症例詳細
Case detail
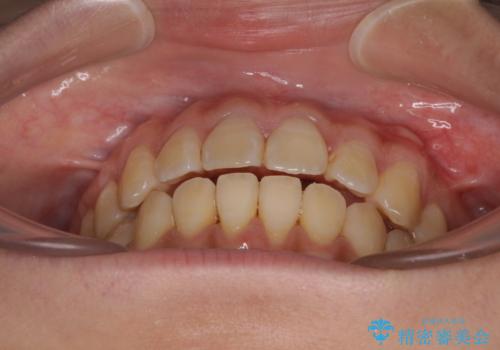
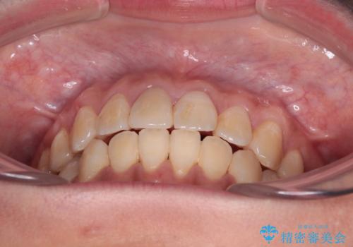
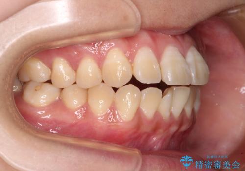
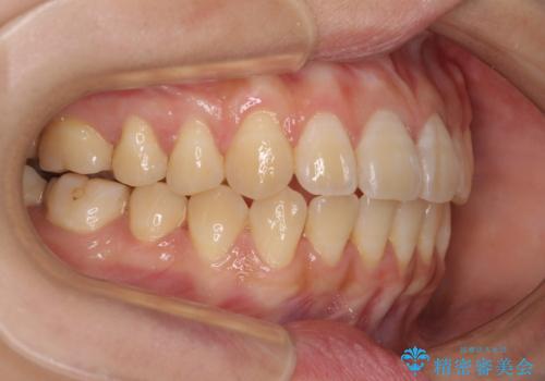
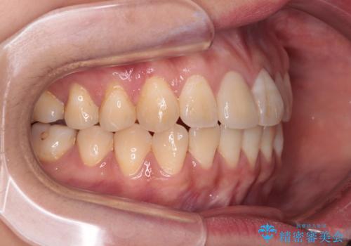
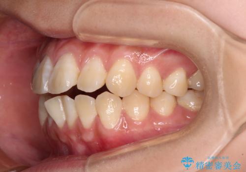
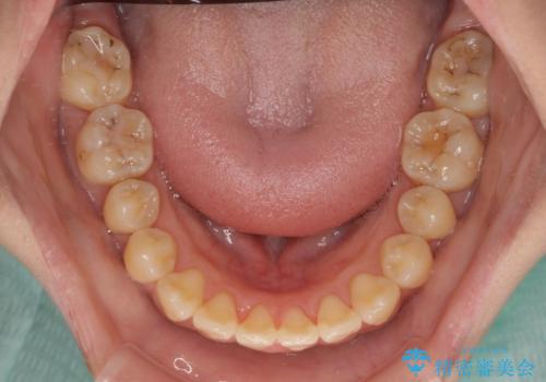
舌の突出癖による開咬と前歯の突出 インビザライン矯正治療
治療症例の内容
- 診療科目
 
- 担当医
 - 藤巻太一朗(ドクタープロフィール)
 
- 患者様
 - 20代女性
 
- 矯正装置
 - インビザライン
 
- 治療期間
 - 1年8ヶ月
 
- 治療回数
 - 5-10回
 
- 治療計画
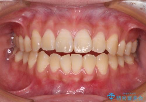
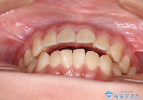
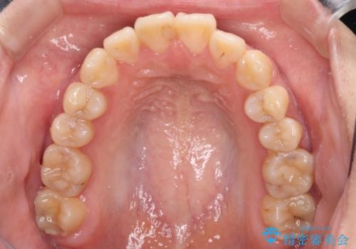
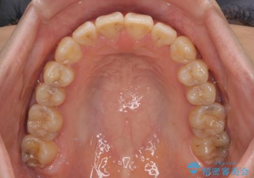
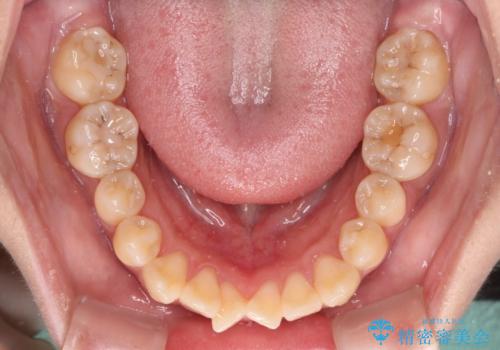
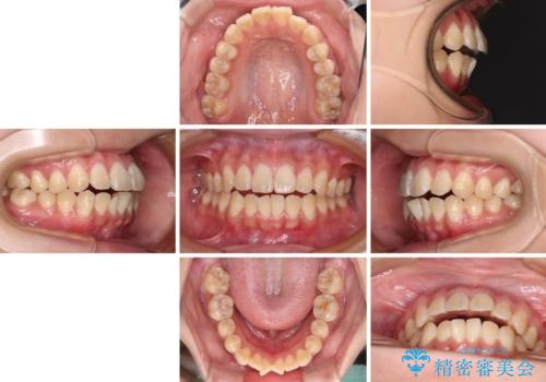
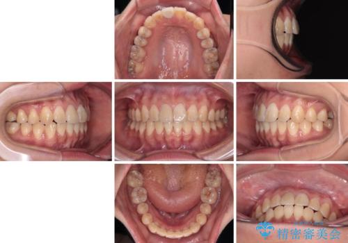
 - 上下前歯の非接触と叢生を気にして来院された患者様です。
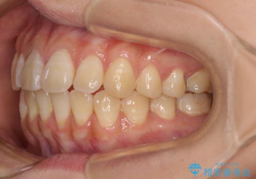
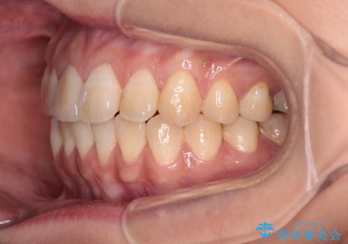
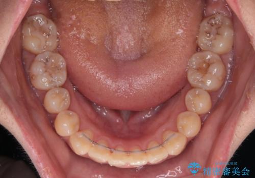
開咬の改善はインビザラインの最も得意とするところであるため、インビザラインを用いて矯正治療を行うこととしました。
途中海外転勤の可能性が高いとのこともあり、ワイヤー装置ではなくインビザライン矯正が最適な治療ツールとなりました。 
- 費用(概算)
 - 治療費の目安: 115万円(税込)費用は治療当時の料金となります
 
治療について
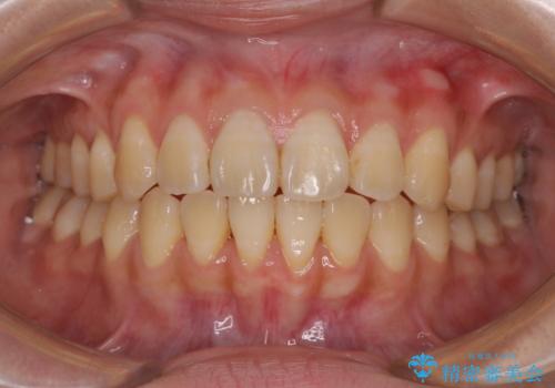
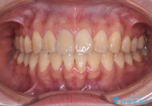
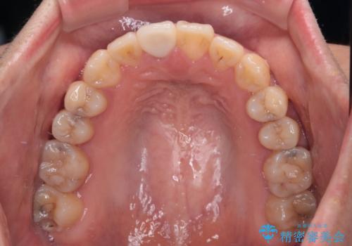
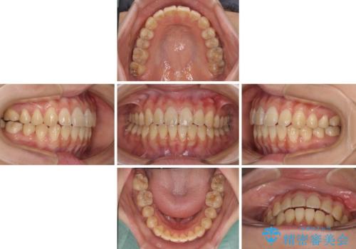
治療開始直後に上顎前歯に激しい痛みが発現し、矯正治療を休んだり、マウスピースの装着時間を短くしたりと工夫をしましたが、残念ながら治療途中で失活していることが分かりました。
矯正治療の途中で前歯の根管治療とオールセラミッククラウンによる補綴治療を行い、その後インビザライン1セットを用いて細かい部分を仕上げました。
マウスピース矯正の注意事項(リスク・副作用など)
- 口腔内・歯並びの状態によっては対応できない場合があります
 - マウスピース型矯正装置の長時間装着(1日20時間以上)が必須です
 - 治療計画通りに進めるためには、患者様の意志が重要になります
 - 矯正治療後の保定が不十分だと後戻り(元の位置に戻ろうとする動き)をします
 - 薬機法対象外の矯正歯科装置のため医薬品副作用被害救済制度の対象外となる場合があります
 - 自費診療(保険適用外)となります
 
セラミック治療の注意事項(リスク・副作用など)
- 天然歯を削ります
 - 硬い素材は天然歯を傷つけてしまう場合があります
 - かみ合わせや歯ぎしりが強すぎる方はセラミックが割れてしまう可能性があります
 - 自費診療(保険適用外治療)となります
 
当サイトの内容、テキスト、画像等の無断転載、複製、複写、盗用を固く禁じます。

                      
                                                          

























