症例詳細
Case detail
気になる前歯 ワイヤー矯正とセラミック治療
治療症例の内容
- 担当医
- 藤巻太一朗(ドクタープロフィール)
- 患者様
- 30代女性
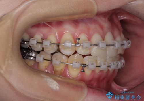
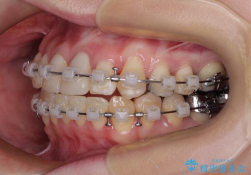
- 矯正装置
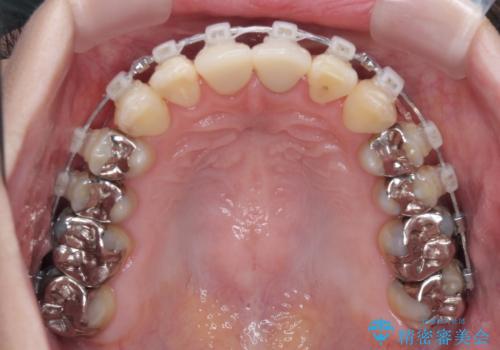
- クリアブラケット
- 治療期間
- 2年2ヶ月
- 治療回数
- 10-30回
- 治療計画
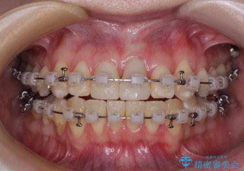
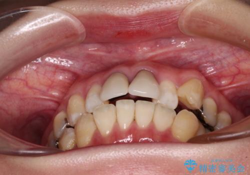
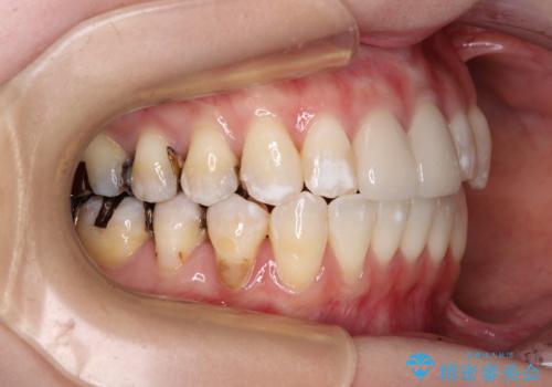
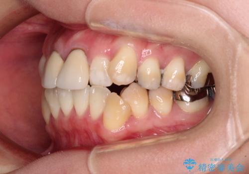
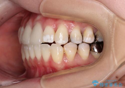
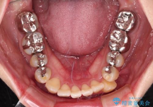
- 前歯のデコボコとセラミッククラウン周りの黒い縁を気にして来院された患者様です。
ワイヤー装置、マウスピース、どちらの装置でも治療は可能でしたが、マウスピース矯正の自己管理の煩わしさを懸念され、ワイヤー装置にて矯正治療を行うこととしました。
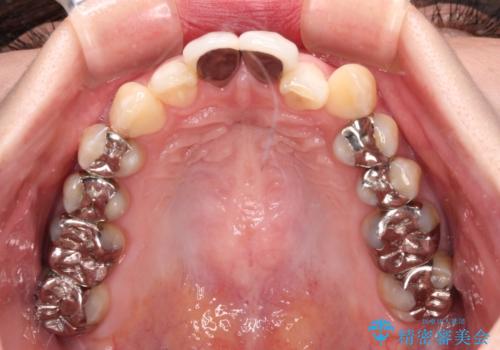
前歯の黒い縁は、矯正治療後にオールセラミッククラウンにて改善することとしましたが、いち早く目立たなくしたいとのことで、事前に矯正治療用仮歯に置き換えてから矯正治療を開始しました。
- 費用(概算)
- 治療費の目安: 130万円(税込)費用は治療当時の料金となります
治療について
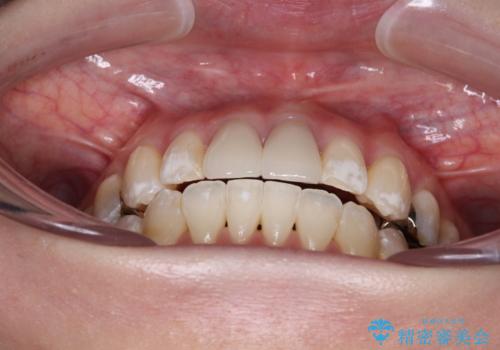
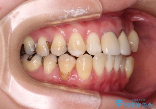
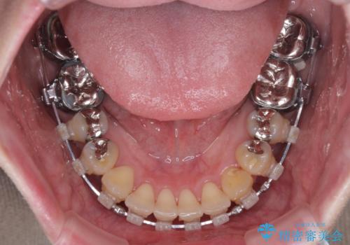
前歯を早々に仮歯に置き換えたことで、矯正治療に意欲的に臨んでくださいました。
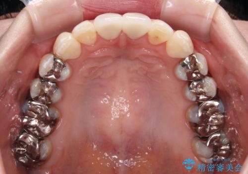
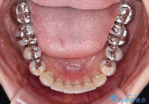
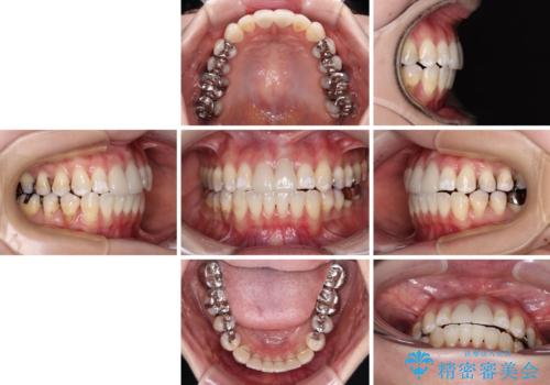
口元が前方に突出することもなく、綺麗に仕上げることができました。
ワイヤー矯正の注意事項(リスク・副作用など)
- 治療中は違和感や痛みが起こることがあります
- 症状により、抜歯が必要な場合があります
- 治療中は歯磨きがしにくくなるため、虫歯や歯周病になりやすくなります
- 矯正治療後の保定が不十分だと後戻り(元の位置に戻ろうとする動き)をします
- 自費診療(保険適用外)となります
セラミック治療の注意事項(リスク・副作用など)
- 天然歯を削ります
- 硬い素材は天然歯を傷つけてしまう場合があります
- かみ合わせや歯ぎしりが強すぎる方はセラミックが割れてしまう可能性があります
- 自費診療(保険適用外治療)となります
当サイトの内容、テキスト、画像等の無断転載、複製、複写、盗用を固く禁じます。


























