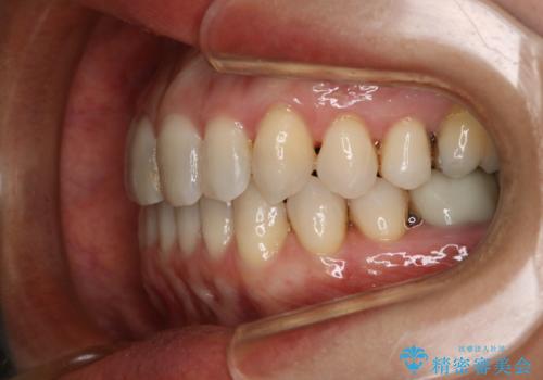
当院のようにセラミック治療も高水準で行っている歯医者だからこそ、
このような治療方針を導き出し、一医院で完結することが可能となっております。
セラミック治療の注意事項(リスク・副作用など)
- 天然歯を削ります
- 硬い素材は天然歯を傷つけてしまう場合があります
- かみ合わせや歯ぎしりが強すぎる方はセラミックが割れてしまう可能性があります
- 自費診療(保険適用外治療)となります
マウスピース矯正の注意事項(リスク・副作用など)
- 口腔内・歯並びの状態によっては対応できない場合があります
- マウスピース型矯正装置の長時間装着(1日20時間以上)が必須です
- 治療計画通りに進めるためには、患者様の意志が重要になります
- 矯正治療後の保定が不十分だと後戻り(元の位置に戻ろうとする動き)をします
- 薬機法対象外の矯正歯科装置のため医薬品副作用被害救済制度の対象外となる場合があります
- 自費診療(保険適用外)となります
当サイトの内容、テキスト、画像等の無断転載、複製、複写、盗用を固く禁じます。















